• 文献检索
  • 文档翻译
  • 深度研究
  • 学术资讯
  • Suppr Zotero 插件Zotero 插件
  • 邀请有礼
  • 套餐&价格
  • 历史记录
应用&插件
Suppr Zotero 插件Zotero 插件浏览器插件Mac 客户端Windows 客户端微信小程序
定价
高级版会员购买积分包购买API积分包
服务
文献检索文档翻译深度研究API 文档MCP 服务
关于我们
关于 Suppr公司介绍联系我们用户协议隐私条款
关注我们

Suppr 超能文献

核心技术专利:CN118964589B侵权必究
粤ICP备2023148730 号-1Suppr @ 2026

文献检索

告别复杂PubMed语法,用中文像聊天一样搜索,搜遍4000万医学文献。AI智能推荐,让科研检索更轻松。

立即免费搜索

文件翻译

保留排版,准确专业,支持PDF/Word/PPT等文件格式,支持 12+语言互译。

免费翻译文档

深度研究

AI帮你快速写综述,25分钟生成高质量综述,智能提取关键信息,辅助科研写作。

立即免费体验

骨髓间充质干细胞在治疗 CCL4 诱导的白化病大鼠肝纤维化中的作用:组织学和免疫组织化学研究。

Role of Bone Marrow Mesenchymal Stem Cells in the Treatment of CCL4 Induced Liver Fibrosis in Albino Rats: A Histological and Immunohistochemical Study.

机构信息

Department of Histology, Faculty of Medicine, Ain Shams University, Cairo, Egypt.

出版信息

Int J Stem Cells. 2014 Nov;7(2):87-97. doi: 10.15283/ijsc.2014.7.2.87.

DOI:10.15283/ijsc.2014.7.2.87
PMID:25473446
原文链接:https://pmc.ncbi.nlm.nih.gov/articles/PMC4249908/
Abstract

BACKGROUND AND OBJECTIVES

Variety of pathological factors including viral hepatitis, alcohol and drug abuse, metabolic diseases, autoimmune diseases and congenital abnormalities can cause hepatic injury. Liver transplantation is the treatment of choice for end-stage liver diseases, however, it faces several difficulties. So the aim of the work is to evaluate the effect of bone marrow derived mesenchymal stem cells (BM-MSCs) on the liver structure in carbon tetra chloride CCL4 induced liver fibrosis in rats.

MATERIALS AND RESULTS

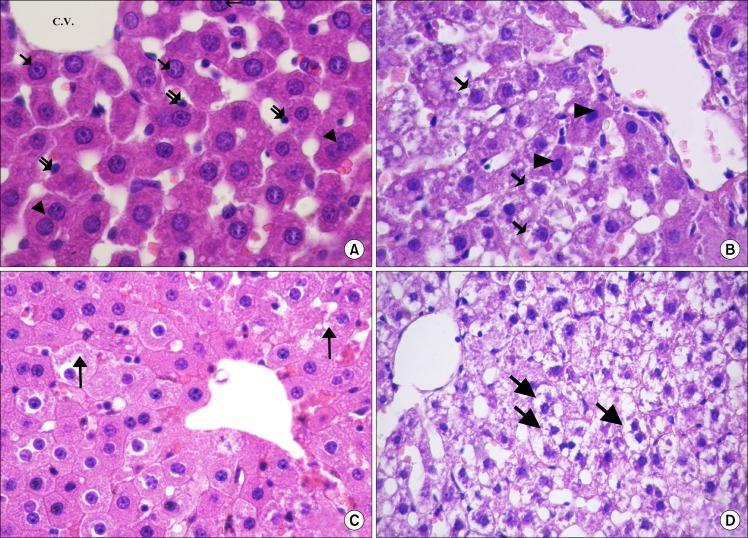
BM-MSCs were isolated and characterized from long bones of twenty male albino rats. Sixty female rats were divided into the following two groups: Group I; thirty rats which were the control group. Group II; thirty rats were injected intra-peritoneal (IP) by CCL4 twice weekly for four weeks and was further subdivided into the following three subgroups: Subgroup IIA (CCL4 alone); included ten rats which were sacrificed after this four weeks. Subgroup IIB (CCL4/MSCs); included ten rats which were IP injected by a single dose of BM-MSCs and were sacrificed after four weeks. Subgroup IIC (CCL4/recovery); included ten rats which were left for another four weeks without any intervention. Histological examination of liver specimens showed that CCl4 caused variable pathological changes with elevated liver enzymes. Injection of BM-MSCs revealed an improvement in the histological picture of the liver and its enzymatic profile. On the other hand, most of the pathological lesion were still detected in rats of recovery group.

CONCLUSIONS

BM-MSC could restore the liver structure and function in experimental model of liver fibrosis.

摘要

背景与目的

多种病理因素,包括病毒性肝炎、酒精和药物滥用、代谢性疾病、自身免疫性疾病和先天性异常,均可导致肝损伤。肝移植是治疗终末期肝病的首选方法,但面临许多困难。因此,本研究旨在评估骨髓间充质干细胞(BM-MSCs)对四氯化碳(CCL4)诱导的大鼠肝纤维化模型中肝脏结构的影响。

材料与结果

从 20 只雄性白化大鼠的长骨中分离和鉴定 BM-MSCs。将 60 只雌性大鼠分为以下两组:第 I 组,30 只大鼠为对照组。第 II 组,30 只大鼠每周两次腹腔内注射 CCL4 共 4 周,并进一步分为以下三个亚组:亚组 IIA(CCL4 单独),10 只大鼠在这 4 周后处死。亚组 IIB(CCL4/MSCs),10 只大鼠单次注射 BM-MSCs 后处死。亚组 IIC(CCL4/恢复),10 只大鼠在没有任何干预的情况下再观察 4 周。肝组织学检查显示,CCL4 导致肝脏酶升高的各种病理变化。BM-MSCs 注射显示肝脏组织学和酶谱均有改善。另一方面,在恢复组大鼠中仍检测到大多数病理病变。

结论

BM-MSC 可恢复肝纤维化模型中肝脏的结构和功能。

https://cdn.ncbi.nlm.nih.gov/pmc/blobs/8ec7/4249908/b987fc1331e7/ijsc_07_87f7.jpg
https://cdn.ncbi.nlm.nih.gov/pmc/blobs/8ec7/4249908/22549eebd934/ijsc_07_87f1.jpg
https://cdn.ncbi.nlm.nih.gov/pmc/blobs/8ec7/4249908/648259ab9515/ijsc_07_87f2.jpg
https://cdn.ncbi.nlm.nih.gov/pmc/blobs/8ec7/4249908/27c0c8592a56/ijsc_07_87f3.jpg
https://cdn.ncbi.nlm.nih.gov/pmc/blobs/8ec7/4249908/24ea8227262e/ijsc_07_87f4.jpg
https://cdn.ncbi.nlm.nih.gov/pmc/blobs/8ec7/4249908/84024314f1f8/ijsc_07_87f5.jpg
https://cdn.ncbi.nlm.nih.gov/pmc/blobs/8ec7/4249908/be30523dffaf/ijsc_07_87f6.jpg
https://cdn.ncbi.nlm.nih.gov/pmc/blobs/8ec7/4249908/b987fc1331e7/ijsc_07_87f7.jpg
https://cdn.ncbi.nlm.nih.gov/pmc/blobs/8ec7/4249908/22549eebd934/ijsc_07_87f1.jpg
https://cdn.ncbi.nlm.nih.gov/pmc/blobs/8ec7/4249908/648259ab9515/ijsc_07_87f2.jpg
https://cdn.ncbi.nlm.nih.gov/pmc/blobs/8ec7/4249908/27c0c8592a56/ijsc_07_87f3.jpg
https://cdn.ncbi.nlm.nih.gov/pmc/blobs/8ec7/4249908/24ea8227262e/ijsc_07_87f4.jpg
https://cdn.ncbi.nlm.nih.gov/pmc/blobs/8ec7/4249908/84024314f1f8/ijsc_07_87f5.jpg
https://cdn.ncbi.nlm.nih.gov/pmc/blobs/8ec7/4249908/be30523dffaf/ijsc_07_87f6.jpg
https://cdn.ncbi.nlm.nih.gov/pmc/blobs/8ec7/4249908/b987fc1331e7/ijsc_07_87f7.jpg

相似文献

1
Role of Bone Marrow Mesenchymal Stem Cells in the Treatment of CCL4 Induced Liver Fibrosis in Albino Rats: A Histological and Immunohistochemical Study.骨髓间充质干细胞在治疗 CCL4 诱导的白化病大鼠肝纤维化中的作用:组织学和免疫组织化学研究。
Int J Stem Cells. 2014 Nov;7(2):87-97. doi: 10.15283/ijsc.2014.7.2.87.
2
Comparison between the Regenerative and Therapeutic Impacts of Bone Marrow Mesenchymal Stem Cells and Adipose Mesenchymal Stem Cells Pre-Treated with Melatonin on Liver Fibrosis.褪黑素预处理骨髓间充质干细胞和脂肪间充质干细胞对肝纤维化的再生和治疗作用比较。
Biomolecules. 2024 Mar 1;14(3):297. doi: 10.3390/biom14030297.
3
Treatment Efficiency of Different Routes of Bone Marrow-Derived Mesenchymal Stem Cell Injection in Rat Liver Fibrosis Model.不同途径注射骨髓间充质干细胞对大鼠肝纤维化模型的治疗效果
Cell Physiol Biochem. 2018;48(5):2161-2171. doi: 10.1159/000492558. Epub 2018 Aug 16.
4
Bone marrow-derived mesenchymal stem cells abate CCl4-induced lung damage via their modulatory effects on inflammation, oxidative stress and apoptosis.骨髓间充质干细胞通过对炎症、氧化应激和细胞凋亡的调节作用减轻四氯化碳诱导的肺损伤。
Eur Rev Med Pharmacol Sci. 2023 Dec;27(23):11383-11401. doi: 10.26355/eurrev_202312_34578.
5
The therapeutic effects of bone marrow-derived mesenchymal stem cells and simvastatin in a rat model of liver fibrosis.骨髓间充质干细胞和辛伐他汀对肝纤维化大鼠模型的治疗作用。
Cell Biochem Biophys. 2014 Jan;68(1):111-25. doi: 10.1007/s12013-013-9698-1.
6
Transplantation of human bone marrow mesenchymal stromal cells reduces liver fibrosis more effectively than Wharton's jelly mesenchymal stromal cells.人骨髓间充质基质细胞移植比沃顿胶间充质基质细胞更有效地减轻肝纤维化。
Stem Cell Res Ther. 2017 Jun 13;8(1):143. doi: 10.1186/s13287-017-0595-1.
7
Bone Marrow-Derived Mesenchymal Stem Cell Potential Regression of Dysplasia Associating Experimental Liver Fibrosis in Albino Rats.骨髓间充质干细胞对实验性肝纤维化大鼠肝发育不良的潜在逆转作用。
Biomed Res Int. 2019 Nov 6;2019:5376165. doi: 10.1155/2019/5376165. eCollection 2019.
8
Mesenchymal stem cells: In vivo therapeutic application ameliorates carbon tetrachloride induced liver fibrosis in rats.间充质干细胞:体内治疗应用改善四氯化碳诱导的大鼠肝纤维化。
Int J Biochem Cell Biol. 2015 Nov;68:109-18. doi: 10.1016/j.biocel.2015.09.003. Epub 2015 Sep 11.
9
Comparison of the therapeutic effectiveness of human CD34 and rat bone marrow mesenchymal stem cells on improvement of experimental liver fibrosis in Wistar rats.人CD34细胞与大鼠骨髓间充质干细胞对改善Wistar大鼠实验性肝纤维化治疗效果的比较。
Int J Physiol Pathophysiol Pharmacol. 2016 Sep 30;8(3):128-139. eCollection 2016.
10
Bone marrow-derived mesenchymal stem cells reduce CCl-induced kidney injury and fibrosis in male Wistar rats.骨髓间充质干细胞可减轻雄性 Wistar 大鼠 CCl4 诱导的肾损伤和纤维化。
Ren Fail. 2024 Dec;46(2):2319330. doi: 10.1080/0886022X.2024.2319330. Epub 2024 Jul 25.

引用本文的文献

1
Mesenchymal stem cells reduce the genotoxic effect of lead acetate in the testis of male rats and induce testicular cellular proliferation indicated by 16S rRNA sequence, increase the proliferation marker Ki-67 and a reduction in the apoptosis marker caspase-3.间充质干细胞可降低醋酸铅对雄性大鼠睾丸的遗传毒性作用,并通过16S rRNA序列表明诱导睾丸细胞增殖,增加增殖标志物Ki-67并降低凋亡标志物半胱天冬酶-3。
Biol Res. 2025 May 27;58(1):29. doi: 10.1186/s40659-025-00614-5.
2
Role of Olive Leaf Extract, Mesenchymal Stem Cells or Low Radiation Dose in Alleviating Hepatic Injury in Rats.橄榄叶提取物、间充质干细胞或低辐射剂量在减轻大鼠肝损伤中的作用
Dose Response. 2024 Sep 29;22(3):15593258241289301. doi: 10.1177/15593258241289301. eCollection 2024 Jul-Sep.
3

本文引用的文献

1
Effect of stem cell therapy on induced diabetic keratopathy in albino rat.干细胞治疗对白化病大鼠诱导性糖尿病角膜病变的影响。
Int J Stem Cells. 2012 May;5(1):57-64. doi: 10.15283/ijsc.2012.5.1.57.
2
Transplantation of bone marrow-derived mesenchymal stem cells after regional hepatic irradiation ameliorates thioacetamide-induced liver fibrosis in rats.区域肝照射后骨髓间充质干细胞移植可改善硫代乙酰胺诱导的大鼠肝纤维化。
J Surg Res. 2014 Jan;186(1):408-16. doi: 10.1016/j.jss.2013.08.016. Epub 2013 Sep 11.
3
Hypoxia preconditioned bone marrow mesenchymal stem cells promote liver regeneration in a rat massive hepatectomy model.
Pharmacokinetic characteristics of mesenchymal stem cells in translational challenges.间充质干细胞在转化挑战中的药代动力学特征。
Signal Transduct Target Ther. 2024 Sep 13;9(1):242. doi: 10.1038/s41392-024-01936-8.
4
Effectiveness and mechanisms of mesenchymal stem cell therapy in preclinical animal models of hepatic fibrosis: a systematic review and meta-analysis.间充质干细胞疗法在肝纤维化临床前动物模型中的有效性及机制:一项系统评价和荟萃分析
Front Bioeng Biotechnol. 2024 Jul 22;12:1424253. doi: 10.3389/fbioe.2024.1424253. eCollection 2024.
5
Leveraging stem cells to combat hepatitis: a comprehensive review of recent studies.利用干细胞治疗肝炎:对近期研究的综合综述。
Mol Biol Rep. 2024 Mar 29;51(1):459. doi: 10.1007/s11033-024-09391-y.
6
Comparative Histological Study of Therapeutic Effect of Mesenchymal Stem Cells versus Mesenchymal Stem Cells Co-Cultured with Liver Tissue on Carbon Tetrachloride-Induced Hepatotoxicity in Adult Male Albino Rats.间充质干细胞与肝组织共培养对成年雄性白化大鼠四氯化碳诱导的肝毒性治疗效果的比较组织学研究
J Microsc Ultrastruct. 2022 Aug 18;11(4):225-236. doi: 10.4103/jmau.jmau_62_21. eCollection 2023 Oct-Dec.
7
Ameliorative effects of allogeneic and xenogenic bone marrow-derived mesechymal stem cells on carbon tetrachloride-induced rat liver injury and cirrhosis via modulation of oxidative stress, apoptosis, inflammation, and Nrf2 expression.同种异体和异种骨髓间充质干细胞通过调节氧化应激、细胞凋亡、炎症和Nrf2表达对四氯化碳诱导的大鼠肝损伤和肝硬化的改善作用。
Am J Transl Res. 2023 Nov 15;15(11):6381-6403. eCollection 2023.
8
Stem cell-derived exosomes as a potential therapy for schistosomal hepatic fibrosis in experimental animals.干细胞衍生的外泌体作为一种治疗实验动物血吸虫性肝纤维化的潜在疗法。
Pathog Glob Health. 2024 Jul;118(5):429-449. doi: 10.1080/20477724.2023.2240085. Epub 2023 Jul 30.
9
Label-Free Imaging Techniques to Evaluate Metabolic Changes Caused by Toxic Liver Injury in PCLS.无标记成像技术评估 PCLS 中毒性肝损伤引起的代谢变化。
Int J Mol Sci. 2023 May 24;24(11):9195. doi: 10.3390/ijms24119195.
10
Therapeutic effect of adipose-derived mesenchymal stem cells (AD-MSCs) compared to pirfenidone on corticosteroid resistance in a mouse model of acute exacerbation of idiopathic pulmonary fibrosis.在特发性肺纤维化急性加重小鼠模型中,脂肪间充质干细胞(AD-MSCs)与吡非尼酮相比对皮质类固醇抵抗的治疗效果。
Histol Histopathol. 2022 Nov;37(11):1065-1083. doi: 10.14670/HH-18-493. Epub 2022 Jul 11.
缺氧预处理的骨髓间充质干细胞在大鼠大面积肝切除模型中促进肝再生。
Stem Cell Res Ther. 2013 Jul 15;4(4):83. doi: 10.1186/scrt234.
4
Are different cut-off values of liver stiffness assessed by transient elastography according to the etiology of liver cirrhosis for predicting significant esophageal varices?根据肝硬化病因,通过瞬时弹性成像评估的不同肝硬度临界值对预测显著食管静脉曲张是否有意义?
Med Ultrason. 2013 Jun;15(2):111-5. doi: 10.11152/mu.2013.2066.152.is1ir2.
5
Modification of histone acetylation facilitates hepatic differentiation of human bone marrow mesenchymal stem cells.组蛋白乙酰化修饰促进人骨髓间充质干细胞向肝系分化。
PLoS One. 2013 May 2;8(5):e63405. doi: 10.1371/journal.pone.0063405. Print 2013.
6
In vivo tracking and comparison of the therapeutic effects of MSCs and HSCs for liver injury.体内追踪和比较间充质干细胞和造血干细胞治疗肝损伤的疗效。
PLoS One. 2013 Apr 30;8(4):e62363. doi: 10.1371/journal.pone.0062363. Print 2013.
7
Mesenchymal stem cells and Interleukin-6 attenuate liver fibrosis in mice.间质干细胞和白细胞介素 6 可减轻小鼠肝纤维化。
J Transl Med. 2013 Mar 26;11:78. doi: 10.1186/1479-5876-11-78.
8
Bone marrow cells ameliorate liver fibrosis and express albumin after transplantation in CCl₄-induced fibrotic liver.骨髓细胞在四氯化碳诱导的肝纤维化中移植后可改善肝纤维化并表达白蛋白。
Saudi J Gastroenterol. 2012 Jul-Aug;18(4):263-7. doi: 10.4103/1319-3767.98433.
9
Human umbilical cord matrix stem cells efficiently rescue acute liver failure through paracrine effects rather than hepatic differentiation.人脐带基质干细胞通过旁分泌作用而非肝分化有效挽救急性肝衰竭。
Tissue Eng Part A. 2012 Jul;18(13-14):1352-64. doi: 10.1089/ten.TEA.2011.0516. Epub 2012 Jun 5.
10
A novel antihepatitis drug, bicyclol, prevents liver carcinogenesis in diethylnitrosamine-initiated and phenobarbital-promoted mice tumor model.一种新型抗肝炎药物双环醇,可在二乙基亚硝胺启动和苯巴比妥促进的小鼠肿瘤模型中预防肝癌发生。
J Biomed Biotechnol. 2012;2012:584728. doi: 10.1155/2012/584728. Epub 2012 Feb 21.