Suppr超能文献

膀胱神经鞘瘤:一例报告

Schwannoma of the urinary bladder: a case report.

作者信息

Mazdar Adil, Asseban Mohammed, Aboussalah Hani, Motia Hamad, Elsayegh Hachem, Iken Ail, Benslimane Lounis, Nouini Yassine

机构信息

Department of Urology A, University Hospital IBN SINA, Rabat, Morocco.

出版信息

Pan Afr Med J. 2014 May 26;18:84. doi: 10.11604/pamj.2014.18.84.4586. eCollection 2014.

Abstract

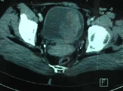
Bladder schwannomas are exceedingly rare, benign or malignant, nerve sheath tumors that are most often discovered in patients with a known diagnosis of Neurofibromatosis type 1 (NF1). A few sporadic case reports of bladder schwannoma have been published in urologic, obstetric/gynecologic, and pathologic journals. We report a case of an isolated schwannoma of the urinary bladder. To our knowledge, this represents only the sixth case of benign schwannoma of the urinary bladder in a patient without von Recklinghausen disease.

摘要

膀胱神经鞘瘤极为罕见,是一种良性或恶性的神经鞘肿瘤,最常出现在已确诊为1型神经纤维瘤病(NF1)的患者中。泌尿外科、妇产科和病理学杂志上已发表了几例膀胱神经鞘瘤的散发病例报告。我们报告一例孤立性膀胱神经鞘瘤病例。据我们所知,这是仅有的第六例在无冯雷克林霍增氏病患者中发生的膀胱良性神经鞘瘤病例。

https://cdn.ncbi.nlm.nih.gov/pmc/blobs/5083/4231244/2dab626b52bd/PAMJ-18-84-g001.jpg

文献AI研究员

20分钟写一篇综述,助力文献阅读效率提升50倍。

立即体验

用中文搜PubMed

大模型驱动的PubMed中文搜索引擎

马上搜索

文档翻译

学术文献翻译模型,支持多种主流文档格式。

立即体验