Suppr超能文献

一名老年患者结肠腺癌三年后发生小肠腺癌:国立卫生与老龄化研究所(INRCA)的病例报告及文献综述

Small bowel adenocarcinoma (SBA) three years after colonic adenocarcinoma in an elderly patient: Case report in a National Institute of Health and Aging (INRCA) and review of the literature.

作者信息

Coco Danilo, Leanza Silvana, Boccoli Gianfranco

机构信息

Department of General Surgery and Surgical Pathology, I.N.R.C.A. (Italian National Institute for Research and Care of Aging), Via della Montagnola 81, 60127 Ancona, Italy.

Department of General Surgery and Surgical Pathology, I.N.R.C.A. (Italian National Institute for Research and Care of Aging), Via della Montagnola 81, 60127 Ancona, Italy.

出版信息

Int J Surg Case Rep. 2014;5(12):939-43. doi: 10.1016/j.ijscr.2014.07.011. Epub 2014 Oct 16.

Abstract

INTRODUCTION

Adenocarcinoma of the small intestine is a rare malignancy (the annual incidence in the USA is approximately 3.9 cases per million persons with median age between 60 and 70 years) with limited data available to guide therapeutic decisions. Nonspecific signs and symptoms associated with difficulty in performing small bowel examination is the cause of delayed diagnosis made between 6 and 9 months after appearance of symptoms with the majority of patients presenting with late stage disease and either lymph node involvement or distant metastatic disease.

PRESENTATION OF CASE

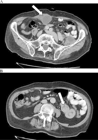
An 87-year-old man treated 3 years previously for colonic adenocarcinoma with left colectomy, was brought to our attention with a 4.5cm×3.5cm mass in the proximal jejunum associated with another abdominal wall enhancing mass of 5cm in diameter in the rectus muscle. Diagnosis on gross examination after surgical resection was adenocarcinoma stage III (T4N1M0) with involvement of lymph nodes.

DISCUSSION

According to an analysis of the Surveillance, Epidemiology and End Results (SEER) database, patients who develop either a small or large intestine adenocarcinoma are at increased risk for a second cancer at both intestinal sites. The role of adjuvant therapy in patients who undergo curative resection is unclear. Recent retrospective and prospective studies have helped to clarify the optimal chemotherapy approach for advanced small bowel adenocarcinoma.

CONCLUSION

With our work, we present our personal case of metachronous primary carcinoma of small bowel following resected colorectal carcinoma and review the literature.

摘要

引言

小肠腺癌是一种罕见的恶性肿瘤(美国年发病率约为每百万人3.9例,中位年龄在60至70岁之间),可用于指导治疗决策的数据有限。与小肠检查困难相关的非特异性体征和症状导致症状出现后6至9个月才做出延迟诊断,大多数患者就诊时已处于疾病晚期,伴有淋巴结受累或远处转移性疾病。

病例介绍

一名87岁男性,3年前因结肠腺癌接受左半结肠切除术,现因空肠近端有一个4.5cm×3.5cm的肿块以及腹直肌处另一个直径5cm的腹壁强化肿块而引起我们的注意。手术切除后大体检查诊断为III期腺癌(T4N1M0),伴有淋巴结受累。

讨论

根据监测、流行病学和最终结果(SEER)数据库的分析,发生小肠或大肠腺癌的患者发生第二次肠道癌症的风险增加。辅助治疗在接受根治性切除的患者中的作用尚不清楚。最近的回顾性和前瞻性研究有助于明确晚期小肠腺癌的最佳化疗方法。

结论

通过我们的工作,我们展示了我们个人关于结直肠癌切除术后异时性小肠原发性癌的病例,并对文献进行了回顾。

https://cdn.ncbi.nlm.nih.gov/pmc/blobs/d86a/4275831/0dc8cae83239/gr1.jpg

相似文献

2
Intussuscepted Metachronous small bowel tumor after treatment for colorectal adenocarcinoma.
Int J Surg Case Rep. 2019;60:94-97. doi: 10.1016/j.ijscr.2019.05.008. Epub 2019 May 10.
4
Small bowel adenocarcinoma of the jejunum: a case report and literature review.
World J Surg Oncol. 2016 Jul 4;14(1):177. doi: 10.1186/s12957-016-0932-3.
5
[Treatment and outcome in small bowel cancer].
Gan To Kagaku Ryoho. 2010 Aug;37(8):1454-7.
6
Small bowel adenocarcinoma a rare cause of upper gastrointestinal obstruction (a case report and literature review).
Int J Surg Case Rep. 2022 Feb;91:106763. doi: 10.1016/j.ijscr.2022.106763. Epub 2022 Jan 11.
7
Multimedia article. Laparoscopic ultralow anterior resection with colonic J-pouch-anal anastomosis.
Dis Colon Rectum. 2008 Nov;51(11):1710-1. doi: 10.1007/s10350-008-9322-4. Epub 2008 Aug 5.
8
Novel Prognostic Factors in Resected Small Bowel Adenocarcinoma.
Clin Colorectal Cancer. 2019 Sep;18(3):218-225. doi: 10.1016/j.clcc.2019.05.002. Epub 2019 May 15.
9
Evaluation of Prognostic Factors and Adjuvant Chemotherapy in Patients With Small Bowel Adenocarcinoma Who Underwent Curative Resection.
Clin Colorectal Cancer. 2017 Sep;16(3):220-227. doi: 10.1016/j.clcc.2016.08.002. Epub 2016 Aug 30.
10
Metachronous small bowel adenocarcinoma after rectal adenocarcinoma: A case report.
Medicine (Baltimore). 2021 Oct 8;100(40):e27448. doi: 10.1097/MD.0000000000027448.

引用本文的文献

2
Role of in the management of Lynch syndrome- A case report.
J Family Med Prim Care. 2020 May 31;9(5):2487-2491. doi: 10.4103/jfmpc.jfmpc_161_20. eCollection 2020 May.
4
Intussuscepted Metachronous small bowel tumor after treatment for colorectal adenocarcinoma.
Int J Surg Case Rep. 2019;60:94-97. doi: 10.1016/j.ijscr.2019.05.008. Epub 2019 May 10.
5
Small bowel adenocarcinoma in Lynch syndrome: A case report.
Oncol Lett. 2016 Aug;12(2):1602-1604. doi: 10.3892/ol.2016.4753. Epub 2016 Jun 17.

本文引用的文献

2
Epidemiology of cancer of the small intestine.
World J Gastrointest Oncol. 2011 Mar 15;3(3):33-42. doi: 10.4251/wjgo.v3.i3.33.
3
Management of adenocarcinoma of the small intestine.
Gastrointest Cancer Res. 2009 May;3(3):121-2.
5
Primary adenocarcinoma of the small intestine: presentation, prognostic factors and clinical outcome.
Jpn J Clin Oncol. 2009 Jan;39(1):54-61. doi: 10.1093/jjco/hyn122. Epub 2008 Nov 8.
8
Risk factors for adenocarcinoma of the small intestine.
Int J Cancer. 1999 Jul 19;82(2):171-4. doi: 10.1002/(sici)1097-0215(19990719)82:2<171::aid-ijc3>3.0.co;2-t.
9
Cancer statistics, 1999.
CA Cancer J Clin. 1999 Jan-Feb;49(1):8-31, 1. doi: 10.3322/canjclin.49.1.8.
10
The epidemiology of cancer of the small bowel.
Cancer Epidemiol Biomarkers Prev. 1998 Mar;7(3):243-51.

文献AI研究员

20分钟写一篇综述,助力文献阅读效率提升50倍。

立即体验

用中文搜PubMed

大模型驱动的PubMed中文搜索引擎

马上搜索

文档翻译

学术文献翻译模型,支持多种主流文档格式。

立即体验