Premkumar Madhumita, Bagchi Avishek, Kapoor Neha, Gupta Ankit, Maurya Gaurav, Vatsya Shubham, Kapahtia Siddharth, Kar Premashish
Department of Medicine, B. L. Taneja Block, Maulana Azad Medical College and Associated Hospitals, Bahadur Shah Zafar Marg, New Delhi 110002, India.
Case Reports Hepatol. 2012;2012:735906. doi: 10.1155/2012/735906. Epub 2012 Dec 18.
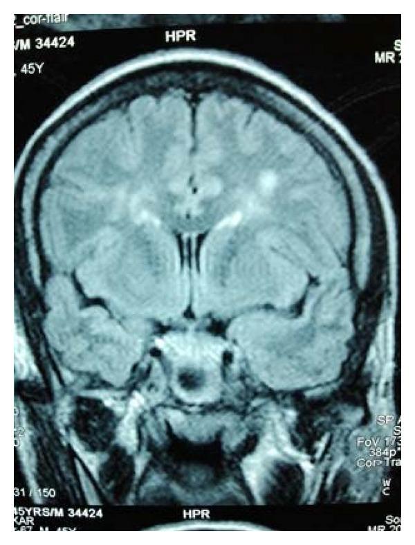
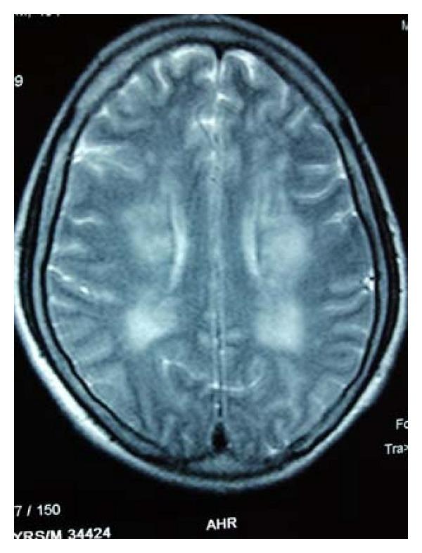
Cirrhotic or hepatic myelopathy is a rare neurological complication of chronic liver disease usually seen in adults and presents as a progressive pure motor spastic paraparesis which is usually associated with overt liver failure and a surgical or spontaneous systemic portocaval shunt. We describe the development of progressive spastic paraparesis, in a patient with alcoholic cirrhosis with portal hypertension and portal colopathy who presented with the first episode of hepatic encephalopathy. The patient had not undergone any shunt procedure.
肝硬化性或肝性脊髓病是一种慢性肝病罕见的神经并发症,多见于成年人,表现为进行性纯运动性痉挛性截瘫,通常与明显的肝功能衰竭以及外科手术或自发性体循环-门静脉分流有关。我们描述了一名患有酒精性肝硬化、门静脉高压和门静脉病的患者发生进行性痉挛性截瘫的情况,该患者首次出现肝性脑病,且未接受任何分流手术。