Suppr超能文献

静脉注射免疫球蛋白在一名免疫功能低下儿童播散性水痘感染中的应用。

Use of intravenous immunoglobulin in a disseminated varicella infection in an immunocompromised child.

作者信息

Kim Jae Hong, Kwon Dae Hyun, Bae E Young, Han Seung Beom, Lee Jae Wook, Chung Nack Gyun, Jeong Dae Chul, Cho Bin, Kang Jin Han, Kim Hack Ki

机构信息

Department of Pediatrics, The Catholic University of Korea College of Medicine, Seoul, Korea.

The Catholic Blood and Marrow Transplantation Center, The Catholic University of Korea College of Medicine, Seoul, Korea.

出版信息

Korean J Pediatr. 2014 Aug;57(8):370-3. doi: 10.3345/kjp.2014.57.8.370. Epub 2014 Aug 25.

Abstract

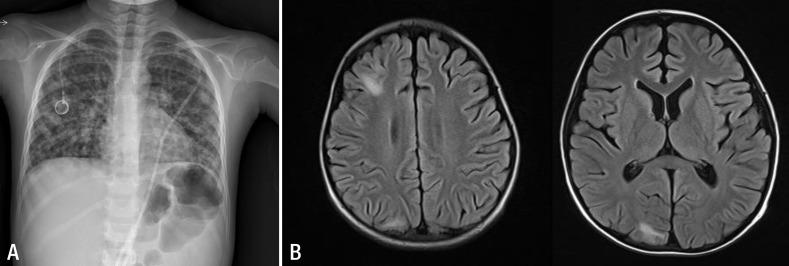
Varicella-zoster virus infection can lead to severe illness in immunocompromised patients. Further the mortality rate of disseminated varicella infection is extremely high particularly in immunocompromised children. We report a case of disseminated varicella infection in a child with acute lymphoblastic leukemia who was receiving chemotherapy, but was initially admitted with only for acute abdominal pain. The patient rapidly developed severe complications, including acute respiratory distress syndrome, acute hepatitis, disseminated intravascular coagulation, and encephalopathy. Acyclovir is a highly potent inhibitor of varicella-zoster virus infection. However, owing to rapid disease progression, it might not be sufficient to control a disseminated varicella infection, especially in immunocompromised patients. Immunoglobulin neutralize virus invasion and suppress viremia, acting synergistically with acyclovir. In this case, early administration of acyclovir and a high-dose of immunoglobulin, combined with mechanical respiratory support, proved adequate for treatment of this severe illness.

摘要

水痘带状疱疹病毒感染可导致免疫功能低下患者出现严重疾病。此外,播散性水痘感染的死亡率极高,尤其是在免疫功能低下的儿童中。我们报告一例接受化疗的急性淋巴细胞白血病患儿发生播散性水痘感染的病例,该患儿最初仅因急性腹痛入院。患者迅速出现严重并发症,包括急性呼吸窘迫综合征、急性肝炎、弥散性血管内凝血和脑病。阿昔洛韦是水痘带状疱疹病毒感染的高效抑制剂。然而,由于疾病进展迅速,它可能不足以控制播散性水痘感染,尤其是在免疫功能低下的患者中。免疫球蛋白可中和病毒侵袭并抑制病毒血症,与阿昔洛韦协同作用。在本病例中,早期给予阿昔洛韦和高剂量免疫球蛋白,并结合机械通气支持,被证明足以治疗这种严重疾病。

https://cdn.ncbi.nlm.nih.gov/pmc/blobs/8f2c/4155182/7245a95fdd62/kjped-57-370-g001.jpg

文献AI研究员

20分钟写一篇综述,助力文献阅读效率提升50倍。

立即体验

用中文搜PubMed

大模型驱动的PubMed中文搜索引擎

马上搜索

文档翻译

学术文献翻译模型,支持多种主流文档格式。

立即体验