• 文献检索
  • 文档翻译
  • 深度研究
  • 学术资讯
  • Suppr Zotero 插件Zotero 插件
  • 邀请有礼
  • 套餐&价格
  • 历史记录
应用&插件
Suppr Zotero 插件Zotero 插件浏览器插件Mac 客户端Windows 客户端微信小程序
定价
高级版会员购买积分包购买API积分包
服务
文献检索文档翻译深度研究API 文档MCP 服务
关于我们
关于 Suppr公司介绍联系我们用户协议隐私条款
关注我们

Suppr 超能文献

核心技术专利:CN118964589B侵权必究
粤ICP备2023148730 号-1Suppr @ 2026

文献检索

告别复杂PubMed语法,用中文像聊天一样搜索,搜遍4000万医学文献。AI智能推荐,让科研检索更轻松。

立即免费搜索

文件翻译

保留排版,准确专业,支持PDF/Word/PPT等文件格式,支持 12+语言互译。

免费翻译文档

深度研究

AI帮你快速写综述,25分钟生成高质量综述,智能提取关键信息,辅助科研写作。

立即免费体验

组织微小RNA作为一线使用卡培他滨和奥沙利铂联合或不联合贝伐单抗治疗的转移性结直肠癌患者预后的预测指标。

Tissue microRNAs as predictors of outcome in patients with metastatic colorectal cancer treated with first line Capecitabine and Oxaliplatin with or without Bevacizumab.

作者信息

Boisen Mogens K, Dehlendorff Christian, Linnemann Dorte, Nielsen Boye S, Larsen Jim S, Osterlind Kell, Nielsen Svend E, Tarpgaard Line S, Qvortrup Camilla, Pfeiffer Per, Holländer Niels H, Keldsen Nina, Hansen Torben F, Jensen Brita B, Høgdall Estrid V S, Jensen Benny V, Johansen Julia S

机构信息

Department of Oncology, Herlev University Hospital, Herlev, Denmark.

Statistics, Bioinformatics and Registry, Danish Cancer Society Research Center, Copenhagen, Denmark.

出版信息

PLoS One. 2014 Oct 15;9(10):e109430. doi: 10.1371/journal.pone.0109430. eCollection 2014.

DOI:10.1371/journal.pone.0109430
PMID:25329796
原文链接:https://pmc.ncbi.nlm.nih.gov/articles/PMC4198118/
Abstract

PURPOSE

We tested the hypothesis that expression of microRNAs (miRNAs) in cancer tissue can predict effectiveness of bevacizumab added to capecitabine and oxaliplatin (CAPEOX) in patients with metastatic colorectal cancer (mCRC).

EXPERIMENTAL DESIGN

Patients with mCRC treated with first line CAPEOX and bevacizumab (CAPEOXBEV): screening (n = 212) and validation (n = 121) cohorts, or CAPEOX alone: control cohort (n = 127), were identified retrospectively and archival primary tumor samples were collected. Expression of 754 miRNAs was analyzed in the screening cohort using polymerase chain reaction (PCR) arrays and expression levels were related to time to disease progression (TTP) and overall survival (OS). Significant miRNAs from the screening study were analyzed in all three cohorts using custom PCR arrays. In situ hybridization (ISH) was done for selected miRNAs.

RESULTS

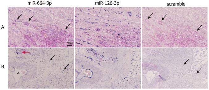
In the screening study, 26 miRNAs were significantly correlated with outcome in multivariate analyses. Twenty-two miRNAs were selected for further study. Higher miR-664-3p expression and lower miR-455-5p expression were predictive of improved outcome in the CAPEOXBEV cohorts and showed a significant interaction with bevacizumab effectiveness. The effects were strongest for OS. Both miRNAs showed high expression in stromal cells. Higher expression of miR-196b-5p and miR-592 predicted improved outcome regardless of bevacizumab treatment, with similar effect estimates in all three cohorts.

CONCLUSIONS

We have identified potentially predictive miRNAs for bevacizumab effectiveness and additional miRNAs that could be related to chemotherapy effectiveness or prognosis in patients with mCRC. Our findings need further validation in large cohorts, preferably from completed randomized trials.

摘要

目的

我们检验了以下假设,即癌症组织中微小RNA(miRNA)的表达可以预测贝伐单抗联合卡培他滨和奥沙利铂(CAPEOX)治疗转移性结直肠癌(mCRC)患者的疗效。

实验设计

回顾性确定接受一线CAPEOX和贝伐单抗(CAPEOXBEV)治疗的mCRC患者:筛查队列(n = 212)和验证队列(n = 121),或仅接受CAPEOX治疗的患者:对照队列(n = 127),并收集存档的原发性肿瘤样本。使用聚合酶链反应(PCR)阵列分析筛查队列中754种miRNA的表达,并将表达水平与疾病进展时间(TTP)和总生存期(OS)相关联。使用定制PCR阵列在所有三个队列中分析筛查研究中具有显著意义的miRNA。对选定的miRNA进行原位杂交(ISH)。

结果

在筛查研究中,26种miRNA在多变量分析中与结局显著相关。选择了22种miRNA进行进一步研究。较高的miR-664-3p表达和较低的miR-455-5p表达可预测CAPEOXBEV队列的结局改善,并显示与贝伐单抗疗效有显著相互作用。对OS的影响最强。两种miRNA在基质细胞中均高表达且。无论贝伐单抗治疗如何,较高的miR-196b-5p和miR-592表达均预测结局改善,在所有三个队列中的效应估计相似。

结论

我们已经确定了贝伐单抗疗效的潜在预测性miRNA,以及可能与mCRC患者化疗疗效或预后相关的其他miRNA。我们的研究结果需要在大型队列中进一步验证,最好来自已完成的随机试验。

https://cdn.ncbi.nlm.nih.gov/pmc/blobs/6963/4198118/560c2bdf906b/pone.0109430.g003.jpg
https://cdn.ncbi.nlm.nih.gov/pmc/blobs/6963/4198118/9a06e3fb96d9/pone.0109430.g001.jpg
https://cdn.ncbi.nlm.nih.gov/pmc/blobs/6963/4198118/b07a8ee5c489/pone.0109430.g002.jpg
https://cdn.ncbi.nlm.nih.gov/pmc/blobs/6963/4198118/560c2bdf906b/pone.0109430.g003.jpg
https://cdn.ncbi.nlm.nih.gov/pmc/blobs/6963/4198118/9a06e3fb96d9/pone.0109430.g001.jpg
https://cdn.ncbi.nlm.nih.gov/pmc/blobs/6963/4198118/b07a8ee5c489/pone.0109430.g002.jpg
https://cdn.ncbi.nlm.nih.gov/pmc/blobs/6963/4198118/560c2bdf906b/pone.0109430.g003.jpg

相似文献

1
Tissue microRNAs as predictors of outcome in patients with metastatic colorectal cancer treated with first line Capecitabine and Oxaliplatin with or without Bevacizumab.组织微小RNA作为一线使用卡培他滨和奥沙利铂联合或不联合贝伐单抗治疗的转移性结直肠癌患者预后的预测指标。
PLoS One. 2014 Oct 15;9(10):e109430. doi: 10.1371/journal.pone.0109430. eCollection 2014.
2
Primary tumor location and bevacizumab effectiveness in patients with metastatic colorectal cancer.转移性结直肠癌患者的原发肿瘤部位与贝伐珠单抗疗效。
Ann Oncol. 2013 Oct;24(10):2554-2559. doi: 10.1093/annonc/mdt253. Epub 2013 Jul 17.
3
Bevacizumab with 5-fluorouracil, leucovorin, and oxaliplatin versus bevacizumab with capecitabine and oxaliplatin for metastatic colorectal carcinoma: results of a large registry-based cohort analysis.贝伐单抗联合5-氟尿嘧啶、亚叶酸钙和奥沙利铂与贝伐单抗联合卡培他滨和奥沙利铂治疗转移性结直肠癌:一项基于大型注册队列分析的结果
BMC Cancer. 2014 May 7;14:323. doi: 10.1186/1471-2407-14-323.
4
Capecitabine/irinotecan or capecitabine/oxaliplatin in combination with bevacizumab is effective and safe as first-line therapy for metastatic colorectal cancer: a randomized phase II study of the AIO colorectal study group.卡培他滨/伊立替康或卡培他滨/奥沙利铂联合贝伐珠单抗作为转移性结直肠癌一线治疗有效且安全:AIO 结直肠研究组的一项随机 II 期研究。
Ann Oncol. 2013 Jun;24(6):1580-7. doi: 10.1093/annonc/mdt028. Epub 2013 Mar 4.
5
Capecitabine in combination with oxaliplatin and bevacizumab (AXELOX) as 1st line treatment for fit and vulnerable elderly patients (aged >70 years) with metastatic colorectal cancer (mCRC): a multicenter phase II study of the Hellenic Oncology Research Group (HORG).卡培他滨联合奥沙利铂和贝伐单抗(AXELOX)作为适合且脆弱的老年患者(年龄>70岁)转移性结直肠癌(mCRC)的一线治疗方案:希腊肿瘤研究组(HORG)的一项多中心II期研究。
BMC Cancer. 2014 Apr 22;14:277. doi: 10.1186/1471-2407-14-277.
6
Safety and efficacy of oxaliplatin and fluoropyrimidine regimens with or without bevacizumab as first-line treatment of metastatic colorectal cancer: results of the TREE Study.奥沙利铂与氟嘧啶方案联合或不联合贝伐单抗作为转移性结直肠癌一线治疗的安全性和有效性:TREE研究结果
J Clin Oncol. 2008 Jul 20;26(21):3523-9. doi: 10.1200/JCO.2007.15.4138.
7
[Retrospective analysis of the bevacizumab and CapeOX combination in untreated metastatic/recurrent colorectal cancer].[贝伐单抗与 CapeOX 联合方案用于未经治疗的转移性/复发性结直肠癌的回顾性分析]
Gan To Kagaku Ryoho. 2014 Jun;41(6):737-41.
8
Cetuximab-based or bevacizumab-based first-line treatment in patients with KRAS p.G13D-mutated metastatic colorectal cancer: a pooled analysis.KRAS p.G13D 突变型转移性结直肠癌患者一线基于西妥昔单抗或贝伐珠单抗的治疗:一项汇总分析。
Anticancer Drugs. 2012 Jul;23(6):666-73. doi: 10.1097/CAD.0b013e328352ff1d.
9
First-line XELOX plus bevacizumab followed by XELOX plus bevacizumab or single-agent bevacizumab as maintenance therapy in patients with metastatic colorectal cancer: the phase III MACRO TTD study.XELOX 联合贝伐珠单抗一线治疗后,XELOX 联合贝伐珠单抗或贝伐珠单抗单药维持治疗转移性结直肠癌患者:III 期 MACRO TTD 研究。
Oncologist. 2012;17(1):15-25. doi: 10.1634/theoncologist.2011-0249. Epub 2012 Jan 10.
10
Bevacizumab efficacy in metastatic colorectal cancer is dependent on primary tumor resection.贝伐单抗在转移性结直肠癌中的疗效取决于原发肿瘤切除。
Ann Surg Oncol. 2014 May;21(5):1632-40. doi: 10.1245/s10434-013-3463-y. Epub 2014 Jan 14.

引用本文的文献

1
Understanding microRNA-Mediated Chemoresistance in Colorectal Cancer Treatment.了解微小RNA介导的结直肠癌治疗中的化疗耐药性。
Int J Mol Sci. 2025 Jan 29;26(3):1168. doi: 10.3390/ijms26031168.
2
MEF2A is a transcription factor for circPVT1 and contributes to the malignancy of acute myeloid leukemia.MEF2A 是 circPVT1 的转录因子,有助于急性髓系白血病的恶性转化。
Int J Oncol. 2024 Nov;65(5). doi: 10.3892/ijo.2024.5699. Epub 2024 Sep 27.
3
A Systematic Review of Clinical Validated and Potential miRNA Markers Related to the Efficacy of Fluoropyrimidine Drugs.

本文引用的文献

1
Clinical relevance of circulating cell-free microRNAs in cancer.循环细胞游离 microRNAs 在癌症中的临床相关性。
Nat Rev Clin Oncol. 2014 Mar;11(3):145-56. doi: 10.1038/nrclinonc.2014.5. Epub 2014 Feb 4.
2
Association of microRNA-31 with BRAF mutation, colorectal cancer survival and serrated pathway.miRNA-31 与 BRAF 突变、结直肠癌生存和锯齿状途径的关联
Carcinogenesis. 2014 Apr;35(4):776-83. doi: 10.1093/carcin/bgt374. Epub 2013 Nov 15.
3
Efficacy and safety of bevacizumab in metastatic colorectal cancer: pooled analysis from seven randomized controlled trials.
基于氟嘧啶类药物疗效的临床验证和潜在 miRNA 标志物的系统评价。
Dis Markers. 2022 Aug 23;2022:1360954. doi: 10.1155/2022/1360954. eCollection 2022.
4
Is there an efficacy-effectiveness gap between randomized controlled trials and real-world studies in colorectal cancer: a systematic review and meta-analysis.在结直肠癌中,随机对照试验与真实世界研究之间是否存在疗效-效果差距:一项系统评价和荟萃分析。
Transl Cancer Res. 2020 Nov;9(11):6963-6987. doi: 10.21037/tcr-20-2303.
5
The Clinical Assessment of MicroRNA Diagnostic, Prognostic, and Theranostic Value in Colorectal Cancer.微小RNA在结直肠癌中的诊断、预后及诊疗价值的临床评估
Cancers (Basel). 2021 Jun 11;13(12):2916. doi: 10.3390/cancers13122916.
6
MicroRNAs as Predictive Biomarkers of Resistance to Targeted Therapies in Gastrointestinal Tumors.微小RNA作为胃肠道肿瘤靶向治疗耐药性的预测生物标志物
Biomedicines. 2021 Mar 21;9(3):318. doi: 10.3390/biomedicines9030318.
7
Bidirectional and Opposite Effects of Naïve Mesenchymal Stem Cells on Tumor Growth and Progression.幼稚间充质干细胞对肿瘤生长和进展的双向相反作用
Adv Pharm Bull. 2019 Oct;9(4):539-558. doi: 10.15171/apb.2019.063. Epub 2019 Oct 24.
8
The Evolving Biomarker Landscape for Treatment Selection in Metastatic Colorectal Cancer.转移性结直肠癌治疗选择的不断变化的生物标志物全景。
Drugs. 2019 Sep;79(13):1375-1394. doi: 10.1007/s40265-019-01165-2.
9
Interactions between anticancer active platinum complexes and non-coding RNAs/microRNAs.抗癌活性铂配合物与非编码RNA/微小RNA之间的相互作用。
Noncoding RNA Res. 2016 Oct 13;2(1):1-17. doi: 10.1016/j.ncrna.2016.10.001. eCollection 2017 Mar.
10
Combination of a six microRNA expression profile with four clinicopathological factors for response prediction of systemic treatment in patients with advanced colorectal cancer.六种 microRNA 表达谱联合四项临床病理因素预测晚期结直肠癌患者全身治疗的疗效。
PLoS One. 2018 Aug 3;13(8):e0201809. doi: 10.1371/journal.pone.0201809. eCollection 2018.
贝伐单抗治疗转移性结直肠癌的疗效与安全性:来自七项随机对照试验的汇总分析
Oncologist. 2013;18(9):1004-12. doi: 10.1634/theoncologist.2013-0107. Epub 2013 Jul 23.
4
Primary tumor location and bevacizumab effectiveness in patients with metastatic colorectal cancer.转移性结直肠癌患者的原发肿瘤部位与贝伐珠单抗疗效。
Ann Oncol. 2013 Oct;24(10):2554-2559. doi: 10.1093/annonc/mdt253. Epub 2013 Jul 17.
5
Deep Sequencing the MicroRNA Transcriptome in Colorectal Cancer.深度测序结直肠癌中的微小RNA转录组
PLoS One. 2013 Jun 18;8(6):e66165. doi: 10.1371/journal.pone.0066165. Print 2013.
6
DIANA-microT web server v5.0: service integration into miRNA functional analysis workflows.DIANA-microT 网络服务器 v5.0:服务集成到 miRNA 功能分析工作流程中。
Nucleic Acids Res. 2013 Jul;41(Web Server issue):W169-73. doi: 10.1093/nar/gkt393. Epub 2013 May 16.
7
The Diagnostic and Prognostic Role of microRNA in Colorectal Cancer - a Comprehensive review.microRNA 在结直肠癌中的诊断和预后作用——全面综述。
J Cancer. 2013;4(3):281-95. doi: 10.7150/jca.5836. Epub 2013 Mar 20.
8
Markers of response for the antiangiogenic agent bevacizumab.抗血管生成药物贝伐珠单抗的反应标志物。
J Clin Oncol. 2013 Mar 20;31(9):1219-30. doi: 10.1200/JCO.2012.46.2762. Epub 2013 Feb 11.
9
MDGAs interact selectively with neuroligin-2 but not other neuroligins to regulate inhibitory synapse development.MDGAs 选择性地与神经黏附素-2 相互作用,而不是与其他神经黏附素相互作用,从而调节抑制性突触的发育。
Proc Natl Acad Sci U S A. 2013 Jan 2;110(1):336-41. doi: 10.1073/pnas.1219987110. Epub 2012 Dec 17.
10
Continuation of bevacizumab after first progression in metastatic colorectal cancer (ML18147): a randomised phase 3 trial.贝伐珠单抗治疗转移性结直肠癌(ML18147)一线进展后的延续治疗:一项随机 3 期临床试验
Lancet Oncol. 2013 Jan;14(1):29-37. doi: 10.1016/S1470-2045(12)70477-1. Epub 2012 Nov 16.