• 文献检索
  • 文档翻译
  • 深度研究
  • 学术资讯
  • Suppr Zotero 插件Zotero 插件
  • 邀请有礼
  • 套餐&价格
  • 历史记录
应用&插件
Suppr Zotero 插件Zotero 插件浏览器插件Mac 客户端Windows 客户端微信小程序
定价
高级版会员购买积分包购买API积分包
服务
文献检索文档翻译深度研究API 文档MCP 服务
关于我们
关于 Suppr公司介绍联系我们用户协议隐私条款
关注我们

Suppr 超能文献

核心技术专利:CN118964589B侵权必究
粤ICP备2023148730 号-1Suppr @ 2026

文献检索

告别复杂PubMed语法,用中文像聊天一样搜索,搜遍4000万医学文献。AI智能推荐,让科研检索更轻松。

立即免费搜索

文件翻译

保留排版,准确专业,支持PDF/Word/PPT等文件格式,支持 12+语言互译。

免费翻译文档

深度研究

AI帮你快速写综述,25分钟生成高质量综述,智能提取关键信息,辅助科研写作。

立即免费体验

胰腺癌中α平滑肌肌动蛋白的表达及促纤维增生性间质反应:CONKO-001研究结果

α-Smooth muscle actin expression and desmoplastic stromal reaction in pancreatic cancer: results from the CONKO-001 study.

作者信息

Sinn M, Denkert C, Striefler J K, Pelzer U, Stieler J M, Bahra M, Lohneis P, Dörken B, Oettle H, Riess H, Sinn B V

机构信息

Charité-Universitätsmedizin Berlin, Department of Medical Oncology and Haematology, Augustenburger Platz 1, 13353 Berlin, Germany.

Charité-Universitätsmedizin Berlin, Institute of Pathology, Chariteplatz 1, 10117 Berlin, Germany.

出版信息

Br J Cancer. 2014 Nov 11;111(10):1917-23. doi: 10.1038/bjc.2014.495. Epub 2014 Oct 14.

DOI:10.1038/bjc.2014.495
PMID:25314063
原文链接:https://pmc.ncbi.nlm.nih.gov/articles/PMC4229636/
Abstract

BACKGROUND

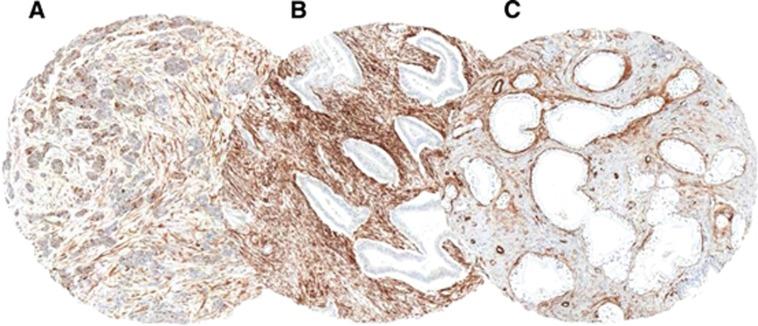
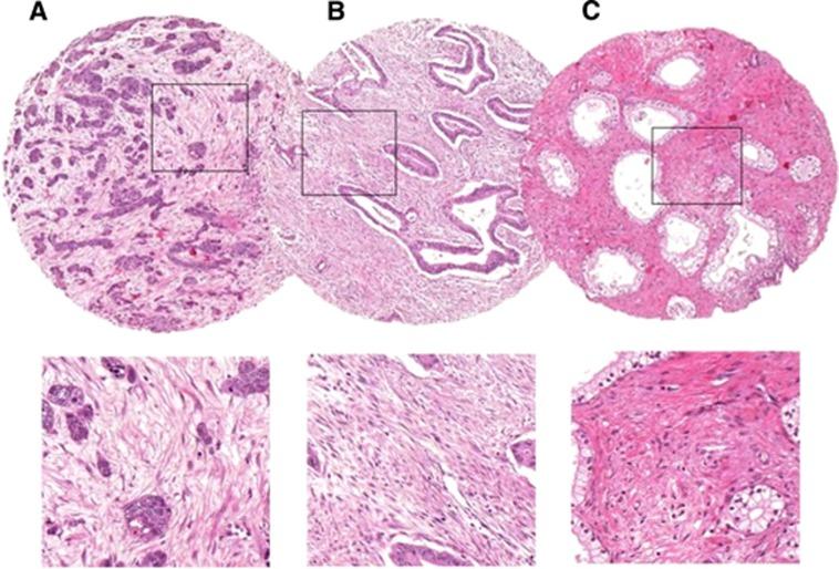
Previous investigations in pancreatic cancer suggest a prognostic role for α-smooth muscle actin (α-SMA) expression and stromal density in the peritumoural stroma. The aim of this study was to further validate the impact of α-SMA expression and stromal density in resectable pancreatic cancer patients treated with adjuvant gemcitabine compared with untreated patients.

METHODS

CONKO-001 was a prospective randomised phase III study investigating the role of adjuvant gemcitabine as compared with observation. Tissue samples of 162 patients were available for immunohistochemistry on tissue microarrays to evaluate the impact of α-SMA expression and stromal density impact on patient outcome.

RESULTS

High α-SMA expression in tumour stroma was associated with worse patient outcome (DFS: P=0.05, OS: P=0.047). A dense stroma reaction was associated with improved disease-free survival (DFS) and overall survival (OS) in the overall study population (DFS: P=0.001, OS: P=0.001). This positive prognostic impact was restricted to patients with no adjuvant treatment (DFS: P<0.001, OS: P<0.001). In multivariable analysis, α-SMA and stromal density expression were independently predictive factors for survival.

CONCLUSIONS

Our data confirm the negative prognostic impact of high α-SMA expression in pancreatic cancer patients after curatively intended resection. In contrast to former investigations, we found a positive prognostic impact for a dense stroma. This significant influence was restricted to patients who received no adjuvant therapy.

摘要

背景

先前对胰腺癌的研究表明,α-平滑肌肌动蛋白(α-SMA)表达和肿瘤周围基质中的基质密度具有预后作用。本研究的目的是进一步验证与未接受治疗的患者相比,α-SMA表达和基质密度对接受吉西他滨辅助治疗的可切除胰腺癌患者的影响。

方法

CONKO-001是一项前瞻性随机III期研究,旨在研究吉西他滨辅助治疗与观察相比的作用。162例患者的组织样本可用于组织微阵列上的免疫组织化学,以评估α-SMA表达和基质密度对患者预后的影响。

结果

肿瘤基质中高α-SMA表达与较差的患者预后相关(无病生存期:P = 0.05,总生存期:P = 0.047)。在整个研究人群中,致密的基质反应与无病生存期(DFS)和总生存期(OS)的改善相关(DFS:P = 0.001,OS:P = 0.001)。这种积极的预后影响仅限于未接受辅助治疗的患者(DFS:P <0.001,OS:P <0.001)。在多变量分析中,α-SMA和基质密度表达是生存的独立预测因素。

结论

我们的数据证实了根治性切除术后胰腺癌患者中高α-SMA表达的负面预后影响。与先前的研究相反,我们发现致密基质具有积极的预后影响。这种显著影响仅限于未接受辅助治疗的患者。

https://cdn.ncbi.nlm.nih.gov/pmc/blobs/3ac5/4229636/be79a5a57bf4/bjc2014495f4.jpg
https://cdn.ncbi.nlm.nih.gov/pmc/blobs/3ac5/4229636/7d56d08e4240/bjc2014495f1.jpg
https://cdn.ncbi.nlm.nih.gov/pmc/blobs/3ac5/4229636/ca070667783d/bjc2014495f2.jpg
https://cdn.ncbi.nlm.nih.gov/pmc/blobs/3ac5/4229636/64f41090cb40/bjc2014495f3.jpg
https://cdn.ncbi.nlm.nih.gov/pmc/blobs/3ac5/4229636/be79a5a57bf4/bjc2014495f4.jpg
https://cdn.ncbi.nlm.nih.gov/pmc/blobs/3ac5/4229636/7d56d08e4240/bjc2014495f1.jpg
https://cdn.ncbi.nlm.nih.gov/pmc/blobs/3ac5/4229636/ca070667783d/bjc2014495f2.jpg
https://cdn.ncbi.nlm.nih.gov/pmc/blobs/3ac5/4229636/64f41090cb40/bjc2014495f3.jpg
https://cdn.ncbi.nlm.nih.gov/pmc/blobs/3ac5/4229636/be79a5a57bf4/bjc2014495f4.jpg

相似文献

1
α-Smooth muscle actin expression and desmoplastic stromal reaction in pancreatic cancer: results from the CONKO-001 study.胰腺癌中α平滑肌肌动蛋白的表达及促纤维增生性间质反应:CONKO-001研究结果
Br J Cancer. 2014 Nov 11;111(10):1917-23. doi: 10.1038/bjc.2014.495. Epub 2014 Oct 14.
2
SPARC expression in resected pancreatic cancer patients treated with gemcitabine: results from the CONKO-001 study.接受吉西他滨治疗的胰腺癌患者中 SPARC 的表达:CONKO-001 研究的结果。
Ann Oncol. 2014 May;25(5):1025-32. doi: 10.1093/annonc/mdu084. Epub 2014 Feb 20.
3
Human equilibrative nucleoside transporter 1 expression analysed by the clone SP 120 rabbit antibody is not predictive in patients with pancreatic cancer treated with adjuvant gemcitabine - Results from the CONKO-001 trial.采用克隆SP 120兔抗体分析的人平衡核苷转运体1表达情况,对接受吉西他滨辅助治疗的胰腺癌患者并无预测价值——CONKO-001试验结果
Eur J Cancer. 2015 Aug;51(12):1546-54. doi: 10.1016/j.ejca.2015.05.005. Epub 2015 Jun 3.
4
Impact of completeness of adjuvant gemcitabine, relapse pattern, and subsequent therapy on outcome of patients with resected pancreatic ductal adenocarcinoma - A pooled analysis of CONKO-001, CONKO-005, and CONKO-006 trials.辅助性吉西他滨治疗的完整性、复发模式及后续治疗对切除的胰腺导管腺癌患者预后的影响——CONKO-001、CONKO-005和CONKO-006试验的汇总分析
Eur J Cancer. 2021 Jun;150:250-259. doi: 10.1016/j.ejca.2021.03.036. Epub 2021 Apr 30.
5
DLL4 expression is a prognostic marker and may predict gemcitabine benefit in resected pancreatic cancer.DLL4表达是一种预后标志物,可能预测吉西他滨对可切除胰腺癌的疗效。
Br J Cancer. 2016 Nov 8;115(10):1245-1252. doi: 10.1038/bjc.2016.319. Epub 2016 Oct 18.
6
Combined analysis of intratumoral human equilibrative nucleoside transporter 1 (hENT1) and ribonucleotide reductase regulatory subunit M1 (RRM1) expression is a powerful predictor of survival in patients with pancreatic carcinoma treated with adjuvant gemcitabine-based chemotherapy after operative resection.肿瘤内人嘧啶核苷转运蛋白 1(hENT1)和核糖核苷酸还原酶调节亚基 M1(RRM1)表达的联合分析是手术切除后接受辅助吉西他滨为基础化疗的胰腺癌患者生存的有力预测指标。
Surgery. 2013 Apr;153(4):565-75. doi: 10.1016/j.surg.2012.10.010. Epub 2012 Dec 17.
7
IL17RB expression might predict prognosis and benefit from gemcitabine in patients with resectable pancreatic cancer.白细胞介素 17 受体 B 的表达可能预测可切除胰腺癌患者的预后,并从吉西他滨治疗中获益。
Pathol Res Pract. 2019 Dec;215(12):152650. doi: 10.1016/j.prp.2019.152650. Epub 2019 Sep 17.
8
The prognostic role of desmoplastic stroma in pancreatic ductal adenocarcinoma.促纤维增生性间质在胰腺导管腺癌中的预后作用。
Oncotarget. 2016 Jan 26;7(4):4183-94. doi: 10.18632/oncotarget.6770.
9
Comment on: α-smooth muscle actin expression and desmoplastic stromal reaction in pancreatic cancer: results from the CONKO-001 study.关于《胰腺癌中α平滑肌肌动蛋白表达与促纤维增生性间质反应:CONKO-001研究结果》的评论
Br J Cancer. 2015 May 26;112(11):1838. doi: 10.1038/bjc.2014.663. Epub 2015 Jan 20.
10
Mutations Predict Sensitivity to Adjuvant Gemcitabine in Patients with Pancreatic Ductal Adenocarcinoma: Next-Generation Sequencing Results from the CONKO-001 Trial.突变预测胰腺导管腺癌患者对辅助吉西他滨的敏感性:CONKO-001 试验的下一代测序结果。
Clin Cancer Res. 2020 Jul 15;26(14):3732-3739. doi: 10.1158/1078-0432.CCR-19-3034. Epub 2020 Mar 31.

引用本文的文献

1
Fibrogenesis-driven tumor progression in clear cell renal cell carcinoma: prognostic, therapeutic implications and the dual role of neuropilin-1.透明细胞肾细胞癌中纤维生成驱动的肿瘤进展:预后、治疗意义及神经纤毛蛋白-1的双重作用
Cancer Cell Int. 2025 May 16;25(1):179. doi: 10.1186/s12935-025-03801-2.
2
Tumor and α-SMA-expressing stromal cells in pancreatic neuroendocrine tumors have a distinct RNA profile depending on tumor grade.胰腺神经内分泌肿瘤中的肿瘤细胞和表达α-平滑肌肌动蛋白(α-SMA)的基质细胞具有取决于肿瘤分级的独特RNA谱。
Mol Oncol. 2025 Mar;19(3):659-681. doi: 10.1002/1878-0261.13727. Epub 2024 Sep 8.
3
The Importance of Stroma and Stromal SMA Expression in Pancreatic Ductal Adenocarcinoma.

本文引用的文献

1
Stellate cells, a point of light in the dark night of pancreatic cancer.星状细胞,胰腺癌暗夜中的一点微光。
Br J Cancer. 2014 Oct 14;111(8):1676-7. doi: 10.1038/bjc.2014.59. Epub 2014 Mar 18.
2
Stars and stripes in pancreatic cancer: role of stellate cells and stroma in cancer progression.胰腺癌中的星条旗:星状细胞和基质在癌症进展中的作用
Front Physiol. 2014 Feb 14;5:52. doi: 10.3389/fphys.2014.00052. eCollection 2014.
3
SPARC expression in resected pancreatic cancer patients treated with gemcitabine: results from the CONKO-001 study.
基质和基质 SMA 表达在胰腺导管腺癌中的重要性。
Turk Patoloji Derg. 2024;40(3):181-189. doi: 10.5146/tjpath.2024.13521.
4
Digital spatial proteomic profiling reveals immune checkpoints as biomarkers in lymphoid aggregates and tumor microenvironment of desmoplastic melanoma.数字空间蛋白质组学分析揭示免疫检查点作为促结缔组织增生性黑色素瘤淋巴样聚集和肿瘤微环境的生物标志物。
J Immunother Cancer. 2024 Mar 21;12(3):e008646. doi: 10.1136/jitc-2023-008646.
5
Re-Shaping the Pancreatic Cancer Tumor Microenvironment: A New Role for the Metastasis Suppressor NDRG1.重塑胰腺癌肿瘤微环境:转移抑制因子NDRG1的新作用
Cancers (Basel). 2023 May 16;15(10):2779. doi: 10.3390/cancers15102779.
6
CXCL5 knockdown attenuated gemcitabine resistance of pancreatic cancer through regulation of cancer cells and tumour stroma.CXCL5基因敲低通过调节癌细胞和肿瘤基质减弱胰腺癌对吉西他滨的耐药性。
Am J Transl Res. 2023 Apr 15;15(4):2676-2689. eCollection 2023.
7
Pancreatic cancer-derived small extracellular vesical ezrin activates fibroblasts to exacerbate cancer metastasis through STAT3 and YAP-1 signaling pathways.胰腺癌细胞来源的小细胞外囊泡 ezrin 通过 STAT3 和 YAP-1 信号通路激活成纤维细胞,从而加剧癌症转移。
Mol Oncol. 2023 Aug;17(8):1628-1647. doi: 10.1002/1878-0261.13442. Epub 2023 May 12.
8
Specific Subtypes of Carcinoma-Associated Fibroblasts Are Correlated with Worse Survival in Resectable Pancreatic Ductal Adenocarcinoma.癌相关成纤维细胞的特定亚型与可切除性胰腺导管腺癌的较差生存率相关。
Cancers (Basel). 2023 Mar 30;15(7):2049. doi: 10.3390/cancers15072049.
9
A primer on cancer-associated fibroblast mechanics and immunosuppressive ability.癌症相关成纤维细胞力学与免疫抑制能力入门
Explor Target Antitumor Ther. 2023;4(1):17-27. doi: 10.37349/etat.2023.00120. Epub 2023 Feb 20.
10
Prognostic impact of desmoplastic reaction in esophageal squamous cell carcinoma patients with neoadjuvant therapy.新辅助治疗后食管鳞癌患者间质反应的预后影响。
Esophagus. 2023 Jul;20(3):474-483. doi: 10.1007/s10388-023-00996-z. Epub 2023 Mar 14.
接受吉西他滨治疗的胰腺癌患者中 SPARC 的表达:CONKO-001 研究的结果。
Ann Oncol. 2014 May;25(5):1025-32. doi: 10.1093/annonc/mdu084. Epub 2014 Feb 20.
4
[S3-guideline exocrine pancreatic cancer].[S3 指南:外分泌性胰腺癌]
Z Gastroenterol. 2013 Dec;51(12):1395-440. doi: 10.1055/s-0033-1356220. Epub 2013 Dec 11.
5
Novel therapeutic strategies targeting tumor-stromal interactions in pancreatic cancer.针对胰腺癌中肿瘤-基质相互作用的新型治疗策略。
Front Physiol. 2013 Nov 11;4:331. doi: 10.3389/fphys.2013.00331. eCollection 2013.
6
The stromal compartments in pancreatic cancer: are there any therapeutic targets?胰腺癌中的基质隔室:是否存在任何治疗靶点?
Cancer Lett. 2014 Feb 28;343(2):147-55. doi: 10.1016/j.canlet.2013.09.039. Epub 2013 Oct 16.
7
Increased survival in pancreatic cancer with nab-paclitaxel plus gemcitabine.白蛋白结合型紫杉醇联合吉西他滨治疗胰腺癌可提高生存率。
N Engl J Med. 2013 Oct 31;369(18):1691-703. doi: 10.1056/NEJMoa1304369. Epub 2013 Oct 16.
8
Adjuvant chemotherapy with gemcitabine and long-term outcomes among patients with resected pancreatic cancer: the CONKO-001 randomized trial.吉西他滨辅助化疗与可切除胰腺癌患者长期结局:CONKO-001 随机试验。
JAMA. 2013 Oct 9;310(14):1473-81. doi: 10.1001/jama.2013.279201.
9
Activation of alpha-smooth muscle actin-positive myofibroblast-like cells after chemotherapy with gemcitabine in a rat orthotopic pancreatic cancer model.在大鼠原位胰腺癌模型中,吉西他滨化疗后 alpha-平滑肌肌动蛋白阳性肌纤维母细胞样细胞的激活。
J Hepatobiliary Pancreat Sci. 2013 Feb;20(2):206-13. doi: 10.1007/s00534-012-0576-9.
10
The pancreas cancer microenvironment.胰腺癌微环境。
Clin Cancer Res. 2012 Aug 15;18(16):4266-76. doi: 10.1158/1078-0432.CCR-11-3114.