Suppr超能文献

I型糖尿病患者牙列的形态学改变。

Morphological alterations in the dentition of type I diabetes mellitus patients.

作者信息

Yamunadevi Andamuthu, Basandi Praveen S, Madhushankari G S, Donoghue Mandana, Manjunath Alur, Selvamani Manickam, Puneeth H K

机构信息

Department of Oral and Maxillofacial Pathology, Vivekanandha Dental College for Women, Tiruchengode, Namakkal, Tamil Nadu, India.

Department of Oral and Maxillofacial Pathology and Microbiology, College of Dental Sciences and Hospital, Davangere, Karnataka, India.

出版信息

J Pharm Bioallied Sci. 2014 Jul;6(Suppl 1):S122-6. doi: 10.4103/0975-7406.137415.

Abstract

INTRODUCTION

Type 1 diabetes mellitus (DM) is an endocrine disorder that occurs commonly in an age group, where the development of primary and permanent dentition takes place. As altered endocrine functions may affect the shape and size of teeth leading to dental anomalies, this study was conducted to look for the occurrence of any dental anomalies in type I DM patients.

MATERIALS AND METHODS

A diabetic camp was conducted at Alur Chandrashekharappa Memorial Hospital, Davangere, where 30 diabetic patients were examined and the impressions of their maxillary and mandibular arches were recorded. Age and sex matched controls were selected randomly, and similar recordings were done.

RESULTS

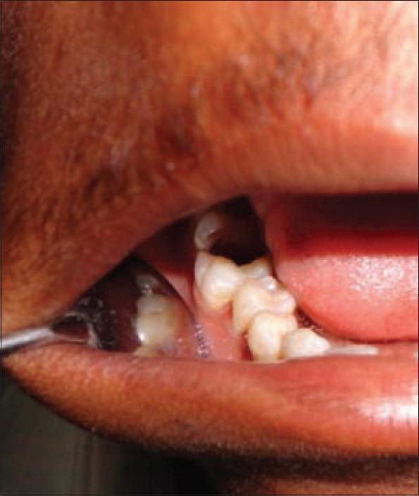
Type I diabetic patients showed statistically significant (P < 0.001) morphological alterations of total number of cusps, including presence of 6(th) cusp in mandibular molars and extra cusps in mandibular premolars. Other alterations such as microdontia, flower shaped mandibular molars, prominent cusp of carabelli, and oblique ridge in maxillary molars were also noted. Severe attrition was found in 11 (36.6%) of the diabetic patients, whereas the control group showed attrition only in 2 (6.8%) patients.

CONCLUSION

Remarkable morphological alterations do occur in the dentition of type I DM patients.

摘要

引言

1型糖尿病(DM)是一种常见于处于乳牙和恒牙列发育阶段年龄组的内分泌疾病。由于内分泌功能改变可能影响牙齿的形状和大小,导致牙齿异常,本研究旨在探寻1型糖尿病患者中牙齿异常的发生情况。

材料与方法

在达万盖雷的阿卢尔·钱德拉谢卡尔帕纪念医院举办了一场糖尿病患者活动,对30名糖尿病患者进行了检查,并记录了他们上颌和下颌牙弓的印模。随机选择年龄和性别匹配的对照组,并进行类似的记录。

结果

1型糖尿病患者在牙尖总数上表现出具有统计学意义(P < 0.001)的形态学改变,包括下颌磨牙出现第六牙尖以及下颌前磨牙出现额外牙尖。还观察到其他改变,如下小牙、花形下颌磨牙、卡氏尖突出以及上颌磨牙斜嵴。11名(36.6%)糖尿病患者存在严重磨耗,而对照组仅2名(6.8%)患者有磨耗。

结论

1型糖尿病患者的牙列确实出现了显著的形态学改变。

https://cdn.ncbi.nlm.nih.gov/pmc/blobs/d6aa/4157248/51b64720af1c/JPBS-6-122-g003.jpg

相似文献

1
Morphological alterations in the dentition of type I diabetes mellitus patients.
J Pharm Bioallied Sci. 2014 Jul;6(Suppl 1):S122-6. doi: 10.4103/0975-7406.137415.
2
Prevalence of the number of cusps and occlusal groove patterns of the mandibular molars in a Saudi Arabian population.
J Forensic Leg Med. 2017 Jul;49:54-58. doi: 10.1016/j.jflm.2017.05.013. Epub 2017 May 24.
4
Agenesis of maxillary lateral incisors and associated dental anomalies.
Am J Orthod Dentofacial Orthop. 2010 Jun;137(6):732.e1-6; discussion 732-3. doi: 10.1016/j.ajodo.2009.12.024.
6
Variation in Cuspal Morphology in Maxillary First Permanent Molar with Report of 3 Cusp Molar- A Prevalence Study.
J Clin Diagn Res. 2016 Sep;10(9):ZC34-ZC36. doi: 10.7860/JCDR/2016/18668.8459. Epub 2016 Sep 1.
7
Prevalence and distribution of dental anomalies: a comparison between maxillary and mandibular tooth agenesis.
Am J Orthod Dentofacial Orthop. 2015 Nov;148(5):793-8. doi: 10.1016/j.ajodo.2015.05.024.
8
Morphological features of Jat dentition.
Am J Phys Anthropol. 1981 Jan;54(1):123-7. doi: 10.1002/ajpa.1330540115.
9
A Rare Concomitant Occurrence of Talon Cusp in Fused Mandibular Permanent Teeth: Report of Two Cases.
Int J Clin Pediatr Dent. 2017 Apr-Jun;10(2):208-212. doi: 10.5005/jp-journals-10005-1437. Epub 2017 Jun 1.

引用本文的文献

1
Structural Changes in Primary Teeth of Diabetic Children: Composition and Ultrastructure Analysis.
Children (Basel). 2022 Feb 26;9(3):317. doi: 10.3390/children9030317.
2
First Molars in Permanent Dentition and their Malformations in Various Pathologies: A Review.
J Pharm Bioallied Sci. 2021 Jun;13(Suppl 1):S23-S30. doi: 10.4103/jpbs.JPBS_744_20. Epub 2021 Jun 5.
3
Molecular Insight into Odontogenesis in Hyperglycemic Environment: A Systematic Review.
J Pharm Bioallied Sci. 2020 Aug;12(Suppl 1):S49-S56. doi: 10.4103/jpbs.JPBS_159_20. Epub 2020 Aug 28.
4
Clinical evaluation of nonsyndromic dental anomalies in Dravidian population: A cluster sample analysis.
J Pharm Bioallied Sci. 2015 Aug;7(Suppl 2):S499-503. doi: 10.4103/0975-7406.163517.

本文引用的文献

1
Systemic disorders and their influence on the development of dental hard tissues: a literature review.
J Dent. 2010 Apr;38(4):296-306. doi: 10.1016/j.jdent.2009.12.001. Epub 2010 Jan 13.
2
Effect of experimental diabetes on craniofacial growth in rats.
Arch Oral Biol. 2008 Sep;53(9):819-25. doi: 10.1016/j.archoralbio.2008.02.008. Epub 2008 Mar 26.
3
Talon cusps, macrodontia, and aberrant tooth morphology in Berardinelli-Seip syndrome.
Oral Surg Oral Med Oral Pathol Oral Radiol Endod. 2008 Jan;105(1):e41-7. doi: 10.1016/j.tripleo.2007.07.022.
4
A genome-wide association study identifies KIAA0350 as a type 1 diabetes gene.
Nature. 2007 Aug 2;448(7153):591-4. doi: 10.1038/nature06010. Epub 2007 Jul 15.
5
Defective enamel ultrastructure in diabetic rodents.
Int J Paediatr Dent. 2004 Jul;14(4):301-7. doi: 10.1111/j.1365-263X.2004.00562.x.
6
Orthodontic treatment considerations in patients with diabetes mellitus.
Am J Orthod Dentofacial Orthop. 2003 Jan;123(1):74-8. doi: 10.1067/mod.2003.53.
7
Effect of experimental diabetes on mandible growth in rats.
Eur J Oral Sci. 2001 Jun;109(3):193-7. doi: 10.1034/j.1600-0722.2001.00032.x.
9
Insulin-dependent diabetes mellitus and oral soft tissue pathologies: II. Prevalence and characteristics of Candida and Candidal lesions.
Oral Surg Oral Med Oral Pathol Oral Radiol Endod. 2000 May;89(5):570-6. doi: 10.1067/moe.2000.104477.
10
Insulin-dependent diabetes mellitus and oral soft tissue pathologies. I. Prevalence and characteristics of non-candidal lesions.
Oral Surg Oral Med Oral Pathol Oral Radiol Endod. 2000 May;89(5):563-9. doi: 10.1067/moe.2000.104476.

文献AI研究员

20分钟写一篇综述,助力文献阅读效率提升50倍。

立即体验

用中文搜PubMed

大模型驱动的PubMed中文搜索引擎

马上搜索

文档翻译

学术文献翻译模型,支持多种主流文档格式。

立即体验