Suppr超能文献

足部皮肤血管肉瘤:一例病例报告及文献综述

Cutaneous angiosarcoma of the foot: a case report and review of the literature.

作者信息

Tenjarla Sharang, Sheils Lucy Ashley, Kwiatkowski Theresa M, Chawla Sheema

机构信息

Department of Radiation Oncology, Rochester General Hospital, 1425 Portland Avenue, Rochester, NY 14621, USA.

Department of Pathology, Rochester General Hospital, 1425 Portland Avenue, Rochester, NY 14621, USA.

出版信息

Case Rep Oncol Med. 2014;2014:657876. doi: 10.1155/2014/657876. Epub 2014 Dec 9.

Abstract

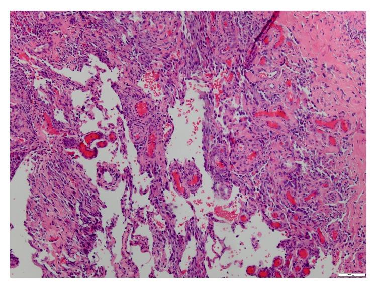
Primary Angiosarcoma of the skin of the foot is very rare. Angiosarcoma is typically treated with resection and wide-field postoperative radiation therapy. Chemotherapy and radiation therapy have also been used. Regardless of the treatment, the risk of local and distant relapse remains high for this disease. We present a case of an elderly patient who developed cutaneous angiosarcoma of the foot. It posed as a diagnostic dilemma at presentation. Chronic lymphedema was a possible predisposing factor. Given his age, preexisting renal dysfunction, refusal of surgery, and preference not to receive chemotherapy, the patient was ultimately treated with definitive radiotherapy. We present this case because of its rare site, unique presentation and delay in diagnosis of the condition, and attainment of an excellent response to radiation at the time of follow-up. We also review the current literature on this topic.

摘要

足部皮肤原发性血管肉瘤非常罕见。血管肉瘤通常采用手术切除及术后大范围放射治疗。也有人使用化疗和放射治疗。无论采用何种治疗方法,这种疾病的局部和远处复发风险仍然很高。我们报告一例老年患者足部发生皮肤血管肉瘤的病例。该病例在初诊时构成诊断难题。慢性淋巴水肿可能是一个诱发因素。鉴于患者年龄、已存在的肾功能不全、拒绝手术以及不愿接受化疗,该患者最终接受了根治性放疗。我们报告此病例是因为其发病部位罕见、表现独特、诊断延迟,以及随访时放疗取得了极佳疗效。我们还回顾了关于该主题的当前文献。

https://cdn.ncbi.nlm.nih.gov/pmc/blobs/f2f8/4276302/d3d24756a8aa/CRIONM2014-657876.001.jpg

文献AI研究员

20分钟写一篇综述,助力文献阅读效率提升50倍。

立即体验

用中文搜PubMed

大模型驱动的PubMed中文搜索引擎

马上搜索

文档翻译

学术文献翻译模型,支持多种主流文档格式。

立即体验