Suppr超能文献

尿胰蛋白酶抑制剂通过抗氧化、调节 NF-κB 活性及其相关细胞因子减轻海水浸泡致开放性腹部损伤大鼠肠道黏膜损伤。

Urinary Trypsin Inhibitor Ameliorates Seawater Immersion-Induced Intestinal Mucosa Injury via Antioxidation, Modulation of NF-κB Activity, and Its Related Cytokines in Rats with Open Abdominal Injury.

机构信息

Department of General Surgery, The 175th Hospital of PLA, Southeast Hospital Affiliated to Xiamen University, No. 269 Zhanghua Middle Road, Zhangzhou, Fujian 363000, China ; The First College of Clinical Medical Science, China Three Gorges University, No. 183 Yiling Road, Yichang, Hubei 443000, China.

Department of General Surgery, The 175th Hospital of PLA, Southeast Hospital Affiliated to Xiamen University, No. 269 Zhanghua Middle Road, Zhangzhou, Fujian 363000, China.

出版信息

Gastroenterol Res Pract. 2014;2014:858237. doi: 10.1155/2014/858237. Epub 2014 Aug 21.

Abstract

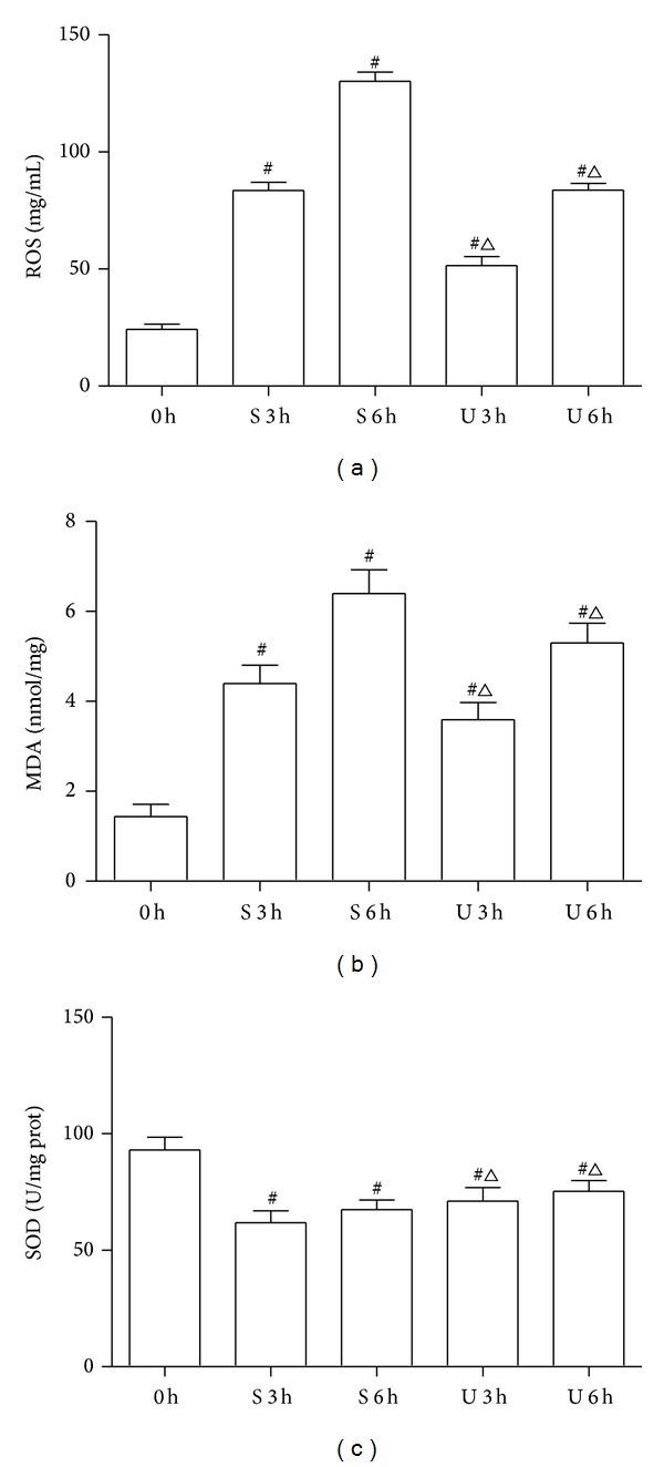
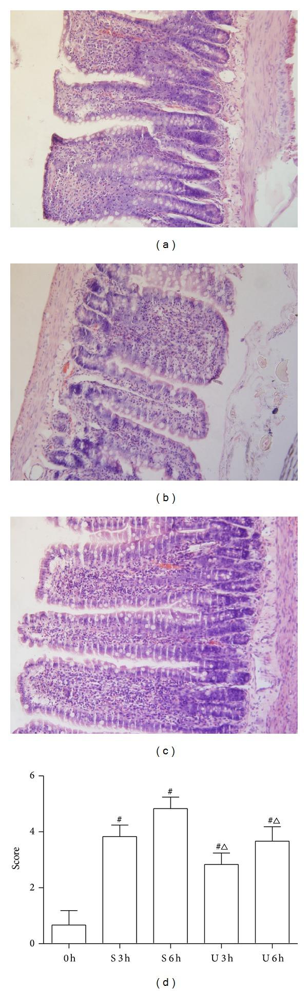
Objective. To investigate the role of oxidative stress, NF-κB activity, and its related cytokines in the pathogenesis of seawater immersion after open abdominal injury (SI-OAI) and whether UTI treatment can attenuate SI-OAI induced IMI. Methods. Wistar rats were randomly divided into three groups: C group, S group, and U group. The rats in C group only suffered from anesthesia and surgical operation, whereas the rats in S group and U group received caudal vein injection of normal saline without/with 50,000 U/kg body weight of UTI. The activities of TNF-α, IL-6, SOD, MDA, ROS, NF-κB, and IκB-β were monitored by ELISA, biochemical methods, EMSA, and Western blot, respectively. Results. The plasma inflammatory mediators and the contents of MDA, ROS, and NF-κB in intestine as well as the pathological scores in ileal mucosa were significantly increased in rats after SI-OAI, accompanied by a reduction in SOD activities and IκB-β levels. UTI treatment significantly attenuated intestinal histopathological changes with evidence of a decrease in all of the parameters, except for upregulation of the levels of SOD and IκB-β protein. Conclusion. UTI can attenuate SI-OAI induced IMI via inhibition of NF-κB activity, subsequently inhibiting the expression of inflammatory cytokines and by combating oxidative stress.

摘要

目的。研究氧化应激、NF-κB 活性及其相关细胞因子在开放性腹部损伤后海水浸泡(SI-OAI)发病机制中的作用,以及 UTI 治疗是否能减轻 SI-OAI 引起的 IMI。

方法。Wistar 大鼠随机分为三组:C 组、S 组和 U 组。C 组仅接受麻醉和手术,而 S 组和 U 组接受尾静脉注射生理盐水而不/用 50,000 U/kg 体重的 UTI。通过 ELISA、生化方法、EMSA 和 Western blot 分别监测 TNF-α、IL-6、SOD、MDA、ROS、NF-κB 和 IκB-β的活性。

结果。SI-OAI 后大鼠血浆炎症介质和 MDA、ROS、NF-κB 含量以及回肠黏膜的病理评分明显升高,同时 SOD 活性和 IκB-β 水平降低。UTI 治疗显著减轻了肠道组织病理学变化,除 SOD 和 IκB-β 蛋白水平上调外,所有参数均下降。

结论。UTI 通过抑制 NF-κB 活性,继而抑制炎症细胞因子的表达和抗氧化应激,减轻 SI-OAI 引起的 IMI。

https://cdn.ncbi.nlm.nih.gov/pmc/blobs/f339/4158255/d6465d978642/GRP2014-858237.001.jpg

文献AI研究员

20分钟写一篇综述,助力文献阅读效率提升50倍。

立即体验

用中文搜PubMed

大模型驱动的PubMed中文搜索引擎

马上搜索

文档翻译

学术文献翻译模型,支持多种主流文档格式。

立即体验