Suppr超能文献

化疗引起的肝脏异常:影像学视角

Chemotherapy induced liver abnormalities: an imaging perspective.

作者信息

Sharma Ankush, Houshyar Roozbeh, Bhosale Priya, Choi Joon-Il, Gulati Rajesh, Lall Chandana

机构信息

Department of Internal Medicine, University of California, Irvine, Orange, CA, USA.

Department of Radiological Sciences, University of California, Irvine, Orange, CA, USA.

出版信息

Clin Mol Hepatol. 2014 Sep;20(3):317-26. doi: 10.3350/cmh.2014.20.3.317.

Abstract

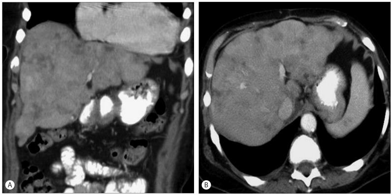
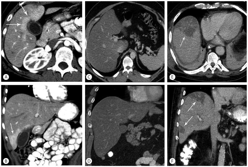
Treating patients undergoing chemotherapy who display findings of liver toxicity, requires a solid understanding of these medications. It is important for any clinician to have an index of suspicion for liver toxicity and be able to recognize it, even on imaging. Cancer chemotherapy has evolved, and newer medications that target cell biology have a different pattern of liver toxicity and may differ from the more traditional cytotoxic agents. There are several hepatic conditions that can result and keen clinical as well as radiographic recognition are paramount. Conditions such as sinusoidal obstructive syndrome, steatosis, and pseudocirrhosis are more commonly associated with chemotherapy. These conditions can display clinical signs of acute hepatitis, liver cirrhosis, and even liver failure. It is important to anticipate and recognize these adverse reactions and thus appropriate clinical action can be taken. Often times, patients with these liver manifestations can be managed with supportive therapies, and liver toxicity may resolve after discontinuation of chemotherapy.

摘要

治疗出现肝毒性表现的化疗患者,需要对这些药物有扎实的了解。任何临床医生都必须对肝毒性保持怀疑指数,并能够识别它,即使是通过影像学手段。癌症化疗已经发展,靶向细胞生物学的新型药物具有不同的肝毒性模式,可能与更传统的细胞毒性药物有所不同。有几种肝脏疾病可能由此引发,敏锐的临床及影像学识别至关重要。诸如窦性阻塞综合征、脂肪变性和假性肝硬化等病症更常与化疗相关。这些病症可表现出急性肝炎、肝硬化甚至肝衰竭的临床体征。预见并识别这些不良反应很重要,这样才能采取适当的临床行动。通常,有这些肝脏表现的患者可以通过支持性疗法进行治疗,并且肝毒性可能在化疗停药后消退。

https://cdn.ncbi.nlm.nih.gov/pmc/blobs/ada0/4197183/9808bae97206/cmh-20-317-g001.jpg

文献检索

告别复杂PubMed语法,用中文像聊天一样搜索,搜遍4000万医学文献。AI智能推荐,让科研检索更轻松。

立即免费搜索

文件翻译

保留排版,准确专业,支持PDF/Word/PPT等文件格式,支持 12+语言互译。

免费翻译文档

深度研究

AI帮你快速写综述,25分钟生成高质量综述,智能提取关键信息,辅助科研写作。

立即免费体验