Suppr超能文献

肝局灶性结节性增生诊断中团注分割与三相多层螺旋计算机断层扫描技术:病例报告

Split-bolus versus triphasic multidetector-row computed tomography technique in the diagnosis of hepatic focal nodular hyperplasia: a case report.

作者信息

Scialpi Michele, Pierotti Luisa, Gravante Sabrina, Piscioli Irene, Pusiol Teresa, Schiavone Raffaele, D'Andrea Alfredo

机构信息

Department of Surgical and Biomedical Sciences, Division of Radiology 2, Perugia University, S, Maria della Misericordia Hospital, S, Andrea delle Fratte, 06134 Perugia, Italy.

出版信息

J Med Case Rep. 2014 Dec 14;8:425. doi: 10.1186/1752-1947-8-425.

Abstract

INTRODUCTION

Computed tomography and magnetic resonance imaging are able to demonstrate and to diagnose hepatic focal nodular hyperplasia when a typical pattern of a well-circumscribed lesion with a central scar is present.Our aim is to propose the split-bolus multidetector-row computed tomography technique as an alternative to the conventional triphasic technique in the detection and characterization of focal nodular hyperplasia to reduce the radiation dose to the patient.To the best of our knowledge, this is the first report regarding the application of the split-bolus computed tomography technique in the evaluation of hepatic focal nodular hyperplasia.

CASE PRESENTATION

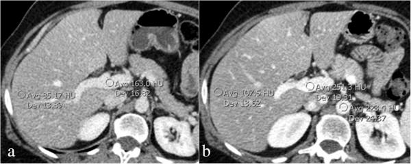
We describe a case of focal nodular hyperplasia of the liver in a 53-year-old Caucasian woman (weight 75Kg) with a colorectal adenocarcinoma histologically confirmed. An innovative split-bolus multidetector-row computed tomography technique was used that, by splitting intravenous contrast material in two boli, combined two phases (hepatic arterial phase and portal venous phase) in a single pass; a delayed (5 minutes) phase was obtained to compare the findings with that of triphasic multidetector-row computed tomography.

CONCLUSIONS

Split-bolus multidetector-row computed tomography was able to show the same appearance of the lesion as the triphasic multidetector-row computed tomography technique.This is the first case demonstrating the effectiveness of the split-bolus multidetector-row computed tomography technique in the detection and characterization of focal nodular hyperplasia with a significant reduction in radiation dose to the patient with respect to triphasic multidetector-row computed tomography technique.

摘要

引言

当出现具有中央瘢痕的边界清晰病变的典型模式时,计算机断层扫描和磁共振成像能够显示并诊断肝局灶性结节性增生。我们的目的是提出一种双期团注多排螺旋计算机断层扫描技术,作为传统三期扫描技术的替代方法,用于肝局灶性结节性增生的检测和特征分析,以减少患者所接受的辐射剂量。据我们所知,这是关于双期团注计算机断层扫描技术在肝局灶性结节性增生评估中应用的首篇报道。

病例介绍

我们描述了一名53岁白人女性(体重75千克)肝局灶性结节性增生的病例,其结直肠癌已通过组织学确诊。采用了一种创新的双期团注多排螺旋计算机断层扫描技术,该技术通过将静脉造影剂分成两团注,在单次扫描中合并了两个期相(肝动脉期和门静脉期);还获得了延迟(5分钟)期相,以便将结果与三期多排螺旋计算机断层扫描的结果进行比较。

结论

双期团注多排螺旋计算机断层扫描能够显示与三期多排螺旋计算机断层扫描技术相同的病变表现。这是首例证明双期团注多排螺旋计算机断层扫描技术在肝局灶性结节性增生检测和特征分析中有效性的病例,与三期多排螺旋计算机断层扫描技术相比,显著降低了患者所接受的辐射剂量。

https://cdn.ncbi.nlm.nih.gov/pmc/blobs/8782/4301902/02f8deece3c7/13256_2014_3024_Fig1_HTML.jpg

文献AI研究员

20分钟写一篇综述,助力文献阅读效率提升50倍。

立即体验

用中文搜PubMed

大模型驱动的PubMed中文搜索引擎

马上搜索

文档翻译

学术文献翻译模型,支持多种主流文档格式。

立即体验