Suppr超能文献

以自发性牙龈出血为表现的免疫性血小板减少性紫癜:一例报告

Immune thrombocytopenic purpura presenting as unprovoked gingival hemorrhage: a case report.

作者信息

Bal Mehmet V, Koyuncuoglu Cenker Z, Saygun Işıl

机构信息

1Gulhane Military Medical Academy, Department of Periodontology, Ankara, Turkey.

2Istanbul Aydin University, Faculty of Dentistry, Department of Periodontology, Istanbul, Turkey.

出版信息

Open Dent J. 2014 Sep 29;8:164-7. doi: 10.2174/1874210601408010164. eCollection 2014.

Abstract

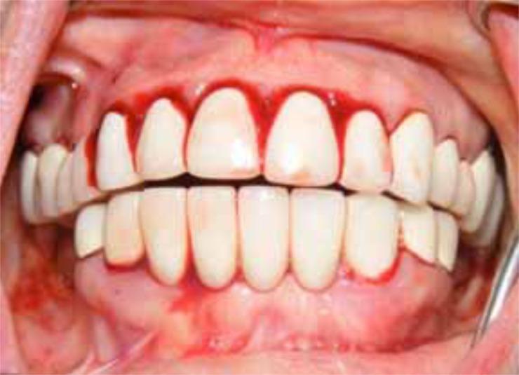
Immune thrombocytopenic purpura is an autoimmune disease characterized by auto-antibody induced platelet destruction and reduced platelet production, leading to low blood platelet count. In this case report, the clinical diagnose of a patient with immune thrombocytopenic purpura and spontaneous gingival hemorrhage by a dentist is presented. The patient did not have any systemic disease that would cause any spontaneous hemorrhage. The patient was referred to a hematologist urgently and her thrombocyte number was found to be 2000/μL. Other test results were in normal range and immune thrombocytopenic purpura diagnose was verified. Then hematological treatment was performed and patient's health improved without further problems. Hematologic diseases like immune thrombocytopenic purpura, in some cases may appear firstly in the oral cavity and dentists must be conscious of unexplained gingival hemorrhage. In addition, the dental treatment of immune thrombocytopenic purpura patients must be planned with a hematologist.

摘要

免疫性血小板减少性紫癜是一种自身免疫性疾病,其特征为自身抗体诱导的血小板破坏和血小板生成减少,导致血小板计数降低。在本病例报告中,呈现了一名牙医对患有免疫性血小板减少性紫癜并伴有自发性牙龈出血患者的临床诊断过程。该患者没有任何会导致自发性出血的全身性疾病。患者被紧急转诊至血液科医生处,发现其血小板计数为2000/μL。其他检查结果在正常范围内,免疫性血小板减少性紫癜的诊断得到证实。随后进行了血液学治疗,患者健康状况改善,未出现进一步问题。像免疫性血小板减少性紫癜这样的血液学疾病,在某些情况下可能首先出现在口腔,牙医必须意识到不明原因的牙龈出血。此外,免疫性血小板减少性紫癜患者的牙科治疗必须与血液科医生共同规划。

https://cdn.ncbi.nlm.nih.gov/pmc/blobs/34b4/4192833/98775270a0da/TODENTJ-8-164_F1.jpg

文献检索

告别复杂PubMed语法,用中文像聊天一样搜索,搜遍4000万医学文献。AI智能推荐,让科研检索更轻松。

立即免费搜索

文件翻译

保留排版,准确专业,支持PDF/Word/PPT等文件格式,支持 12+语言互译。

免费翻译文档

深度研究

AI帮你快速写综述,25分钟生成高质量综述,智能提取关键信息,辅助科研写作。

立即免费体验