Suppr超能文献

嗅神经母细胞瘤咽后淋巴结转移灶接受超分割立体定向放疗后,(18)F-FDG-PET出现晚期假性进展但仍实现长期肿瘤控制

Long-Term Tumor Control despite Late Pseudoprogression on(18)F-FDG-PET following Extremely Hypofractionated Stereotactic Radiotherapy for Retropharyngeal Lymph Node Metastasis from Esthesioneuroblastoma.

作者信息

Ohtakara Kazuhiro, Hoshi Hiroaki

机构信息

Department of Radiation Oncology, Murakami Memorial Hospital, Asahi University, Gifu, Japan.

Department of Radiology, Gifu University Graduate School of Medicine, Gifu, Japan.

出版信息

Case Rep Oncol. 2014 Aug 18;7(2):576-82. doi: 10.1159/000366193. eCollection 2014 May.

Abstract

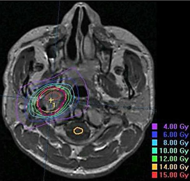
(18)F-FDG-PET is a valuable adjunct to conventional imaging for evaluating treatment response following stereotactic body radiotherapy (SBRT) for head and neck malignancies (HNM). The effect of treatment-related inflammation is generally deemed negligible after 12 weeks following conventionally fractionated radiotherapy. Herein, we describe an unusual case showing pseudoprogression on (18)F-FDG-PET 2 years after SBRT for retropharyngeal lymph node metastasis (RPLNm) from esthesioneuroblastoma. A 36-year-old man presented with right RPLNm 32 months after the diagnosis of esthesioneuroblastoma associated with ectopic adrenocorticotropic hormone production. The RPLNm was treated with SBRT in 2 fractions over 8 days using dynamic conformal arcs with concomitant chemotherapy with cisplatin and etoposide. Although follow-up MRI showed sustained lesion regression, the early/delayed maximum standardized uptake (SUVmax) values on dual-time-point (18)F-FDG-PET obtained 1 and 2 years after SBRT were 7.7/8.3 and 8.5/10.1, respectively, suggesting local progression. Despite no subsequent focal or systemic treatment, the SUVmax values gradually decreased thereafter over a period of 4 years (3.3/3.4 at 76 months). MRI obtained 7 years after SBRT revealed sustained tumor regression. No obvious relevant toxicities have occurred. Thus, caution should be exercised in the interpretation of the SUVmax change following ablative irradiation for HNM.

摘要

(18)F-FDG-PET是评估头颈部恶性肿瘤(HNM)立体定向体部放疗(SBRT)后治疗反应的传统成像的重要辅助手段。在常规分割放疗后12周,治疗相关炎症的影响通常被认为可忽略不计。在此,我们描述了一例不寻常的病例,该病例显示在针对嗅神经母细胞瘤的咽后淋巴结转移(RPLNm)进行SBRT治疗2年后,(18)F-FDG-PET出现假性进展。一名36岁男性在诊断为与异位促肾上腺皮质激素分泌相关的嗅神经母细胞瘤32个月后出现右侧RPLNm。使用动态适形弧在8天内分2次对RPLNm进行SBRT治疗,并同时使用顺铂和依托泊苷进行化疗。尽管随访MRI显示病变持续消退,但SBRT后1年和2年获得的双时相(18)F-FDG-PET上的早期/延迟最大标准化摄取值(SUVmax)分别为7.7/8.3和8.5/10.1,提示局部进展。尽管随后未进行局部或全身治疗,但此后SUVmax值在4年期间逐渐下降(76个月时为3.3/3.4)。SBRT后7年获得的MRI显示肿瘤持续消退。未发生明显的相关毒性反应。因此,在解释HNM消融放疗后的SUVmax变化时应谨慎。

https://cdn.ncbi.nlm.nih.gov/pmc/blobs/6ab5/4164066/aeb6e801d9de/cro-0007-0576-g01.jpg

文献AI研究员

20分钟写一篇综述,助力文献阅读效率提升50倍。

立即体验

用中文搜PubMed

大模型驱动的PubMed中文搜索引擎

马上搜索

文档翻译

学术文献翻译模型,支持多种主流文档格式。

立即体验