• 文献检索
  • 文档翻译
  • 深度研究
  • 学术资讯
  • Suppr Zotero 插件Zotero 插件
  • 邀请有礼
  • 套餐&价格
  • 历史记录
应用&插件
Suppr Zotero 插件Zotero 插件浏览器插件Mac 客户端Windows 客户端微信小程序
定价
高级版会员购买积分包购买API积分包
服务
文献检索文档翻译深度研究API 文档MCP 服务
关于我们
关于 Suppr公司介绍联系我们用户协议隐私条款
关注我们

Suppr 超能文献

核心技术专利:CN118964589B侵权必究
粤ICP备2023148730 号-1Suppr @ 2026

文献检索

告别复杂PubMed语法,用中文像聊天一样搜索,搜遍4000万医学文献。AI智能推荐,让科研检索更轻松。

立即免费搜索

文件翻译

保留排版,准确专业,支持PDF/Word/PPT等文件格式,支持 12+语言互译。

免费翻译文档

深度研究

AI帮你快速写综述,25分钟生成高质量综述,智能提取关键信息,辅助科研写作。

立即免费体验

含牙囊肿伴埋伏倒置正中多生牙:1例罕见病例报告并文献综述

Dentigerous cyst in association with impacted inverted mesiodens: Report of a rare case with a brief review of literature.

作者信息

Hasan Shamimul, Ahmed Syed Ansar, Reddy L Bhaskar

机构信息

Department of Oral Medicine and Radiology, Faculty of Dentistry, Jamia Millia Islamia, New Delhi, India.

Department of Oral and Maxillofacial Surgery, Faculty of Dentistry, Jamia Millia Islamia, New Delhi, India.

出版信息

Int J Appl Basic Med Res. 2014 Sep;4(Suppl 1):S61-4. doi: 10.4103/2229-516X.140748.

DOI:10.4103/2229-516X.140748
PMID:25298949
原文链接:https://pmc.ncbi.nlm.nih.gov/articles/PMC4181138/
Abstract

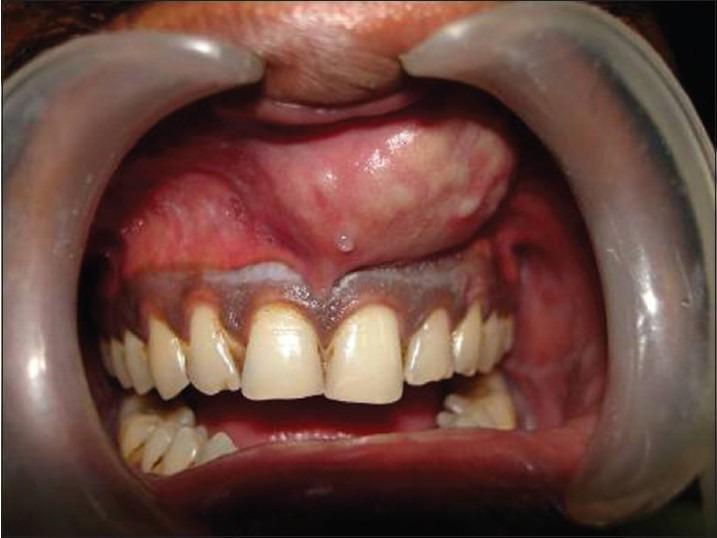
Dentigerous cyst is a developmental odontogenic cyst, which develops due to fluid accumulation between the reduced enamel epithelium and unerupted tooth crown. The condition is frequently seen with the permanent dentition, usually associated with impacted mandibular third molars and maxillary canines. Rarely, dentigerous cyst occurs in association with a supernumerary tooth. Pain, swelling, and facial asymmetry are occasionally seen; however, they are usually asymptomatic and observed during radiographic examination. Early diagnosis and treatment planning entails thorough history taking, clinical and radiographic examination coupled with histopathology. This article reports an unusual occurrence of dentigerous cyst of anterior maxillary region seen with an inverted impacted mesiodens cyst enucleation along with extraction of the mesiodens was carried out and no complications were observed during the follow-up.

摘要

含牙囊肿是一种发育性牙源性囊肿,由于釉质发育不全上皮与未萌出牙冠之间积液而形成。这种情况在恒牙列中较为常见,通常与下颌阻生第三磨牙和上颌尖牙有关。含牙囊肿很少与多生牙同时出现。偶尔会出现疼痛、肿胀和面部不对称;然而,它们通常无症状,在影像学检查时被发现。早期诊断和治疗计划需要全面的病史采集、临床和影像学检查以及组织病理学检查。本文报告了一例上颌前部区域罕见的含牙囊肿病例,该囊肿与倒置阻生正中多生牙囊肿同时存在,对正中多生牙进行了囊肿摘除及拔除,随访期间未观察到并发症。

https://cdn.ncbi.nlm.nih.gov/pmc/blobs/6996/4181138/780882d75b99/IJABMR-4-61-g006.jpg
https://cdn.ncbi.nlm.nih.gov/pmc/blobs/6996/4181138/4965a37898e4/IJABMR-4-61-g001.jpg
https://cdn.ncbi.nlm.nih.gov/pmc/blobs/6996/4181138/435102b30dec/IJABMR-4-61-g002.jpg
https://cdn.ncbi.nlm.nih.gov/pmc/blobs/6996/4181138/0091dce5ee44/IJABMR-4-61-g003.jpg
https://cdn.ncbi.nlm.nih.gov/pmc/blobs/6996/4181138/be20404095b9/IJABMR-4-61-g004.jpg
https://cdn.ncbi.nlm.nih.gov/pmc/blobs/6996/4181138/f8ce332e518d/IJABMR-4-61-g005.jpg
https://cdn.ncbi.nlm.nih.gov/pmc/blobs/6996/4181138/780882d75b99/IJABMR-4-61-g006.jpg
https://cdn.ncbi.nlm.nih.gov/pmc/blobs/6996/4181138/4965a37898e4/IJABMR-4-61-g001.jpg
https://cdn.ncbi.nlm.nih.gov/pmc/blobs/6996/4181138/435102b30dec/IJABMR-4-61-g002.jpg
https://cdn.ncbi.nlm.nih.gov/pmc/blobs/6996/4181138/0091dce5ee44/IJABMR-4-61-g003.jpg
https://cdn.ncbi.nlm.nih.gov/pmc/blobs/6996/4181138/be20404095b9/IJABMR-4-61-g004.jpg
https://cdn.ncbi.nlm.nih.gov/pmc/blobs/6996/4181138/f8ce332e518d/IJABMR-4-61-g005.jpg
https://cdn.ncbi.nlm.nih.gov/pmc/blobs/6996/4181138/780882d75b99/IJABMR-4-61-g006.jpg

相似文献

1
Dentigerous cyst in association with impacted inverted mesiodens: Report of a rare case with a brief review of literature.含牙囊肿伴埋伏倒置正中多生牙:1例罕见病例报告并文献综述
Int J Appl Basic Med Res. 2014 Sep;4(Suppl 1):S61-4. doi: 10.4103/2229-516X.140748.
2
Dentigerous cyst associated with multiple mesiodens: a case report.含牙囊肿伴多发性正中牙:一例报告
J Indian Soc Pedod Prev Dent. 2007 Mar;25(1):56-9. doi: 10.4103/0970-4388.31994.
3
Dentigerous cyst associated with an impacted mesiodens: report of 2 cases.含牙囊肿伴埋伏正中牙:2例报告
Imaging Sci Dent. 2012 Dec;42(4):255-60. doi: 10.5624/isd.2012.42.4.255. Epub 2012 Dec 23.
4
Trauma-induced dentigerous cyst involving an inverted impacted mesiodens: case report.创伤性含牙囊肿累及倒置埋伏中切牙:病例报告。
Dent Traumatol. 2010 Jun;26(3):289-91. doi: 10.1111/j.1600-9657.2010.00882.x.
5
An infected dentigerous cyst associated with an impacted permanent maxillary canine, inverted mesiodens and impacted supernumerary teeth.一个感染性含牙囊肿,与一颗埋伏的上颌恒尖牙、倒置的正中多生牙及埋伏额外牙相关。
J Pharm Bioallied Sci. 2013 Jul;5(Suppl 2):S135-8. doi: 10.4103/0975-7406.114307.
6
Management of a dentigerous cyst associated with inverted and fused mesiodens: a rare case report.与倒置融合正中多生牙相关的含牙囊肿的治疗:一例罕见病例报告
J Int Oral Health. 2013 Aug;5(4):73-7. Epub 2013 Aug 28.
7
Anterior maxillary dentigerous cyst.上颌前部含牙囊肿。
Int J Clin Pediatr Dent. 2009 Jan;2(1):42-5. doi: 10.5005/jp-journals-10005-1041. Epub 2009 Apr 26.
8
Appearance can be deceptive: Dentigerous cyst crossing the midline.外观可能具有欺骗性:含牙囊肿跨越中线。
Natl J Maxillofac Surg. 2013 Jan;4(1):100-3. doi: 10.4103/0975-5950.117823.
9
Bilateral impacted inverted mesiodens associated with dentigerous cyst.双侧埋伏倒置正中多生牙伴含牙囊肿。
J Calif Dent Assoc. 2013 Oct;41(10):753-7.
10
Dentigerous cyst associated with a mesiodens: a case report.含牙囊肿伴正中多生牙:一例报告
J Dent Res Dent Clin Dent Prospects. 2011 Spring;5(2):76-8. doi: 10.5681/joddd.2011.016. Epub 2011 Jun 14.

引用本文的文献

1
Dentigerous Cyst Associated With Impacted Inverted Mesiodens: A Report of Three Cases and a Brief Literature Review.含牙囊肿伴埋伏倒置正中多生牙:三例报告及文献综述
Case Rep Dent. 2025 Aug 3;2025:6989796. doi: 10.1155/crid/6989796. eCollection 2025.
2
Management of a dentigerous cyst; a ten-year clinicopathological study.含牙囊肿的处理:一项长达十年的临床病理研究。
BMC Oral Health. 2024 Jul 23;24(1):831. doi: 10.1186/s12903-024-04607-w.
3
Large dentigerous cyst associated with the maxillary impacted supernumerary teeth: A rare occurrence and literature review.

本文引用的文献

1
Multiple teeth in a single dentigerous cyst follicle: A perplexity.单个含牙囊肿囊腔内有多颗牙齿:一种罕见情况。
Ann Maxillofac Surg. 2011 Jul;1(2):187-9. doi: 10.4103/2231-0746.92792.
2
A Dentigerous Cyst Apparently Associated with a Supernumerary Tooth.一个明显与多生牙相关的含牙囊肿。
Proc R Soc Med. 1924;17(Odontol Sect):9-10. doi: 10.1177/003591572401701104.
3
Dentigerous cysts of anterior maxilla in a young child: a case report.幼儿上颌前部含牙囊肿:一例报告
与上颌埋伏多生牙相关的大型含牙囊肿:一种罕见病例及文献综述
J Dent Res Dent Clin Dent Prospects. 2022 Fall;16(4):270-273. doi: 10.34172/joddd.2022.043. Epub 2022 Dec 30.
4
Management of a Large Dentigerous Cyst with Enucleation and Packing Open with BIPP in 9-year-old Child: A Case Report.9岁儿童大型含牙囊肿摘除术并使用铋碘仿石蜡纱布开放填塞治疗:病例报告
Int J Clin Pediatr Dent. 2023 May-Jun;16(3):515-517. doi: 10.5005/jp-journals-10005-2581.
5
Lung Cancer Cells Infiltration into a Mandibular Follicular Cyst.肺癌细胞浸润至下颌滤泡囊肿
Case Rep Dent. 2023 Jul 17;2023:7297821. doi: 10.1155/2023/7297821. eCollection 2023.
6
Nasopalatine Duct Cyst with Impacted Inverted Mesiodens: A Rare Case Report and Literature Review.伴有埋伏正中倒置牙的鼻腭管囊肿:一例罕见病例报告及文献复习
Case Rep Dent. 2022 Dec 19;2022:5981020. doi: 10.1155/2022/5981020. eCollection 2022.
7
The correlation between the three-dimensional radiolucency area around the crown of impacted maxillary canines and dentigerous cysts.上颌埋伏尖牙冠部周围三维透亮区与含牙囊肿的相关性。
Dentomaxillofac Radiol. 2020 May 1;49(4):20190402. doi: 10.1259/dmfr.20190402. Epub 2020 Jan 29.
8
Evaluation of Prevalence and Positions of Mesiodens Using Cone-Beam Computed Tomography.使用锥形束计算机断层扫描评估正中多生牙的患病率和位置
J Oral Maxillofac Res. 2018 Dec 30;9(4):e1. doi: 10.5037/jomr.2018.9401. eCollection 2018 Oct-Dec.
J Indian Soc Pedod Prev Dent. 2007 Oct-Dec;25(4):187-90. doi: 10.4103/0970-4388.37016.
4
Dentigerous cyst associated with multiple mesiodens: a case report.含牙囊肿伴多发性正中牙:一例报告
J Indian Soc Pedod Prev Dent. 2007 Mar;25(1):56-9. doi: 10.4103/0970-4388.31994.
5
Orthodontic assisted tooth eruption in a dentigerous cyst: a case report.含牙囊肿的正畸辅助牙齿萌出:一例报告
J Clin Pediatr Dent. 2004 Fall;29(1):33-5. doi: 10.17796/jcpd.29.1.2380j436055616j4.
6
Orthodontic treatment of a patient with multiple supernumerary teeth and mental retardation.对一名患有多颗多生牙和智力障碍患者的正畸治疗。
J Clin Pediatr Dent. 1999 Spring;23(3):195-200.
7
Supernumerary teeth--an overview of classification, diagnosis and management.多生牙——分类、诊断与处理概述
J Can Dent Assoc. 1999 Dec;65(11):612-6.
8
Familial occurrence of mesiodentes with unusual findings: case reports.伴有异常表现的正中多生牙的家族性发生:病例报告
Quintessence Int. 1998 Jan;29(1):49-51.
9
Localised disturbances associated with primary teeth eruption.与乳牙萌出相关的局部紊乱。
J Indian Soc Pedod Prev Dent. 1994 Mar;12(1):25-8.
10
Dentigerous cysts of inflammatory origin. A clinicopathologic study.炎性牙源性囊肿。一项临床病理研究。
Oral Surg Oral Med Oral Pathol Oral Radiol Endod. 1996 Feb;81(2):203-9. doi: 10.1016/s1079-2104(96)80416-1.