Suppr超能文献

肱骨解剖颈医源性移位的成功闭合复位:一例报告

Successful closed reduction for iatrogenic displacement of the anatomical neck of the humerus: a case report.

作者信息

Koda Masao, Hisamitsu Junshiro, Nakayama Shiro, Nishikawa Satoru, Furuya Takeo, Yamazaki Masashi, Ogino Shuhei

机构信息

Department of Orthopaedic Surgery, Prefectural Togane Hospital, 1229 Daikata, Togane, Chiba 2830811, Japan.

出版信息

BMC Res Notes. 2014 Nov 3;7:770. doi: 10.1186/1756-0500-7-770.

Abstract

BACKGROUND

We report a rare case in which closed reduction was successfully obtained for iatrogenically displaced fracture-dislocation of the humeral anatomical neck with a favorable clinical outcome.

CASE PRESENTATION

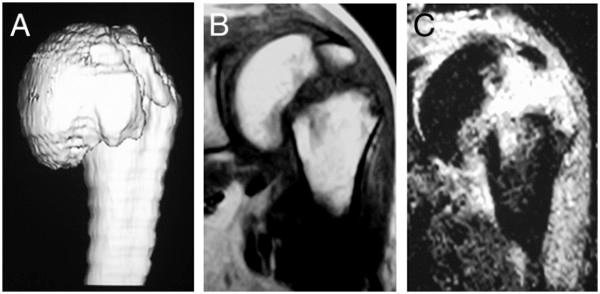
A 53-year old postman suffered from shoulder dislocation with an undisplaced fracture of the humeral anatomical neck which was initially undiagnosed. After the first attempt to reduce the dislocation of the shoulder joint by Stimson's method, complete displacement of the fractured humeral anatomical neck occurred. By closed reduction under general anesthesia, the displaced humeral head was successfully reduced and was subsequently treated by conservative therapy using sling immobilization. Follow-up by MRI two years later showed no evidence of avascular necrosis of the humeral head. The patient showed a satisfactory range of motion of the affected shoulder joint.In the present case, the blood supply was partially preserved because a part of the lesser tubercle remained attached to the displaced humeral head.

CONCLUSION

Based on this experience, we concluded that closed reduction might be attempted before deciding to perform an open reduction and internal fixation for displaced fracture-dislocation of the humeral anatomical neck.

摘要

背景

我们报告了一例罕见病例,其中通过闭合复位成功治疗了医源性肱骨解剖颈骨折脱位,临床结果良好。

病例介绍

一名53岁的邮递员,患有肩关节脱位,伴有肱骨解剖颈无移位骨折,最初未被诊断出来。在首次尝试通过斯廷森法复位肩关节脱位后,肱骨解剖颈骨折出现了完全移位。通过全身麻醉下的闭合复位,成功复位了移位的肱骨头,随后采用吊带固定进行保守治疗。两年后的MRI随访显示,没有肱骨头缺血性坏死的迹象。患者患侧肩关节的活动范围令人满意。在本病例中,由于部分小结节仍附着于移位的肱骨头,血供得以部分保留。

结论

基于这一经验,我们得出结论,在决定对肱骨解剖颈移位骨折脱位进行切开复位内固定之前,可以尝试闭合复位。

https://cdn.ncbi.nlm.nih.gov/pmc/blobs/a786/4236416/c64be0b1373e/13104_2013_3312_Fig1_HTML.jpg

文献AI研究员

20分钟写一篇综述,助力文献阅读效率提升50倍。

立即体验

用中文搜PubMed

大模型驱动的PubMed中文搜索引擎

马上搜索

文档翻译

学术文献翻译模型,支持多种主流文档格式。

立即体验