Poma S, Delmonte M P, Gigliuto C, Imberti R, Delmonte M, Arossa A, Iotti G A
Unit of Obstetric Anesthesia, Department of Anesthesia and Intensive Care, Fondazione Policlinico San Matteo Hospital, Viale Golgi 19, 27100 Pavia, Italy.
Department of Anesthesia and Intensive Care, Fondazione Policlinico San Matteo Hospital, Viale Golgi 19, 27100 Pavia, Italy.
Case Rep Obstet Gynecol. 2014;2014:928079. doi: 10.1155/2014/928079. Epub 2014 Nov 19.
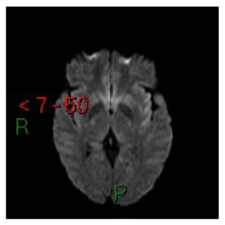
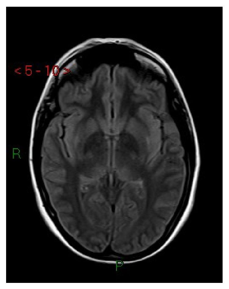
Posterior reversible encephalopathy syndrome (PRES) is a neurological syndrome associated with a number of conditions including preeclampsia. It is characterized by seizures, alteration of consciousness, visual disturbances, and symmetric white matter abnormalities, typically in the posterior parietooccipital regions of the cerebral hemispheres, at computed tomography (CT) and magnetic resonance (MRI). We report three new cases of PRES in preeclamptic patients and describe the management of these patients. We present a brief review of other cases in the literature, with particular attention to the anesthetic management.
后部可逆性脑病综合征(PRES)是一种与包括先兆子痫在内的多种病症相关的神经综合征。其特征为癫痫发作、意识改变、视觉障碍以及对称的白质异常,在计算机断层扫描(CT)和磁共振成像(MRI)上,这些异常通常出现在大脑半球的后顶枕叶区域。我们报告了3例先兆子痫患者发生PRES的新病例,并描述了这些患者的治疗情况。我们对文献中的其他病例进行了简要综述,尤其关注麻醉管理。