• 文献检索
  • 文档翻译
  • 深度研究
  • 学术资讯
  • Suppr Zotero 插件Zotero 插件
  • 邀请有礼
  • 套餐&价格
  • 历史记录
应用&插件
Suppr Zotero 插件Zotero 插件浏览器插件Mac 客户端Windows 客户端微信小程序
定价
高级版会员购买积分包购买API积分包
服务
文献检索文档翻译深度研究API 文档MCP 服务
关于我们
关于 Suppr公司介绍联系我们用户协议隐私条款
关注我们

Suppr 超能文献

核心技术专利:CN118964589B侵权必究
粤ICP备2023148730 号-1Suppr @ 2026

文献检索

告别复杂PubMed语法,用中文像聊天一样搜索,搜遍4000万医学文献。AI智能推荐,让科研检索更轻松。

立即免费搜索

文件翻译

保留排版,准确专业,支持PDF/Word/PPT等文件格式,支持 12+语言互译。

免费翻译文档

深度研究

AI帮你快速写综述,25分钟生成高质量综述,智能提取关键信息,辅助科研写作。

立即免费体验

在一名难治性腹水患者中,呋塞米剂量减少后对托伐普坦的再次反应。

Re-response to tolvaptan after furosemide dose reduction in a patient with refractory ascites.

作者信息

Goto Atsushi, Terai Shuji, Nakamura Munetaka, Matsumoto Masaharu, Sakaida Isao

机构信息

Department of Gastroenterology and Hepatology, Hagi Civil Hospital, Tsubaki 3460-3, Hagi, Yamaguchi, 758-0061, Japan.

出版信息

Clin J Gastroenterol. 2015 Feb;8(1):47-51. doi: 10.1007/s12328-014-0545-8. Epub 2014 Dec 5.

DOI:10.1007/s12328-014-0545-8
PMID:25475138
原文链接:https://pmc.ncbi.nlm.nih.gov/articles/PMC4331598/
Abstract

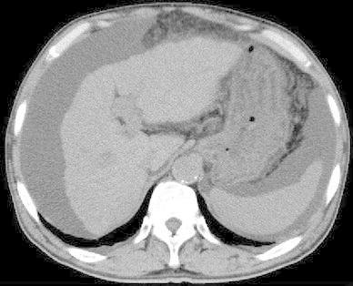
Tolvaptan is a new drug used for treating ascites induced by liver cirrhosis, and it is covered by health insurance in Japan. In the present report, we describe the case of a 74-year-old man with type C liver cirrhosis and refractory ascites. He was receiving furosemide and spironolactone daily, but still required repeat puncture for ascites removal. Administration of tolvaptan (3.75 mg/day) was started in addition to his existing medications, and was subsequently increased to 7.5 mg/day. However, after 2 months, the ascites again exacerbated. Nevertheless, after we discontinued the administration of furosemide, the tolvaptan became effective. This may be because furosemide administration decreases urine osmolality, resulting in a non-response to tolvaptan.

摘要

托伐普坦是一种用于治疗肝硬化引起的腹水的新药,在日本已被纳入医保。在本报告中,我们描述了一名74岁丙型肝硬化伴难治性腹水男性患者的病例。他每天接受呋塞米和螺内酯治疗,但仍需反复穿刺抽腹水。在其现有药物治疗基础上开始给予托伐普坦(3.75毫克/天),随后增加至7.5毫克/天。然而,2个月后,腹水再次加重。尽管如此,在我们停用呋塞米后,托伐普坦开始起效。这可能是因为使用呋塞米会降低尿渗透压,导致对托伐普坦无反应。

https://cdn.ncbi.nlm.nih.gov/pmc/blobs/c097/4331598/d47aea56e59d/12328_2014_545_Fig3_HTML.jpg
https://cdn.ncbi.nlm.nih.gov/pmc/blobs/c097/4331598/a00a27e6b40b/12328_2014_545_Fig1_HTML.jpg
https://cdn.ncbi.nlm.nih.gov/pmc/blobs/c097/4331598/b78d89ba527e/12328_2014_545_Fig2_HTML.jpg
https://cdn.ncbi.nlm.nih.gov/pmc/blobs/c097/4331598/d47aea56e59d/12328_2014_545_Fig3_HTML.jpg
https://cdn.ncbi.nlm.nih.gov/pmc/blobs/c097/4331598/a00a27e6b40b/12328_2014_545_Fig1_HTML.jpg
https://cdn.ncbi.nlm.nih.gov/pmc/blobs/c097/4331598/b78d89ba527e/12328_2014_545_Fig2_HTML.jpg
https://cdn.ncbi.nlm.nih.gov/pmc/blobs/c097/4331598/d47aea56e59d/12328_2014_545_Fig3_HTML.jpg

相似文献

1
Re-response to tolvaptan after furosemide dose reduction in a patient with refractory ascites.在一名难治性腹水患者中,呋塞米剂量减少后对托伐普坦的再次反应。
Clin J Gastroenterol. 2015 Feb;8(1):47-51. doi: 10.1007/s12328-014-0545-8. Epub 2014 Dec 5.
2
Cases with Refractory Ascites and a Delayed Response to Tolvaptan.顽固性腹水且对托伐普坦反应延迟的病例
Intern Med. 2016;55(22):3273-3277. doi: 10.2169/internalmedicine.55.7035. Epub 2016 Nov 15.
3
Clinical Factors Predicting the Effect of Tolvaptan for Refractory Ascites in Patients with Decompensated Liver Cirrhosis.预测托伐普坦对失代偿期肝硬化患者难治性腹水疗效的临床因素
Dig Dis. 2016;34(6):659-664. doi: 10.1159/000448828. Epub 2016 Oct 17.
4
Clinical efficacy of tolvaptan for treatment of refractory ascites in liver cirrhosis patients.托伐普坦治疗肝硬化患者顽固性腹水的临床疗效
World J Gastroenterol. 2014 Aug 28;20(32):11400-5. doi: 10.3748/wjg.v20.i32.11400.
5
[Management of ascites in cirrhotic patients].[肝硬化患者腹水的管理]
Nihon Shokakibyo Gakkai Zasshi. 2017;114(1):27-34. doi: 10.11405/nisshoshi.114.27.
6
Tolvaptan for the treatment of liver cirrhosis oedema.托伐普坦用于治疗肝硬化水肿。
Expert Rev Gastroenterol Hepatol. 2014 Jul;8(5):461-70. doi: 10.1586/17474124.2014.903797. Epub 2014 Mar 29.
7
Efficacy of tolvaptan for the patients with advanced hepatocellular carcinoma.托伐普坦治疗晚期肝细胞癌的疗效。
World J Gastroenterol. 2017 Aug 7;23(29):5379-5385. doi: 10.3748/wjg.v23.i29.5379.
8
Management of refractory ascites attenuates muscle mass reduction and improves survival in patients with decompensated cirrhosis.难治性腹水的管理可减轻失代偿期肝硬化患者的肌肉减少症并改善其生存率。
J Gastroenterol. 2020 Feb;55(2):217-226. doi: 10.1007/s00535-019-01623-4. Epub 2019 Sep 4.
9
Survival Benefit of Tolvaptan for Refractory Ascites in Patients with Advanced Cirrhosis.托伐普坦对晚期肝硬化患者难治性腹水的生存获益
Dig Dis. 2018;36(4):314-321. doi: 10.1159/000489258. Epub 2018 May 31.
10
A multicenter, open-label, dose-ranging study to exploratively evaluate the efficacy, safety, and dose-response of tolvaptan in patients with decompensated liver cirrhosis.一项多中心、开放性、剂量范围研究,旨在探索性评估托伐普坦治疗失代偿期肝硬化患者的疗效、安全性和剂量反应。
J Gastroenterol. 2010 Sep;45(9):979-87. doi: 10.1007/s00535-010-0240-6. Epub 2010 Apr 13.

引用本文的文献

1
Cisterna chyli as an optimal marker of tolvaptan response in severe cirrhotic ascites.胸导管裂孔作为托伐普坦治疗严重肝硬化腹水反应的最佳标志物。
Sci Rep. 2022 May 17;12(1):8124. doi: 10.1038/s41598-022-11889-z.

本文引用的文献

1
Tolvaptan can improve clinical course in responders.托伐普坦可改善有反应者的临床病程。
Int Heart J. 2013;54(6):377-81. doi: 10.1536/ihj.54.377.
2
Correlation between changes in bodyweight and changes in ascites volume in liver cirrhosis patients with hepatic edema in short-term diuretic therapy.短期利尿治疗中肝性水肿的肝硬化患者体重变化与腹水体积变化的相关性。
Hepatol Res. 2014 Jul;44(7):735-9. doi: 10.1111/hepr.12171. Epub 2013 Jul 4.
3
A case with recovery of response to tolvaptan associated with remission of acute kidney injury and increased urine osmolality.
一例托伐普坦反应恢复且急性肾损伤缓解、尿渗透压升高的病例。
Int Heart J. 2013;54(2):115-8. doi: 10.1536/ihj.54.115.
4
Tolvaptan for improvement of hepatic edema: A phase 3, multicenter, randomized, double-blind, placebo-controlled trial.托伐普坦改善肝性水肿:一项 3 期、多中心、随机、双盲、安慰剂对照试验。
Hepatol Res. 2014 Jan;44(1):73-82. doi: 10.1111/hepr.12098. Epub 2013 Apr 3.
5
Dose-finding trial of tolvaptan in liver cirrhosis patients with hepatic edema: A randomized, double-blind, placebo-controlled trial.托伐普坦治疗肝性水肿肝硬化患者的剂量探索:一项随机、双盲、安慰剂对照试验。
Hepatol Res. 2014 Jan;44(1):83-91. doi: 10.1111/hepr.12099. Epub 2013 Mar 27.
6
Urine osmolality estimated using urine urea nitrogen, sodium and creatinine can effectively predict response to tolvaptan in decompensated heart failure patients.使用尿尿素氮、钠和肌酐估算的尿渗透压能有效预测心力衰竭失代偿患者对托伐普坦的反应。
Circ J. 2013;77(5):1208-13. doi: 10.1253/circj.cj-12-1328. Epub 2013 Jan 12.
7
Urine osmolality-guided tolvaptan therapy in decompensated heart failure.尿渗透压引导下托伐普坦治疗失代偿性心力衰竭
Circ J. 2013;77(2):313-4. doi: 10.1253/circj.cj-12-1535. Epub 2012 Dec 26.
8
Novel criteria of urine osmolality effectively predict response to tolvaptan in decompensated heart failure patients--association between non-responders and chronic kidney disease.新型尿渗透压标准可有效预测心力衰竭失代偿患者对托伐普坦的反应——无应答者与慢性肾脏病的关系。
Circ J. 2013;77(2):397-404. doi: 10.1253/circj.cj-12-0971. Epub 2012 Nov 3.
9
Efficacy and safety of tolvaptan in heart failure patients with volume overload despite the standard treatment with conventional diuretics: a phase III, randomized, double-blind, placebo-controlled study (QUEST study).托伐普坦治疗心力衰竭伴常规利尿剂标准治疗后容量超负荷患者的疗效和安全性:一项 III 期、随机、双盲、安慰剂对照研究(QUEST 研究)。
Cardiovasc Drugs Ther. 2011 Dec;25 Suppl 1:S33-45. doi: 10.1007/s10557-011-6304-x.
10
Tolvaptan, an orally active vasopressin V(2)-receptor antagonist - pharmacology and clinical trials.托伐普坦,一种口服活性血管加压素V(2)受体拮抗剂——药理学与临床试验。
Cardiovasc Drug Rev. 2007 Spring;25(1):1-13. doi: 10.1111/j.1527-3466.2007.00001.x.