Suppr超能文献

Notch3对p53的抑制作用由细胞周期蛋白G1介导,并在肝癌中由MDM2和miR-221轴维持。

Suppression of p53 by Notch3 is mediated by Cyclin G1 and sustained by MDM2 and miR-221 axis in hepatocellular carcinoma.

作者信息

Giovannini Catia, Minguzzi Manuela, Baglioni Michele, Fornari Francesca, Giannone Ferdinando, Ravaioli Matteo, Cescon Matteo, Chieco Pasquale, Bolondi Luigi, Gramantieri Laura

机构信息

Center for Applied Biomedical Research (CRBA), S.Orsola-Malpighi University Hospital, Bologna, Italy. Department of Medical and Surgical Sciences University of Bologna, Bologna, Italy.

Department of Medical and Surgical Sciences, General and Transplant Surgery Unit, University of Bologna, Bologna, Italy.

出版信息

Oncotarget. 2014 Nov 15;5(21):10607-20. doi: 10.18632/oncotarget.2523.

Abstract

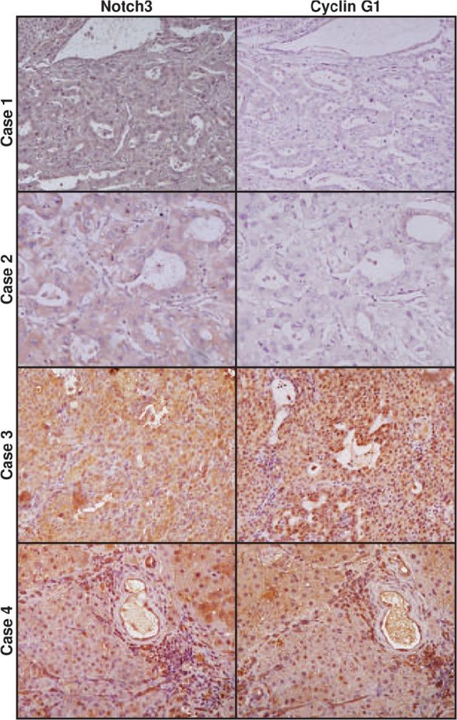
To successfully target Notch receptors as part of a multidrug anticancer strategy, it will be essential to fully characterize the factors that are modulated by Notch signaling. We recently reported that Notch3 silencing in HCC results in p53 up-regulation in vitro and, therefore, we focused on the mechanisms that associate Notch3 to p53 protein expression. We explored the regulation of p53 by Notch3 signalling in three HCC cell lines HepG2, SNU398 and Hep3B.We found that Notch3 regulates p53 at post-transcriptional level controlling both Cyclin G1 expression and the feed-forward circuit involving p53, miR-221 and MDM2. Moreover, our results were validated in human HCCs and in a rat model of HCC treated with Notch3 siRNAs. Our findings are becoming an exciting area for further in-depth research toward targeted inactivation of Notch3 receptor as a novel therapeutic approach for increasing the drug-sensitivity, and thereby improving the treatment outcome of patients affected by HCC. Indeed, we proved that Notch3 silencing strongly increases the effects of Nutilin-3.With regard to therapeutic implications, Notch3-specific drugs could represent a valuable strategy to limit Notch signaling in the context of hepatocellular carcinoma over-expressing this receptor.

摘要

作为多药抗癌策略的一部分,要成功地将Notch受体作为靶点,充分表征受Notch信号调控的因素至关重要。我们最近报道,肝癌细胞中Notch3沉默在体外会导致p53上调,因此,我们专注于研究将Notch3与p53蛋白表达联系起来的机制。我们在三种肝癌细胞系HepG2、SNU398和Hep3B中探索了Notch3信号对p53的调控。我们发现Notch3在转录后水平调控p53,控制细胞周期蛋白G1的表达以及涉及p53、miR-221和MDM2的前馈回路。此外,我们的结果在人肝癌组织以及用Notch3 siRNAs处理的肝癌大鼠模型中得到了验证。我们的发现正成为一个令人兴奋的领域,可进一步深入研究将Notch3受体靶向失活作为一种增加药物敏感性的新治疗方法,从而改善肝癌患者的治疗效果。事实上,我们证明了Notch3沉默能显著增强Nutilin-3的作用。关于治疗意义,Notch3特异性药物可能是一种有价值的策略,用于在过表达该受体的肝细胞癌背景下限制Notch信号。

https://cdn.ncbi.nlm.nih.gov/pmc/blobs/a40f/4279397/abac662c56dd/oncotarget-05-10607-g001.jpg

文献AI研究员

20分钟写一篇综述,助力文献阅读效率提升50倍。

立即体验

用中文搜PubMed

大模型驱动的PubMed中文搜索引擎

马上搜索

文档翻译

学术文献翻译模型,支持多种主流文档格式。

立即体验