Suppr超能文献

通过显微切割、染色体涂染和反向杂交揭示的白线雨蛙(Hypsiboas albopunctatus,斯皮克斯,1824年)(无尾目,雨蛙科)B染色体可能的种间起源

Possible interspecific origin of the B chromosome of Hypsiboas albopunctatus (Spix, 1824) (Anura, Hylidae), revealed by microdissection, chromosome painting, and reverse hybridisation.

作者信息

Gruber Simone Lilian, Diniz Débora, Sobrinho-Scudeler Patrícia Elda, Haddad Célio Fernando Baptista, Kasahara Sanae

机构信息

UNESP, Universidade Estadual Paulista, Instituto de Biociências, Departamento de Biologia, Av. 24A 1515, 13506-900, Rio Claro, SP, Brazil.

UESB, Universidade Estadual do Sudoeste da Bahia, Departamento de Ciências Biológicas, Rua José Moreira Sobrinho s/n, Jequiezinho, 45206-190, Jequié, BA, Brazil.

出版信息

Comp Cytogenet. 2014 Aug 8;8(3):185-97. doi: 10.3897/CompCytogen.v8i3.7771. eCollection 2014.

Abstract

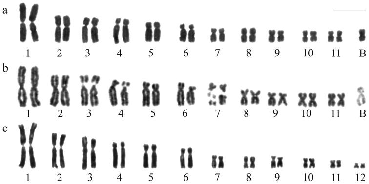
The B chromosome in the hylid Hypsiboas albopunctatus (2n = 22 + B) is small, almost entirely composed of C-positive heterochromatin, and does not pair with any chromosome of the A complement. B probe, obtained by microdissection and DOP-PCR amplification, was used to search for homology between the B and regular chromosomes of H. albopunctatus and of the related species H. raniceps (Cope, 1862). Reverse hybridisation was also carried out in the investigation. The B probe exclusively painted the supernumerary, not hybridising any other chromosomes in H. albopunctatus, but all H. raniceps chromosomes showed small labelling signals. This result might be an indication that differences exist between the repetitive sequences of A and B chromosomes of H. albopunctatus, and that the chromosomes of H. raniceps and the heterochromatin of the B chromosome of H. albopunctatus are enriched with the same type of repetitive DNA. In meiotic preparations, the B labelled about 30% of scored spermatids, revealing a non-mendelian inheritance, and the painted B in micronucleus suggests that the supernumerary is eliminated from germ line cells. Although our results could suggest an interespecific origin of the B at first sight, further analysis on its repetitive sequences is still necessary. Nevertheless, the accumulation of repetitive sequences, detected in another species, even though closely related, remains an intriguing question.

摘要

雨蛙科的白点雨蛙(2n = 22 + B)中的B染色体很小,几乎完全由C阳性异染色质组成,并且不与A染色体组中的任何染色体配对。通过显微切割和DOP-PCR扩增获得的B探针,用于寻找白点雨蛙及其近缘物种黑头雨蛙(Cope,1862年)的B染色体与常染色体之间的同源性。在研究中还进行了反向杂交。B探针仅标记了白点雨蛙中的额外染色体,不与任何其他染色体杂交,但黑头雨蛙的所有染色体都显示出小的标记信号。这一结果可能表明,白点雨蛙的A染色体和B染色体的重复序列存在差异,并且黑头雨蛙的染色体和白点雨蛙B染色体的异染色质富含相同类型的重复DNA。在减数分裂制片中,B标记了约30%的计分精子细胞,揭示了一种非孟德尔遗传,并且微核中被标记的B表明额外染色体从生殖系细胞中被消除。尽管我们的结果乍一看可能表明B染色体具有种间起源,但仍有必要对其重复序列进行进一步分析。然而,在另一个即使关系密切的物种中检测到的重复序列的积累,仍然是一个有趣的问题。

https://cdn.ncbi.nlm.nih.gov/pmc/blobs/4021/4205488/5a515a7a7878/CompCytogen-008-185-g001.jpg

文献AI研究员

20分钟写一篇综述,助力文献阅读效率提升50倍。

立即体验

用中文搜PubMed

大模型驱动的PubMed中文搜索引擎

马上搜索

文档翻译

学术文献翻译模型,支持多种主流文档格式。

立即体验