Suppr超能文献

伴有内分泌病因的混合性牙量不调(恒牙先天缺失与多生牙并存)

Concomitant hypo-hyperdontia with an endocrine etiology.

作者信息

Surendran Sharmila, Venkatachalapathy A, Vimalageetha K, Thomas A Eapen

机构信息

Department of Paediatric Dentitsry, Meenakshi Ammal Dental College, Chennai, India.

出版信息

Natl J Maxillofac Surg. 2014 Jan;5(1):51-3. doi: 10.4103/0975-5950.140174.

Abstract

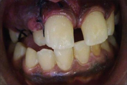
The simultaneous occurrence of hypodontia and supernumerary teeth in the same individual is termed as "concomitant hypohyperdontia" and it is an uncommon condition with the etiology still unknown. Presented here is a very rare case of simultaneous presence of multiple supernumerary teeth and multiple missing teeth (bilateral maxillary second premolars and bilateral mandibular second molars) involving both jaws with a history of subclinical hypothyroidism. Systemic diseases could probably play a role in the etiologic occurrence of co-existent partial anodontia and supernumerary teeth.

摘要

在同一个体中同时出现缺牙和多生牙的情况被称为“伴随性牙量过少与牙量过多”,这是一种罕见的病症,其病因尚不清楚。本文介绍了一例极为罕见的病例,该患者两颌均同时存在多个多生牙和多个牙齿缺失(双侧上颌第二前磨牙和双侧下颌第二磨牙),并有亚临床甲状腺功能减退病史。全身性疾病可能在并存的部分无牙症和多生牙的病因发生中起作用。

https://cdn.ncbi.nlm.nih.gov/pmc/blobs/bc67/4178357/d6c85ba77acf/NJMS-5-51-g001.jpg

文献AI研究员

20分钟写一篇综述,助力文献阅读效率提升50倍。

立即体验

用中文搜PubMed

大模型驱动的PubMed中文搜索引擎

马上搜索

文档翻译

学术文献翻译模型,支持多种主流文档格式。

立即体验