Oka Tomoichiro, Saif Linda J, Marthaler Douglas, Esseili Malak A, Meulia Tea, Lin Chun-Ming, Vlasova Anastasia N, Jung Kwonil, Zhang Yan, Wang Qiuhong
Food Animal Health Research Program, Department of Veterinary Preventive Medicine, The Ohio State University, Wooster, OH, United States; Department of Virology II, National Institute of Infectious Diseases, Tokyo, Japan.
Food Animal Health Research Program, Department of Veterinary Preventive Medicine, The Ohio State University, Wooster, OH, United States.
Vet Microbiol. 2014 Oct 10;173(3-4):258-69. doi: 10.1016/j.vetmic.2014.08.012. Epub 2014 Aug 27.
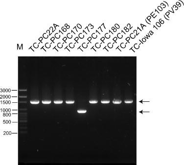
The highly contagious and deadly porcine epidemic diarrhea virus (PEDV) first appeared in the US in April 2013. Since then the virus has spread rapidly nationwide and to Canada and Mexico causing high mortality among nursing piglets and significant economic losses. Currently there are no efficacious preventive measures or therapeutic tools to control PEDV in the US. The isolation of PEDV in cell culture is the first step toward the development of an attenuated vaccine, to study the biology of PEDV and to develop in vitro PEDV immunoassays, inactivation assays and screen for PEDV antivirals. In this study, nine of 88 US PEDV strains were isolated successfully on Vero cells with supplemental trypsin and subjected to genomic sequence analysis. They differed genetically mainly in the N-terminal S protein region as follows: (1) strains (n=7) similar to the highly virulent US PEDV strains; (2) one similar to the reportedly US S INDEL PEDV strain; and (3) one novel strain most closely related to highly virulent US PEDV strains, but with a large (197aa) deletion in the S protein. Representative strains of these three genetic groups were passaged serially and grew to titers of ∼5-6log10 plaque forming units/mL. To our knowledge, this is the first report of the isolation in cell culture of an S INDEL PEDV strain and a PEDV strain with a large (197aa) deletion in the S protein. We also designed primer sets to detect these genetically diverse US PEDV strains.
高传染性且致命的猪流行性腹泻病毒(PEDV)于2013年4月首次在美国出现。自那时起,该病毒已在全国迅速传播,并蔓延至加拿大和墨西哥,导致哺乳仔猪的高死亡率以及巨大的经济损失。目前在美国尚无有效的预防措施或治疗手段来控制PEDV。在细胞培养中分离PEDV是开发减毒疫苗、研究PEDV生物学特性以及开发体外PEDV免疫测定、灭活测定和筛选PEDV抗病毒药物的第一步。在本研究中,88株美国PEDV毒株中的9株在添加胰蛋白酶的Vero细胞上成功分离,并进行了基因组序列分析。它们在遗传上主要在N端S蛋白区域存在差异,如下:(1)7株毒株与高致病性美国PEDV毒株相似;(2)1株与据报道的美国S INDEL PEDV毒株相似;(3)1株新型毒株与高致病性美国PEDV毒株关系最为密切,但S蛋白中有一个大的(197个氨基酸)缺失。这三个遗传组的代表性毒株进行了连续传代,培养至滴度约为5 - 6log10蚀斑形成单位/毫升。据我们所知,这是首次在细胞培养中分离出S INDEL PEDV毒株和S蛋白中有一个大的(197个氨基酸)缺失的PEDV毒株的报告。我们还设计了引物组来检测这些遗传多样性的美国PEDV毒株。