MRC Laboratory of Molecular Biology, Francis Crick Avenue, Cambridge CB2 0QH, UK.
Cambridge Centre for Proteomics, Department of Biochemistry, University of Cambridge, Cambridge CB2 1QR, UK.
Dev Cell. 2014 Nov 10;31(3):358-373. doi: 10.1016/j.devcel.2014.10.007.
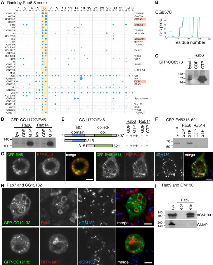
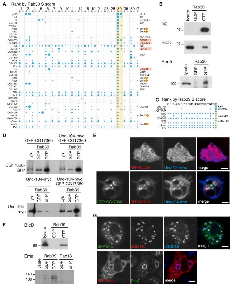
The Rab GTPases recruit peripheral membrane proteins to intracellular organelles. These Rab effectors typically mediate the motility of organelles and vesicles and contribute to the specificity of membrane traffic. However, for many Rabs, few, if any, effectors have been identified; hence, their role remains unclear. To identify Rab effectors, we used a comprehensive set of Drosophila Rabs for affinity chromatography followed by mass spectrometry to identify the proteins bound to each Rab. For many Rabs, this revealed specific interactions with Drosophila orthologs of known effectors. In addition, we found numerous Rab-specific interactions with known components of membrane traffic as well as with diverse proteins not previously linked to organelles or having no known function. We confirm over 25 interactions for Rab2, Rab4, Rab5, Rab6, Rab7, Rab9, Rab18, Rab19, Rab30, and Rab39. These include tethering complexes, coiled-coiled proteins, motor linkers, Rab regulators, and several proteins linked to human disease.
Rab GTPases 将外周膜蛋白募集到细胞内细胞器。这些 Rab 效应物通常介导细胞器和囊泡的运动,并有助于膜运输的特异性。然而,对于许多 Rab 来说,很少有(如果有的话)效应物被鉴定出来;因此,它们的作用仍然不清楚。为了鉴定 Rab 效应物,我们使用了一套全面的果蝇 Rab 进行亲和层析,然后进行质谱分析,以鉴定与每个 Rab 结合的蛋白质。对于许多 Rab 来说,这揭示了与已知效应物的果蝇同源物的特异性相互作用。此外,我们还发现了许多 Rab 特异性与已知的膜运输成分以及与先前未与细胞器连接或没有已知功能的多种蛋白质的相互作用。我们证实了 Rab2、Rab4、Rab5、Rab6、Rab7、Rab9、Rab18、Rab19、Rab30 和 Rab39 的超过 25 种相互作用。这些包括系绳复合物、卷曲螺旋蛋白、马达接头蛋白、Rab 调节剂以及与人类疾病相关的几种蛋白质。