Fan Lihong, Li Jia, Yu Zefeng, Dang Xiaoqian, Wang Kunzheng
Department of Orthopedics, The Second Affiliated Hospital of Xi'an Jiaotong University, Xi'an, Shaanxi, China.
PLoS One. 2014 Sep 22;9(9):e107774. doi: 10.1371/journal.pone.0107774. eCollection 2014.
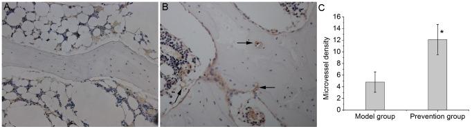
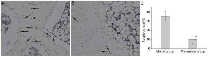
The purpose of this study was to investigate the preventive effect of ethyl 3,4-dihydroxybenzoate(EDHB) on steroid-associated femoral head osteonecrosis(ONFH) in a rabbit model. New Zealand white rabbits were randomly divided into two groups (prevention group and model group), each containing 24 rabbits. Osteonecrosis was induced by lipopolysaccharide(LPS) combined with methylprednisolone(MPS). The prevention group received an intraperitoneal injection of EDHB at 50 mg/kg body weight every other day starting three days before establishing rabbit models of osteonecrosis, for a total of nine doses. Osteonecrosis was verified by haematoxylin-eosin (HE) staining. The expression of HIF-1α and VEGF was analyzed by immunohistochemistry. Angiogenesis, apoptosis and microstructural parameters were also analyzed. The rabbit models of osteonecrosis were successfully established and observed by HE staining. Histopathological observations indicated that EDHB reduced the rate of empty lacunae and the incidence of osteonecrosis. Immunohistochemical staining for HIF-1α and VEGF suggested that EDHB therapy inhibited degradation of HIF-1α and promoted expression of VEGF. Ink artery infusion angiography and microvessel density analysis revealed that there were more microvessels in the prevention group than in the model group. The TUNEL apoptosis assay suggested that EDHB intervention could reduce the number of apoptotic cells in avascular osteonecrosis of the femoral head. Micro-CT scanning indicated that the treatment group had better microstructural parameters than the model group. EDHB prevents steroid-associated osteonecrosis of the femoral head in rabbits by promoting angiogenesis and inhibiting apoptosis of bone cells and hematopoietic tissue.
本研究旨在探讨3,4 - 二羟基苯甲酸乙酯(EDHB)对兔模型中类固醇相关股骨头坏死(ONFH)的预防作用。将新西兰白兔随机分为两组(预防组和模型组),每组24只。通过脂多糖(LPS)联合甲基泼尼松龙(MPS)诱导股骨头坏死。预防组在建立股骨头坏死兔模型前三天开始,每隔一天腹腔注射50 mg/kg体重的EDHB,共注射九次。通过苏木精 - 伊红(HE)染色验证股骨头坏死情况。采用免疫组织化学法分析缺氧诱导因子 - 1α(HIF - 1α)和血管内皮生长因子(VEGF)的表达。同时分析血管生成、细胞凋亡和微观结构参数。通过HE染色成功建立并观察到兔股骨头坏死模型。组织病理学观察表明,EDHB降低了空骨陷窝率和股骨头坏死发生率。HIF - 1α和VEGF的免疫组织化学染色表明,EDHB治疗抑制了HIF - 1α的降解并促进了VEGF的表达。墨汁动脉灌注血管造影和微血管密度分析显示,预防组的微血管比模型组更多。TUNEL细胞凋亡检测表明,EDHB干预可减少股骨头缺血性坏死中的凋亡细胞数量。显微CT扫描表明,治疗组的微观结构参数优于模型组。EDHB通过促进血管生成并抑制骨细胞和造血组织的凋亡来预防兔类固醇相关股骨头坏死。