• 文献检索
  • 文档翻译
  • 深度研究
  • 学术资讯
  • Suppr Zotero 插件Zotero 插件
  • 邀请有礼
  • 套餐&价格
  • 历史记录
应用&插件
Suppr Zotero 插件Zotero 插件浏览器插件Mac 客户端Windows 客户端微信小程序
定价
高级版会员购买积分包购买API积分包
服务
文献检索文档翻译深度研究API 文档MCP 服务
关于我们
关于 Suppr公司介绍联系我们用户协议隐私条款
关注我们

Suppr 超能文献

核心技术专利:CN118964589B侵权必究
粤ICP备2023148730 号-1Suppr @ 2026

文献检索

告别复杂PubMed语法,用中文像聊天一样搜索,搜遍4000万医学文献。AI智能推荐,让科研检索更轻松。

立即免费搜索

文件翻译

保留排版,准确专业,支持PDF/Word/PPT等文件格式,支持 12+语言互译。

免费翻译文档

深度研究

AI帮你快速写综述,25分钟生成高质量综述,智能提取关键信息,辅助科研写作。

立即免费体验

具有肠型表型且携带TP53 R175H突变的胃浸润性微乳头癌

Gastric Invasive Micropapillary Carcinoma with Intestinal Phenotypes Harboring a TP53 R175H Mutation.

作者信息

Ikeda Hideyuki, Kukitsu Takehiro, Johmen Wataru, Nakamura Hajime, Yamauchi Natumi, Ishikawa Kazuma, Saikawa Takashi, Noda Sayaka, Saitoh Tadanori, Ueno Yoshinori, Noda Yuuya, Yamazaki Sayuki, Kuroda Yoshikazu, Koshiko Susumu, Sasagawa Yutaka

机构信息

Divisions of Surgical Pathology, Rumoi City Hospital, Rumoi, Japan.

Divisions of Internal Medicine, Rumoi City Hospital, Rumoi, Japan.

出版信息

Case Rep Oncol. 2014 Sep 3;7(3):611-20. doi: 10.1159/000367583. eCollection 2014 Sep.

DOI:10.1159/000367583
PMID:25408652
原文链接:https://pmc.ncbi.nlm.nih.gov/articles/PMC4209268/
Abstract

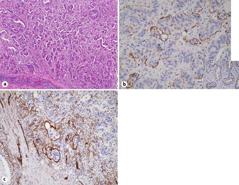
We report a case of gastric invasive micropapillary carcinoma (IMPC) in an 86-year-old female patient. She was admitted to our hospital with a chief complaint of bloody emesis. Upper gastrointestinal endoscopy found a gastric adenocarcinoma at the antrum. The biopsy specimens showed moderately differentiated adenocarcinoma with invasive small tumor nests. Distal gastrectomy with systematic lymph node dissection demonstrated that the tumor had IMPC through a pathological examination. Despite the depth of tumor invasion (the submucosa), extensive lymph node metastases were observed. Anti-D2-40 immunostaining revealed numerous infiltrating tumor cell nests in the lymphatic vessels, which could explain subsequent multiple lymph node metastases. The adenocarcinoma showed intestinal phenotypes by several immunohistochemical studies. One of these antibodies (CD10) clearly demonstrated the inverted apical-basal (inside-out) pattern of IMPC, whereas it showed an ordinary pattern in intestinal metaplasia adjacent to the tumor. Furthermore, genetic analysis by direct sequencing revealed a point mutation in the exon 5 of TP53 in the tumor. The mutation presumably harbors a missense mutation from Arg to His at the codon 175 (R175H). R175H has been previously described as a 'gain-of-function' mutation with a high invasive or metastatic potential in several types of cancers. In summary, this is one of the first reported cases of gastric IMPC with intestinal phenotypes harboring a TP53 R175H mutation in the literature.

摘要

我们报告一例86岁女性胃浸润性微乳头状癌(IMPC)患者。她因呕血为主诉入院。上消化道内镜检查发现胃窦部有胃腺癌。活检标本显示为中度分化腺癌,有浸润性小肿瘤巢。远端胃切除术加系统性淋巴结清扫术后病理检查显示肿瘤为IMPC。尽管肿瘤浸润深度为黏膜下层,但仍观察到广泛的淋巴结转移。抗D2-40免疫染色显示淋巴管内有大量浸润性肿瘤细胞巢,这可以解释随后的多处淋巴结转移。通过多项免疫组织化学研究,该腺癌显示出肠型表型。其中一种抗体(CD10)清楚地显示了IMPC的顶端-基底倒置(由内向外)模式,而在肿瘤邻近的肠化生中则显示出普通模式。此外,直接测序的基因分析显示肿瘤中TP53基因第5外显子存在一个点突变。该突变推测为密码子175处由精氨酸突变为组氨酸的错义突变(R175H)。R175H先前在几种癌症中被描述为具有高侵袭或转移潜能的“功能获得性”突变。总之,这是文献中首次报道的具有肠型表型且携带TP53 R175H突变的胃IMPC病例之一。

https://cdn.ncbi.nlm.nih.gov/pmc/blobs/79a2/4209268/1537f7c440e5/cro-0007-0611-g03.jpg
https://cdn.ncbi.nlm.nih.gov/pmc/blobs/79a2/4209268/d019a0dde622/cro-0007-0611-g01.jpg
https://cdn.ncbi.nlm.nih.gov/pmc/blobs/79a2/4209268/ad29700dae4f/cro-0007-0611-g02.jpg
https://cdn.ncbi.nlm.nih.gov/pmc/blobs/79a2/4209268/1537f7c440e5/cro-0007-0611-g03.jpg
https://cdn.ncbi.nlm.nih.gov/pmc/blobs/79a2/4209268/d019a0dde622/cro-0007-0611-g01.jpg
https://cdn.ncbi.nlm.nih.gov/pmc/blobs/79a2/4209268/ad29700dae4f/cro-0007-0611-g02.jpg
https://cdn.ncbi.nlm.nih.gov/pmc/blobs/79a2/4209268/1537f7c440e5/cro-0007-0611-g03.jpg

相似文献

1
Gastric Invasive Micropapillary Carcinoma with Intestinal Phenotypes Harboring a TP53 R175H Mutation.具有肠型表型且携带TP53 R175H突变的胃浸润性微乳头癌
Case Rep Oncol. 2014 Sep 3;7(3):611-20. doi: 10.1159/000367583. eCollection 2014 Sep.
2
Immunohistochemical analysis of invasive micropapillary carcinoma pattern in four cases of gastric cancer.4例胃癌侵袭性微乳头癌模式的免疫组织化学分析
Med Mol Morphol. 2013 Jun;46(2):114-21. doi: 10.1007/s00795-013-0037-9. Epub 2013 Mar 9.
3
Invasive Micropapillary Carcinoma of the Uterine Cervix.子宫颈浸润性微乳头癌
Case Rep Oncol. 2020 Dec 9;13(3):1446-1453. doi: 10.1159/000510744. eCollection 2020 Sep-Dec.
4
Five-year survival after surgery for invasive micropapillary carcinoma of the stomach.胃浸润性微乳头状癌手术后的五年生存率。
Case Rep Surg. 2013;2013:560712. doi: 10.1155/2013/560712. Epub 2013 Mar 27.
5
Rare histological subtype of invasive micropapillary carcinoma in the ampulla of Vater: A case report.壶腹侵袭性微乳头癌的罕见组织学亚型:一例报告
World J Clin Cases. 2021 Apr 16;9(11):2671-2678. doi: 10.12998/wjcc.v9.i11.2671.
6
Pure invasive micropapillary carcinoma of the esophagogastric junction with lymph nodes and liver metastasis.食管胃交界部单纯浸润性微乳头癌伴淋巴结及肝转移。
Pathol Int. 2016 Oct;66(10):583-586. doi: 10.1111/pin.12450. Epub 2016 Aug 24.
7
[A case of 8-cm metastatic lymph node rupture from early gastric cancer with low papillary structure].
Nihon Shokakibyo Gakkai Zasshi. 2018;115(2):195-202. doi: 10.11405/nisshoshi.115.195.
8
Phagocytosis (cannibalism) of apoptotic neutrophils by tumor cells in gastric micropapillary carcinomas.胃微乳头癌中肿瘤细胞对凋亡中性粒细胞的吞噬作用(同类相食)
World J Gastroenterol. 2015 May 14;21(18):5548-54. doi: 10.3748/wjg.v21.i18.5548.
9
Gastric carcinoma with invasive micropapillary pattern and its association with lymph node metastasis.胃浸润性微乳头状癌及其与淋巴结转移的关系。
Histopathology. 2011 Dec;59(6):1081-9. doi: 10.1111/j.1365-2559.2011.04055.x.
10
[Relationship between colorectal adenocarcinoma with invasive micropapillary carcinoma component and lymph node metastasis].[结直肠癌伴浸润性微乳头癌成分与淋巴结转移的关系]
Zhonghua Bing Li Xue Za Zhi. 2013 Aug;42(8):525-9.

引用本文的文献

1
Prognostic analysis of mutated genes and insight into effects of DNA damage and repair on mutational strand asymmetries in gastric cancer.胃癌中突变基因的预后分析及DNA损伤与修复对突变链不对称性影响的洞察
Biochem Biophys Rep. 2023 Dec 7;37:101597. doi: 10.1016/j.bbrep.2023.101597. eCollection 2024 Mar.
2
Genomic alterations of oligodendrogliomas at distant recurrence.远处复发性少突胶质细胞瘤的基因组改变。
Cancer Med. 2023 Aug;12(16):17171-17183. doi: 10.1002/cam4.6327. Epub 2023 Aug 2.
3
Progression inference for somatic mutations in cancer.

本文引用的文献

1
Invasive micropapillary carcinoma: a distinct type of adenocarcinomas in the gastrointestinal tract.浸润性微乳头状癌:胃肠道腺癌的一种独特类型。
World J Gastroenterol. 2014 Apr 28;20(16):4597-606. doi: 10.3748/wjg.v20.i16.4597.
2
A common p53 mutation (R175H) activates c-Met receptor tyrosine kinase to enhance tumor cell invasion.一种常见的p53突变(R175H)激活c-Met受体酪氨酸激酶以增强肿瘤细胞侵袭。
Cancer Biol Ther. 2013 Sep;14(9):853-9. doi: 10.4161/cbt.25406. Epub 2013 Jun 18.
3
Immunohistochemical analysis of invasive micropapillary carcinoma pattern in four cases of gastric cancer.
癌症体细胞突变的进展推断
Heliyon. 2017 Apr 11;3(4):e00277. doi: 10.1016/j.heliyon.2017.e00277. eCollection 2017 Apr.
4例胃癌侵袭性微乳头癌模式的免疫组织化学分析
Med Mol Morphol. 2013 Jun;46(2):114-21. doi: 10.1007/s00795-013-0037-9. Epub 2013 Mar 9.
4
Gastric carcinoma with invasive micropapillary pattern and its association with lymph node metastasis.胃浸润性微乳头状癌及其与淋巴结转移的关系。
Histopathology. 2011 Dec;59(6):1081-9. doi: 10.1111/j.1365-2559.2011.04055.x.
5
Clinicopathological features of stomach cancer with invasive micropapillary component.具有浸润性微乳头状成分的胃癌的临床病理特征。
Gastric Cancer. 2012 Apr;15(2):179-87. doi: 10.1007/s10120-011-0094-5. Epub 2011 Oct 12.
6
Clinicopathological and molecular characterization of colorectal micropapillary carcinoma.结直肠微乳头状癌的临床病理及分子特征。
Mod Pathol. 2011 May;24(5):729-38. doi: 10.1038/modpathol.2011.1. Epub 2011 Feb 18.
7
Gastric micropapillary carcinoma: A distinct subtype with a significantly worse prognosis in TNM stages I and II.胃微乳头状癌:在 TNM Ⅰ期和Ⅱ期中具有明显更差预后的独特亚型。
Am J Surg Pathol. 2011 Jan;35(1):84-91. doi: 10.1097/PAS.0b013e3181ff61e2.
8
Micropapillary carcinoma of stomach: a clinicopathologic and immunohistochemical study of 11 cases.胃微乳头状癌:11 例临床病理及免疫组化研究。
Am J Surg Pathol. 2010 Aug;34(8):1139-46. doi: 10.1097/PAS.0b013e3181e7043b.
9
Elevated expression of p53 gain-of-function mutation R175H in endometrial cancer cells can increase the invasive phenotypes by activation of the EGFR/PI3K/AKT pathway.子宫内膜癌细胞中 p53 功能获得性突变 R175H 的高表达可通过激活 EGFR/PI3K/AKT 通路增加侵袭表型。
Mol Cancer. 2009 Nov 16;8:103. doi: 10.1186/1476-4598-8-103.
10
DN-R175H p53 mutation is more effective than p53 interference in inducing epithelial disorganization and activation of proliferation signals in human carcinoma cells: role of E-cadherin.DN-R175H p53突变在诱导人癌细胞上皮组织紊乱和增殖信号激活方面比p53干扰更有效:E-钙黏蛋白的作用
Int J Cancer. 2009 Oct 1;125(7):1604-12. doi: 10.1002/ijc.24512.