Suppr超能文献

高压氧治疗对症状性气胸的影响。

Effects of hyperbaric oxygenation therapy on symptomatic pneumocephalus.

机构信息

Division of Neurosurgery, University of São Paulo Medical School, São Paulo, Brazil.

出版信息

Ther Clin Risk Manag. 2014 Oct 6;10:769-73. doi: 10.2147/TCRM.S45220. eCollection 2014.

Abstract

BACKGROUND

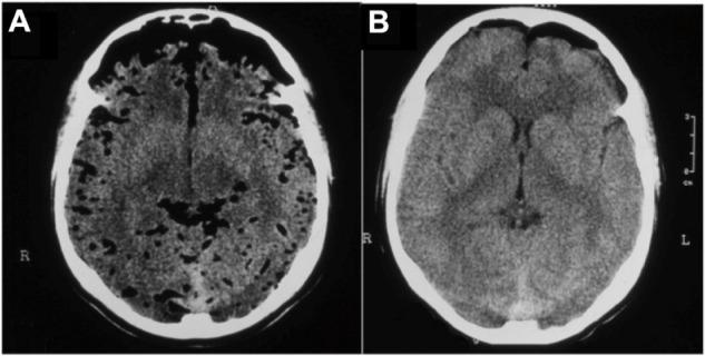
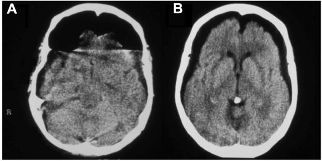
Pneumocephalus (PNC) is defined as a pathological collection of gas within the cranial cavity. The authors studied the effects of hyperbaric oxygenation (HBO2) therapy on a group of patients with PNC, comparing them with a control group to determine the relative impact on pneumocephalus volume, clinical symptoms, and duration of hospitalization.

METHODS

Twenty-four patients with PNC treated at our hospital were consecutively studied. These patients were divided into a treated group (n=13) and a control group (n=11). Thirteen patients (treated group) were treated with HBO2 therapy sessions in a monoplace hyperbaric chamber at 2.5 atmospheres with 100% oxygen concentration. The control group was treated with normobaric oxygenation.

RESULTS

Clinical improvement was seen in all patients. In the treated group, a decrease of the gas bubble was observed on the computerized tomography scan after each session of HBO2. The treated group also experienced a lower rate of meningitis compared with the control group. The length of hospital stay was significantly higher in the control group compared with the treated group.

CONCLUSIONS

HBO2 therapy in selective cases may lead to clinical and radiological improvement in patients with PNC.

摘要

背景

气颅是指颅腔内病理性气体积聚。作者研究了高压氧(HBO2)治疗对一组气颅患者的影响,并与对照组进行比较,以确定其对气颅体积、临床症状和住院时间的相对影响。

方法

连续研究了在我院接受治疗的 24 例气颅患者。这些患者分为治疗组(n=13)和对照组(n=11)。13 名患者(治疗组)在 2.5 个大气压的单人高压舱中接受 100%浓度的氧气高压氧治疗。对照组接受常压氧治疗。

结果

所有患者的临床症状均有所改善。在治疗组,每次 HBO2 治疗后,计算机断层扫描显示气腔气泡减少。与对照组相比,治疗组脑膜炎的发生率也较低。与治疗组相比,对照组的住院时间明显更长。

结论

在选择性病例中,HBO2 治疗可能导致气颅患者的临床和影像学改善。

https://cdn.ncbi.nlm.nih.gov/pmc/blobs/4877/4199555/e41ba0b74385/tcrm-10-769Fig1.jpg

文献检索

告别复杂PubMed语法,用中文像聊天一样搜索,搜遍4000万医学文献。AI智能推荐,让科研检索更轻松。

立即免费搜索

文件翻译

保留排版,准确专业,支持PDF/Word/PPT等文件格式,支持 12+语言互译。

免费翻译文档

深度研究

AI帮你快速写综述,25分钟生成高质量综述,智能提取关键信息,辅助科研写作。

立即免费体验