Suppr超能文献

使用亚甲蓝对副神经节瘤进行术中近红外荧光成像:一例报告。

Intraoperative near-infrared fluorescence imaging of a paraganglioma using methylene blue: A case report.

作者信息

Tummers Quirijn R J G, Boonstra Martin C, Frangioni John V, van de Velde Cornelis J H, Vahrmeijer Alexander L, Bonsing Bert A

机构信息

Department of Surgery, Leiden, University Medical Center, Albinusdreef 2, 2300 RC, Leiden, The Netherlands.

Department of Medicine, Beth Israel Deaconess Medical Center, 330 Brookline Avenue, Boston, MA 02215, USA; Department of Radiology, Beth Israel Deaconess Medical Center, 330 Brookline Avenue, Boston, MA 02215, USA.

出版信息

Int J Surg Case Rep. 2015;6C:150-3. doi: 10.1016/j.ijscr.2014.12.002. Epub 2014 Dec 5.

Abstract

INTRODUCTION

Intraoperative identification of tumors can be challenging. Near-infrared (NIR) fluorescence imaging is an innovative technique that can assist in intraoperative identification of tumors, which may otherwise be undetectable.

PRESENTATION OF CASE

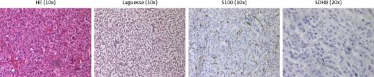
A 19-year-old patient with symptoms, normetanephrine levels and radiological findings suspicious for a paraganglioma, a rare tumor arising from extra-adrenal chromaffin cells within the sympathetic nervous system, is presented. Intraoperative NIR fluorescence imaging using intravenous administration of methylene blue (MB) assisted in intraoperative detection of the tumor, and even identified a smaller second lesion, which was not identified during surgery by visual inspection.

DISCUSSION

Although the exact mechanism of MB accumulation in neuroendocrine tumors is unclear, it is described in both preclinical and clinical studies.

CONCLUSION

In this report, we describe the first case of intraoperative NIR fluorescence imaging of a paraganglioma using MB, which identified an otherwise undetectable lesion.

摘要

引言

术中识别肿瘤可能具有挑战性。近红外(NIR)荧光成像技术是一项创新技术,可辅助术中识别肿瘤,否则这些肿瘤可能无法被检测到。

病例介绍

本文介绍了一名19岁患者,其症状、去甲肾上腺素水平及影像学检查结果均怀疑患有副神经节瘤,这是一种起源于交感神经系统肾上腺外嗜铬细胞的罕见肿瘤。术中通过静脉注射亚甲蓝(MB)进行近红外荧光成像,辅助术中检测到了肿瘤,甚至还发现了一个较小的第二个病灶,而在手术过程中通过肉眼检查并未发现该病灶。

讨论

虽然亚甲蓝在神经内分泌肿瘤中蓄积的确切机制尚不清楚,但在临床前和临床研究中均有相关描述。

结论

在本报告中,我们描述了首例使用亚甲蓝对副神经节瘤进行术中近红外荧光成像的病例,该成像识别出了一个原本无法检测到的病灶。

https://cdn.ncbi.nlm.nih.gov/pmc/blobs/8e78/4334887/addb9845fda7/gr1.jpg

文献AI研究员

20分钟写一篇综述,助力文献阅读效率提升50倍。

立即体验

用中文搜PubMed

大模型驱动的PubMed中文搜索引擎

马上搜索

文档翻译

学术文献翻译模型,支持多种主流文档格式。

立即体验