Wei Ping, Lu Hai-Wen, Jiang Sen, Fan Li-Chao, Li Hui-Ping, Xu Jin-Fu
From the Department of Respiratory Medicine (PW, H-WL, L-CF, H-PL, J-FX); and Department of Radiology (SJ), Shanghai Pulmonary Hospital, Tongji University School of Medicine, Shanghai China.
Medicine (Baltimore). 2014 Nov;93(23):e141. doi: 10.1097/MD.0000000000000141.
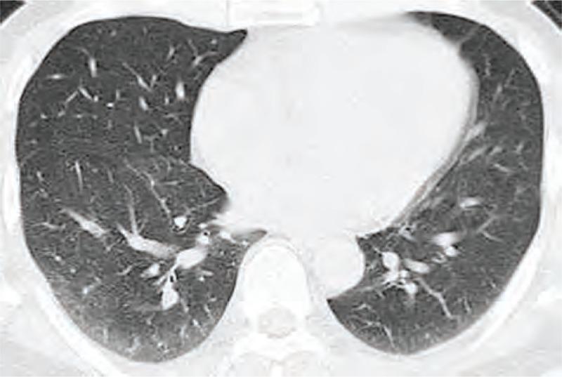
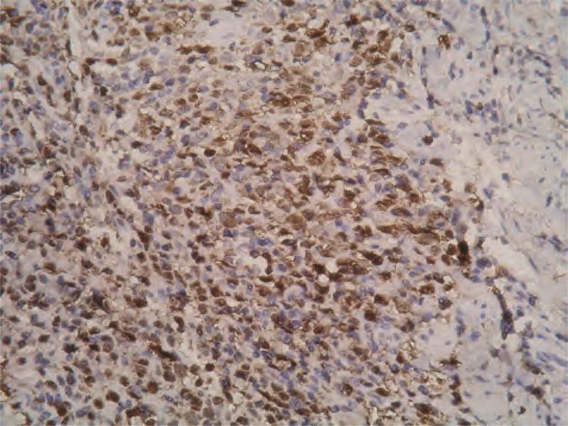
Pulmonary Langerhans cell histiocytosis (PLCH) is a rare disease with insidious onset and nonspecific manifestations. The objective of this article was to characterize the clinical manifestations and features of PLCH by retrospectively analyzing clinical data of patients with PLCH in addition to simultaneous review of literature.A retrospective analysis was conducted on clinical data of patients with PLCH (n = 7), whose conditions were diagnosed by biopsy from pulmonary tissue (n = 6) or enlarged lymph nodes in the neck (n = 1) and confirmed by PLCH typical radiological features on computed tomography (CT) scan, between January 2001 and September 2012 at the Shanghai Pulmonary Hospital, Tongji University School of Medicine, Shanghai, China. The review of published reports was made to further emphasize the clinical manifestation and radiological features of PLCH.Long history of cigarette smoking was found in 6 patients. Two patients had recurrent pneumothorax and the other 2 had pulmonary arterial hypertension (World Health Organization group 5 pulmonary hypertension), diagnosed through ultrasonic cardiogram. The nodular shadows were revealed by chest CT scan in 5 patients, cystic shadows in 5 patients, and reticular shadows in 2 patients, as major manifestations, respectively; most of the lesions were located in the middle or upper segments of the lung. The obvious shrank of lesion was found in 1 patient after completely quitting smoking.The pathogenesis of PLCH might be closely associated with smoking. The cystic or nodular lesion was the typical radiological features. Further prospective studies with large sample size are required to further validate the study results and understand the clinical characteristics of PLCH to avoid misdiagnosis.
肺朗格汉斯细胞组织细胞增多症(PLCH)是一种起病隐匿、表现非特异性的罕见疾病。本文旨在通过回顾性分析PLCH患者的临床资料并同时复习文献,来描述PLCH的临床表现和特征。对2001年1月至2012年9月期间在上海同济大学医学院附属上海市肺科医院确诊的7例PLCH患者的临床资料进行回顾性分析,其中6例经肺组织活检确诊,1例经颈部肿大淋巴结活检确诊,所有病例均经计算机断层扫描(CT)典型影像学特征证实。通过复习已发表的报告进一步强调PLCH的临床表现和影像学特征。6例患者有长期吸烟史。2例患者反复发生气胸,另外2例经超声心动图诊断为肺动脉高压(世界卫生组织第5组肺动脉高压)。胸部CT扫描显示5例患者主要表现为结节影,5例为囊性影,2例为网状影;大多数病变位于肺的中上部。1例患者完全戒烟后病变明显缩小。PLCH的发病机制可能与吸烟密切相关。囊性或结节性病变是典型的影像学特征。需要进一步开展大样本前瞻性研究以进一步验证研究结果并了解PLCH的临床特征,避免误诊。