Suppr超能文献

与肌肉注射相关的臀下动脉假性动脉瘤

Inferior gluteal artery pseudoaneurysm related to intramuscular injection.

作者信息

Saad Paulo Fernandes, Saad Karen Ruggeri, Armstrong Dinani Matoso Fialho de Oliveira, Soares Bruno Leonardo de Freitas, de Almeida Paulo Henrique Freitas, Razuk Filho Álvaro

机构信息

School of Medicine of Vale do São Francisco Federal University, Av. José de Sá Maniçoba, s/n, Centro, Petrolina 56304917, PE, Brazil.

School of Medicine of Vale do São Francisco Federal University, Av. José de Sá Maniçoba, s/n, Centro, Petrolina 56304917, PE, Brazil.

出版信息

Int J Surg Case Rep. 2015;6C:29-32. doi: 10.1016/j.ijscr.2014.10.080. Epub 2014 Nov 27.

Abstract

INTRODUCTION

Gluteal artery pseudoaneurysms are rare, yet the most common in cases involving the superior gluteal artery. Pseudoaneurysms of the inferior gluteal artery are uncommon and are often related to blunt or penetrating trauma, infections and fractures of the pelvis.

PRESENTATION OF CASE

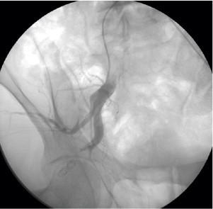
The authors present a case of pseudoaneurysm of the inferior gluteal artery related to an iatrogenic injury due to intramuscular injection of medication, which was treated with selective embolization of the artery during angiography.

DISCUSSION

The most common manifestation of an inferior gluteal artery pseudoaneurysm is the presence of a painful mass in the buttock that may or may not be associated with neurological symptoms due to compression of the sciatic nerve. Ultrasound with color Doppler and computerized tomography with multi-detectors are useful non-invasive tools for diagnosis. However, both diagnosis and therapy are facilitated by catheter angiography.

CONCLUSION

This case cautions that although pseudoaneurysms are rare, pseudoaneurysms of the inferior gluteal artery require a high index of suspicion and careful physical examination by the physician in order to avoid misdiagnosis. It also illustrates the usefulness of a minimally invasive modality for treatment of these lesions.

摘要

引言

臀动脉假性动脉瘤较为罕见,但在涉及臀上动脉的病例中最为常见。臀下动脉假性动脉瘤并不常见,通常与钝性或穿透性创伤、感染及骨盆骨折有关。

病例报告

作者报告了一例因肌肉注射药物导致医源性损伤引起的臀下动脉假性动脉瘤病例,该病例在血管造影期间通过动脉选择性栓塞进行治疗。

讨论

臀下动脉假性动脉瘤最常见的表现是臀部出现疼痛性肿块,该肿块可能与坐骨神经受压导致的神经症状有关,也可能无关。彩色多普勒超声和多排螺旋计算机断层扫描是有用的无创诊断工具。然而,导管血管造影有助于诊断和治疗。

结论

该病例警示,尽管假性动脉瘤罕见,但臀下动脉假性动脉瘤需要医生高度怀疑并仔细体格检查以避免误诊。它还说明了微创治疗方式对这些病变的有效性。

https://cdn.ncbi.nlm.nih.gov/pmc/blobs/f41d/4334878/f90e00786e74/gr1.jpg

文献AI研究员

20分钟写一篇综述,助力文献阅读效率提升50倍。

立即体验

用中文搜PubMed

大模型驱动的PubMed中文搜索引擎

马上搜索

文档翻译

学术文献翻译模型,支持多种主流文档格式。

立即体验