Suppr超能文献

从犬血浆中纯化蛋白 C。

Purification of protein C from canine plasma.

出版信息

BMC Vet Res. 2014 Oct 18;10:251. doi: 10.1186/s12917-014-0251-2.

Abstract

BACKGROUND

In order to characterize the functional properties of canine protein C (CnPC), the zymogen needs to be purified from plasma. The goals of this study were (1) to purify protein C from fresh frozen canine plasma by barium chloride and ammonium sulphate precipitation, followed by immunoaffinity chromatography using a monoclonal mouse antibody against human protein C (HPC4) and (2) to characterize this protein's structure.

RESULTS

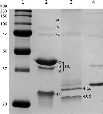
The purified protein contained three glycosylated forms of a heavy chain (49 kDa) and a glycosylated light chain ( 25 kDa). Tandem mass spectra of the peptides obtained following trypsin digestion and liquid chromatography identified this protein to be protein C (vitamin K-dependent protein C precursor, gi|62078422) with 100% probability. Three glycosylation sites (Asn139, Asn202, and Asn350) were identified by detection of peptides containing an N-linked glycosylation consensus sequon with a 3-dalton increase in mass following incubation of the protein with PNGase F in 18O-labeled water. Following incubation with Protac (a specific activator of protein C), the heavy chain showed a slight decrease in molecular size and amidolytic activity measured by a synthetic chromogenic substrate containing an amide bond [H-D-(γ-carbobenzoxyl)-lysyl-prolyl-arginine-paranitroanilide diacetate salt]. The amidolytic activity was increased by ~303-fold in the final protein preparation compared to that in plasma. The purified protein showed concentration-dependent anti-factor V and anti-factor VIII activities in canine plasma in coagulometric factor assays.

CONCLUSIONS

These studies showed that CnPC could be purified from plasma using HPC4 and that this protein showed amidolytic and anti-coagulant properties upon activation with Protac.

摘要

背景

为了研究犬蛋白 C(CnPC)的功能特性,需要从血浆中纯化酶原。本研究的目的是(1)通过氯化钡和硫酸铵沉淀从新鲜冷冻犬血浆中纯化蛋白 C,然后使用针对人蛋白 C(HPC4)的单克隆鼠抗体进行免疫亲和层析,(2)对该蛋白的结构进行表征。

结果

纯化的蛋白包含三个糖基化的重链(49 kDa)和一个糖基化的轻链(25 kDa)。胰蛋白酶消化和液相色谱得到的肽段的串联质谱分析鉴定该蛋白为蛋白 C(维生素 K 依赖性蛋白 C 前体,gi|62078422),可信度为 100%。通过检测含有 N-连接糖基化共识序列的肽段,发现了三个糖基化位点(Asn139、Asn202 和 Asn350),在用 PNGase F 在 18O 标记水中孵育蛋白后,质量增加了 3 个 Dalton。用 Protac(蛋白 C 的特异性激活剂)孵育后,重链的分子量略有减小,用含有酰胺键的合成显色底物测定的 amidolytic 活性[H-D-(γ-羧基苄氧羰基)-赖氨酸-脯氨酸-精氨酸-对硝基苯胺二醋酸盐]。与血浆相比,最终蛋白制剂的 amidolytic 活性增加了约 303 倍。在凝血因子测定中,纯化的蛋白在犬血浆中显示出浓度依赖性的抗因子 V 和抗因子 VIII 活性。

结论

这些研究表明,CnPC 可以使用 HPC4 从血浆中纯化,并且该蛋白在使用 Protac 激活后显示出 amidolytic 和抗凝血特性。

https://cdn.ncbi.nlm.nih.gov/pmc/blobs/0351/4212105/0122e4f12505/12917_2014_251_Fig1_HTML.jpg

文献检索

告别复杂PubMed语法,用中文像聊天一样搜索,搜遍4000万医学文献。AI智能推荐,让科研检索更轻松。

立即免费搜索

文件翻译

保留排版,准确专业,支持PDF/Word/PPT等文件格式,支持 12+语言互译。

免费翻译文档

深度研究

AI帮你快速写综述,25分钟生成高质量综述,智能提取关键信息,辅助科研写作。

立即免费体验