Suppr超能文献

Pyocystis and prostate abscess in a hemodialysis patient in the emergency department.

作者信息

Stafford Phillip, Prybys Katherine M

机构信息

Department of Emergency Medicine, University of Maryland Medical Center, Baltimore, Maryland.

University of Maryland School of Medicine, Baltimore, Maryland.

出版信息

West J Emerg Med. 2014 Sep;15(6):655-8. doi: 10.5811/westjem.2014.5.22317.

Abstract

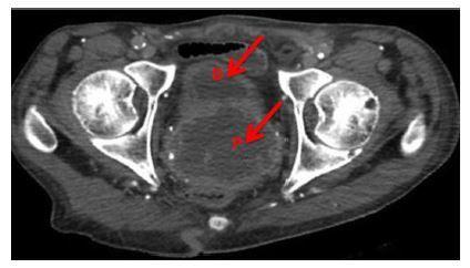
The urinary tract is an often forgotten and under-appreciated source of infection in anuric hemodialysis patients. Bladder abscess, also called pyocystis, is a severe complication of low urinary flow that can be difficult to detect, leading to delays in treatment and increased morbidity. The emergency physician should maintain a high suspicion for pyocystis, which can be quickly diagnosed by bedside ultrasound. We report a case of a hemodialysis patient with an initially minor presentation who developed sepsis secondary to pyocystis and prostate abscess.

摘要
https://cdn.ncbi.nlm.nih.gov/pmc/blobs/f3a2/4162722/8e6ad0608280/wjem-15-655-g001.jpg

文献AI研究员

20分钟写一篇综述,助力文献阅读效率提升50倍。

立即体验

用中文搜PubMed

大模型驱动的PubMed中文搜索引擎

马上搜索

文档翻译

学术文献翻译模型,支持多种主流文档格式。

立即体验