Suppr超能文献

一名老年男性的大脑后动脉Percheron段闭塞:病例报告

Artery of percheron occlusion in an elderly male: a case report.

作者信息

Chang Yuh-Ming, Fan Yang-Kai

机构信息

Department of Neurology, Hsinchu Mackay Memorial Hospital, Hsinchu City, Taiwan.

Department of Radiology, Hsinchu Mackay Memorial Hospital, Hsinchu City, Taiwan.

出版信息

J Clin Med Res. 2015 Feb;7(2):126-8. doi: 10.14740/jocmr2009w. Epub 2014 Nov 19.

Abstract

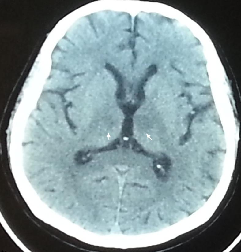
Acute bilateral paramedian thalamic and mesencephalic infarcts are uncommon. Occlusion of the artery of Percheron (AOP) is presumed to cause this specific stroke syndrome. However, occlusion of the AOP is rare and early diagnosis is challenging. Here we described a 70-year-old male patient who presented with acute disturbance of consciousness due to acute bilateral paramedian thalamo-mesencephalic infarction secondary to AOP occlusion. Anticoagulant therapy was administered, and his consciousness gradually improved.

摘要

急性双侧丘脑旁正中及中脑梗死并不常见。Percheron动脉(AOP)闭塞被认为会导致这种特定的中风综合征。然而,AOP闭塞很少见,早期诊断具有挑战性。在此,我们描述了一名70岁男性患者,因AOP闭塞继发急性双侧丘脑-中脑梗死而出现急性意识障碍。给予了抗凝治疗,其意识逐渐改善。

https://cdn.ncbi.nlm.nih.gov/pmc/blobs/c529/4245066/72e800cc8aa4/jocmr-07-126-g001.jpg

文献AI研究员

20分钟写一篇综述,助力文献阅读效率提升50倍。

立即体验

用中文搜PubMed

大模型驱动的PubMed中文搜索引擎

马上搜索

文档翻译

学术文献翻译模型,支持多种主流文档格式。

立即体验