Suppr超能文献

帕金森病患者的脊柱手术:结果不尽人意、失败与失望。

Spinal surgery in patients with Parkinson's disease: unsatisfactory results, failure and disappointment.

作者信息

Sapkas G, Lykomitros V, Soultanis K, Papadopoulos E C, Papadakis M

机构信息

Department of Orthopaedics, Faculty of Medicine, University of Athens, Greece.

Department of Orthopaedics, Faculty of Medicine, University of Thessaloniki, Greece.

出版信息

Open Orthop J. 2014 Sep 3;8:264-7. doi: 10.2174/1874325001408010264. eCollection 2014.

Abstract

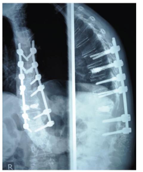
Previous studies on spinal surgery in PD patients report an exceptionally high rate of complications. Failure and re -operation are frequent outcomes. This is a retrospective case series with the aim of establishing the rate of complications in patients with concomitant Parkinson's disease. Ten patients were subjected to spinal surgery from 2005 to 2009. The indications and type of operation varied. Cases of Failed Back Surgery and re-operation were sought. Follow - up was between 6 - 42 months. All 10 patients presented some clinical or radiological complication. The most common complications were screw pull - out and progressive spinal deformity. Re - operations were performed in 5 patients, while clinical and radiological results were poor in the majority of cases. Patients with Parkinson's disease have a very high complication rate and often have to undergo revision surgery. This particular group of patients should be informed of the increased risk of failure and be closely followed - up on a regular basis.

摘要

先前关于帕金森病患者脊柱手术的研究报告称并发症发生率极高。手术失败和再次手术是常见的结果。这是一项回顾性病例系列研究,旨在确定合并帕金森病患者的并发症发生率。2005年至2009年期间,有10例患者接受了脊柱手术。手术指征和类型各不相同。我们寻找了腰椎手术失败和再次手术的病例。随访时间为6至42个月。所有10例患者均出现了一些临床或影像学并发症。最常见的并发症是螺钉拔出和进行性脊柱畸形。5例患者接受了再次手术,而大多数病例的临床和影像学结果较差。帕金森病患者的并发症发生率非常高,且常常需要接受翻修手术。应告知这一特殊患者群体手术失败风险增加,并定期进行密切随访。

https://cdn.ncbi.nlm.nih.gov/pmc/blobs/7c8c/4157348/587358e6d792/TOORTHJ-8-264_F1.jpg

文献AI研究员

20分钟写一篇综述,助力文献阅读效率提升50倍。

立即体验

用中文搜PubMed

大模型驱动的PubMed中文搜索引擎

马上搜索

文档翻译

学术文献翻译模型,支持多种主流文档格式。

立即体验