Suppr超能文献

特应性小鼠模型中牛痘性湿疹的发展及改良痘苗病毒安卡拉疫苗(MVA)接种对致死性痘病毒感染的疗效

Development of eczema vaccinatum in atopic mouse models and efficacy of MVA vaccination against lethal poxviral infection.

作者信息

Knitlova Jarmila, Hajkova Vera, Voska Ludek, Elsterova Jana, Obrova Barbora, Melkova Zora

机构信息

Department of Immunology and Microbiology, 1st Medical Faculty, Charles University, Studnickova 7, 128 00, Prague 2, Czech Republic.

Department of Clinical and Transplant Pathology, Institute for Clinical and Experimental Medicine, Videnska 9, 140 21, Prague 4, Czech Republic.

出版信息

PLoS One. 2014 Dec 8;9(12):e114374. doi: 10.1371/journal.pone.0114374. eCollection 2014.

Abstract

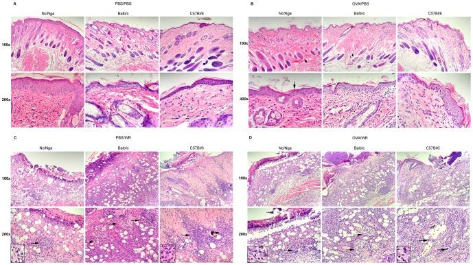
Smallpox vaccine based on live, replicating vaccinia virus (VACV) is associated with several potentially serious and deadly complications. Consequently, a new generation of vaccine based on non-replicating Modified vaccinia virus Ankara (MVA) has been under clinical development. MVA seems to induce good immune responses in blood tests, but it is impossible to test its efficacy in vivo in human. One of the serious complications of the replicating vaccine is eczema vaccinatum (EV) occurring in individuals with atopic dermatitis (AD), thus excluding them from all preventive vaccination schemes. In this study, we first characterized and compared development of eczema vaccinatum in different mouse strains. Nc/Nga, Balb/c and C57Bl/6J mice were epicutaneously sensitized with ovalbumin (OVA) or saline control to induce signs of atopic dermatitis and subsequently trans-dermally (t.d.) immunized with VACV strain Western Reserve (WR). Large primary lesions occurred in both mock- and OVA-sensitized Nc/Nga mice, while they remained small in Balb/c and C57Bl/6J mice. Satellite lesions developed in both mock- and OVA-sensitized Nc/Nga and in OVA-sensitized Balb/c mice with the rate 40-50%. Presence of mastocytes and eosinophils was the highest in Nc/Nga mice. Consequently, we have chosen Nc/Nga mice as a model of AD/EV and tested efficacy of MVA and Dryvax vaccinations against a lethal intra-nasal (i.n.) challenge with WR, the surrogate of smallpox. Inoculation of MVA intra-muscularly (i.m.) or t.d. resulted in no lesions, while inoculation of Dryvax t.d. yielded large primary and many satellite lesions similar to WR. Eighty three and 92% of mice vaccinated with a single dose of MVA i.m. or t.d., respectively, survived a lethal i.n. challenge with WR without any serious illness, while all Dryvax-vaccinated animals survived. This is the first formal prove of protective immunity against a lethal poxvirus challenge induced by vaccination with MVA in an atopic organism.

摘要

基于活的、可复制的痘苗病毒(VACV)的天花疫苗与几种潜在的严重和致命并发症相关。因此,新一代基于非复制型安卡拉痘苗病毒(MVA)的疫苗一直在进行临床开发。MVA在血液检测中似乎能诱导良好的免疫反应,但无法在人体中进行体内疗效测试。复制型疫苗的严重并发症之一是湿疹痘苗病(EV),发生在患有特应性皮炎(AD)的个体中,因此将他们排除在所有预防性疫苗接种计划之外。在本研究中,我们首先对不同小鼠品系中湿疹痘苗病的发展进行了表征和比较。用卵清蛋白(OVA)或生理盐水对照对Nc/Nga、Balb/c和C57Bl/6J小鼠进行表皮致敏,以诱导特应性皮炎的体征,随后用西储痘苗病毒(WR)进行经皮(t.d.)免疫。在模拟致敏和OVA致敏的Nc/Nga小鼠中均出现大的原发性病变,而在Balb/c和C57Bl/6J小鼠中病变仍较小。在模拟致敏和OVA致敏的Nc/Nga小鼠以及OVA致敏的Balb/c小鼠中均出现卫星病变,发生率为40-50%。Nc/Nga小鼠中肥大细胞和嗜酸性粒细胞的存在率最高。因此,我们选择Nc/Nga小鼠作为AD/EV模型,并测试了MVA和Dryvax疫苗对致命性鼻内(i.n.)接种WR(天花的替代物)的疗效。肌肉内(i.m.)或经皮接种MVA均未导致病变,而经皮接种Dryvax则产生了与WR相似的大的原发性病变和许多卫星病变。分别用单剂量MVA进行肌肉内或经皮接种的小鼠中,83%和92%在接受致命性鼻内接种WR后存活,且无任何严重疾病,而所有接种Dryvax的动物均存活。这是在特应性生物体中用MVA接种诱导针对致命性痘病毒攻击的保护性免疫的首个正式证据。

https://cdn.ncbi.nlm.nih.gov/pmc/blobs/44ac/4259321/9ed56a6d10c4/pone.0114374.g001.jpg

文献AI研究员

20分钟写一篇综述,助力文献阅读效率提升50倍。

立即体验

用中文搜PubMed

大模型驱动的PubMed中文搜索引擎

马上搜索

文档翻译

学术文献翻译模型,支持多种主流文档格式。

立即体验