Suppr超能文献

前列腺癌光动力治疗后的磁共振成像表现

Post-treatment MRI aspects of photodynamic therapy for prostate cancer.

作者信息

Kulik M, Nedelcu C, Martin F, Lebdai S, Rousselet M C, Azzouzi A R, Aubé C

机构信息

Department of Radiology, CHU Angers, 4 rue Larrey, 49100, Angers, France,

出版信息

Insights Imaging. 2014 Dec;5(6):697-713. doi: 10.1007/s13244-014-0359-8. Epub 2014 Oct 7.

Abstract

OBJECTIVES

Photodynamic therapy is a new focal therapy for prostate cancer.

METHODS

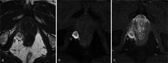
In this technique, a photosensitising agent is introduced intravenously, then activated by local laser illumination to induce tumour necrosis. Treatment efficacy is assessed by magnetic resonance imaging (MRI).

RESULTS AND CONCLUSIONS

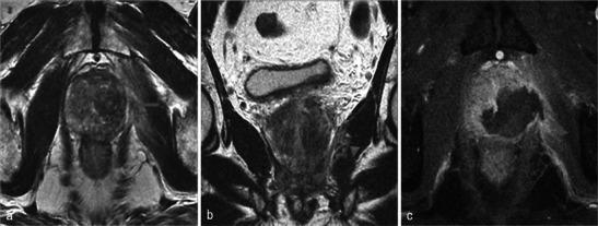
We illustrate specific post-treatment MRI aspects at early and late follow-up with pathological correlations.

TEACHING POINTS

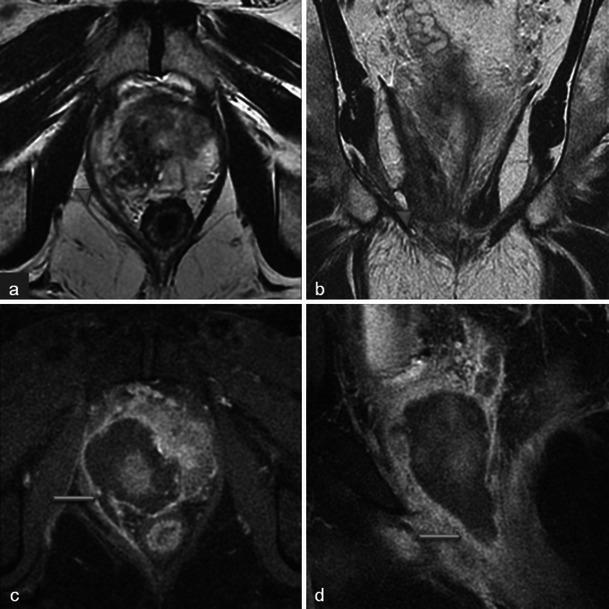
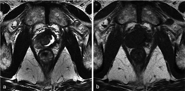
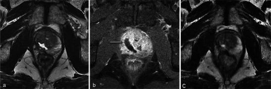
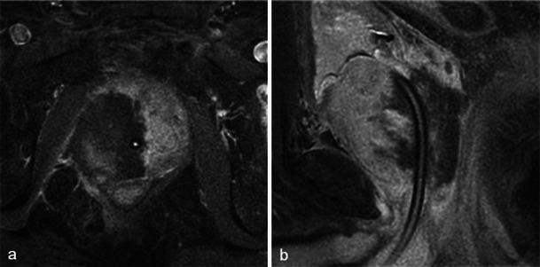
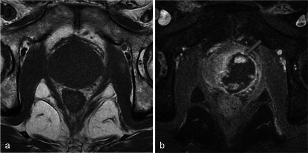
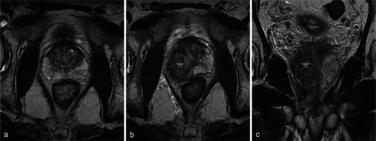
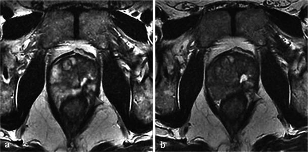
• Dynamic phototherapy is a new and promising focal therapy for prostate cancer. • One-week MRI shows increased volume of the treated lobe and large, homogeneous necrosis area. • Six-month MRI shows significant changes of the prostate shape and signal. • Six-month MRI becomes "base line" appearance for further follow-up or monitoring.

摘要

目的

光动力疗法是一种用于前列腺癌的新型局部治疗方法。

方法

在该技术中,将一种光敏剂静脉注射,然后通过局部激光照射激活以诱导肿瘤坏死。通过磁共振成像(MRI)评估治疗效果。

结果与结论

我们阐述了早期和晚期随访时特定的治疗后MRI表现及其与病理的相关性。

教学要点

• 动态光动力疗法是一种用于前列腺癌的新型且有前景的局部治疗方法。• 一周后的MRI显示治疗叶体积增大以及大片均匀的坏死区域。• 六个月后的MRI显示前列腺形态和信号有显著变化。• 六个月后的MRI成为进一步随访或监测的“基线”表现。

https://cdn.ncbi.nlm.nih.gov/pmc/blobs/ddd6/4263801/f4ae29e0c10c/13244_2014_359_Fig1_HTML.jpg

文献AI研究员

20分钟写一篇综述,助力文献阅读效率提升50倍。

立即体验

用中文搜PubMed

大模型驱动的PubMed中文搜索引擎

马上搜索

文档翻译

学术文献翻译模型,支持多种主流文档格式。

立即体验