Suppr超能文献

在接受阿仑单抗治疗的视神经脊髓炎患者的尸检中,中枢神经系统有大量单核细胞浸润。

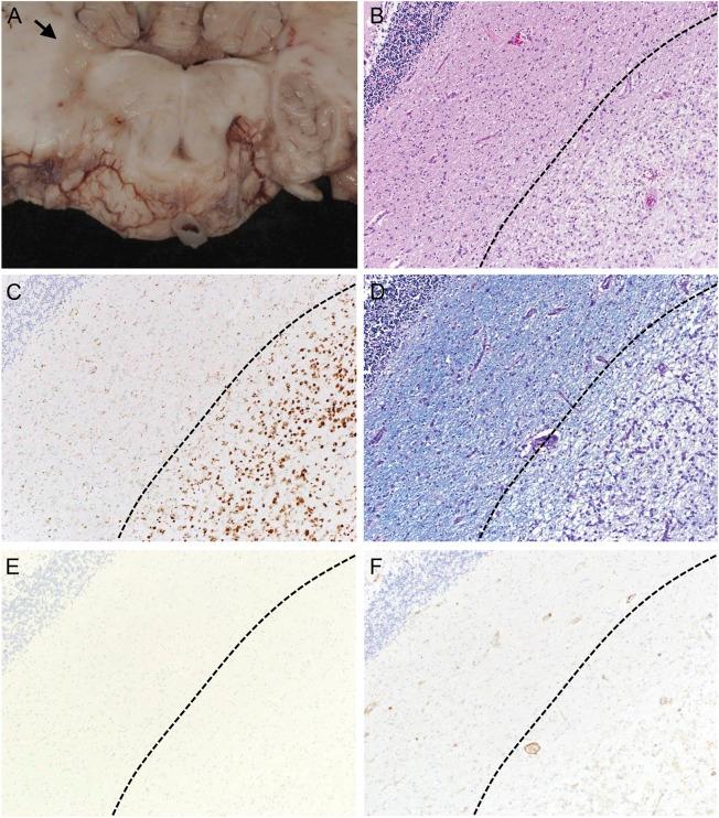
Massive CNS monocytic infiltration at autopsy in an alemtuzumab-treated patient with NMO.

机构信息

MS Center, Department of Neurology (J.M.G., B.A.C.C.) and Department of Pathology (J.C., E.J.H.), University of California, San Francisco; and Kaiser Permanente Neurology (J.K.), Walnut Creek, CA.

出版信息

Neurol Neuroimmunol Neuroinflamm. 2014 Oct 9;1(3):e34. doi: 10.1212/NXI.0000000000000034. eCollection 2014 Oct.

Abstract

OBJECTIVES

To describe the clinical course and neuropathology at autopsy of a patient with neuromyelitis optica (NMO) treated with alemtuzumab.

METHODS

Case report.

RESULTS

A 61-year-old woman with aquaporin-4 immunoglobulin G antibody seropositive NMO had 10 clinical relapses in 4 years despite treatment with multiple immunosuppressive therapies. Alemtuzumab was administered and was redosed 15 months later. For the first 19 months after the initial alemtuzumab infusion, the patient did not experience discrete clinical relapses or have evidence of abnormally enhancing lesions on brain or spinal cord MRI. However, she experienced insidiously progressive nausea, vomiting, and vision loss, and her brain MRI revealed marked extension of cortical, subcortical, and brainstem T2/fluid-attenuated inversion recovery (FLAIR) hyperintensities. She died 20 months after the initial alemtuzumab infusion. Acute, subacute, and chronic demyelinating lesions were found at autopsy. Many of the lesions showed marked macrophage infiltration with a paucity of lymphocytes.

CONCLUSIONS

Following alemtuzumab treatment, there appeared to be ongoing innate immune activation associated with tissue destruction that correlated with nonenhancing T2/FLAIR hyperintensities on MRI. We interpret the cessation of clinical relapses, absence of contrast-enhancing lesions, and scarcity of lymphocytes at autopsy to be indicative of suppression of adaptive immunity by alemtuzumab. This case illustrates that progressive worsening in NMO can occur as a consequence of tissue injury associated with monocytic infiltration. This observation may be relevant to multiple sclerosis (MS) as well as NMO and might explain why in previous studies of secondary progressive MS alemtuzumab did not seem to inhibit disability progression despite a dramatic decline in contrast-enhancing lesions.

摘要

目的

描述 1 例接受阿仑单抗治疗的视神经脊髓炎(NMO)患者的临床病程和尸检神经病理学表现。

方法

病例报告。

结果

1 例抗水通道蛋白 4 免疫球蛋白 G 抗体阳性的 NMO 患者,61 岁,女性,尽管接受了多种免疫抑制治疗,但在 4 年内仍有 10 次临床复发。给予阿仑单抗治疗,15 个月后再次给药。在初次阿仑单抗输注后的 19 个月内,患者未出现离散的临床复发,也未发现脑或脊髓 MRI 上有异常增强病变的证据。然而,她出现了逐渐进展的恶心、呕吐和视力丧失,其脑 MRI 显示皮质、皮质下和脑干 T2/液体衰减反转恢复(FLAIR)高信号明显扩展。初次阿仑单抗输注后 20 个月,患者死亡。尸检发现急性、亚急性和慢性脱髓鞘病变。许多病变表现为明显的巨噬细胞浸润,淋巴细胞稀少。

结论

在阿仑单抗治疗后,似乎存在与组织破坏相关的持续固有免疫激活,这与 MRI 上的非增强 T2/FLAIR 高信号相关。我们将临床复发停止、无增强病变和尸检中淋巴细胞稀少解释为阿仑单抗对适应性免疫的抑制。本病例表明,NMO 的进行性恶化可能是由于与单核细胞浸润相关的组织损伤引起的。这一观察结果可能与多发性硬化(MS)以及 NMO 有关,也可能解释为什么在之前的继发性进展性 MS 研究中,尽管对比增强病变明显减少,但阿仑单抗似乎并未抑制残疾进展。

https://cdn.ncbi.nlm.nih.gov/pmc/blobs/7640/4204228/42b7f639e612/NEURIMMINFL2014001537FF1.jpg

文献AI研究员

20分钟写一篇综述,助力文献阅读效率提升50倍。

立即体验

用中文搜PubMed

大模型驱动的PubMed中文搜索引擎

马上搜索

文档翻译

学术文献翻译模型,支持多种主流文档格式。

立即体验