Lai Guan-Hua, Chao Jung, Lin Ming-Kuem, Chang Wen-Te, Peng Wen-Huang, Sun Fang-Chun, Lee Meng-Shiunn, Lee Meng-Shiou
Graduate Institute of Biotechnology, National Chung Hsing University, Taichung 40402, Taiwan.
Department & Institute of Pharmacology, National Yang-Ming University, Taipei 11221, Taiwan.
Int J Mol Sci. 2015 Jan 9;16(1):1562-75. doi: 10.3390/ijms16011562.
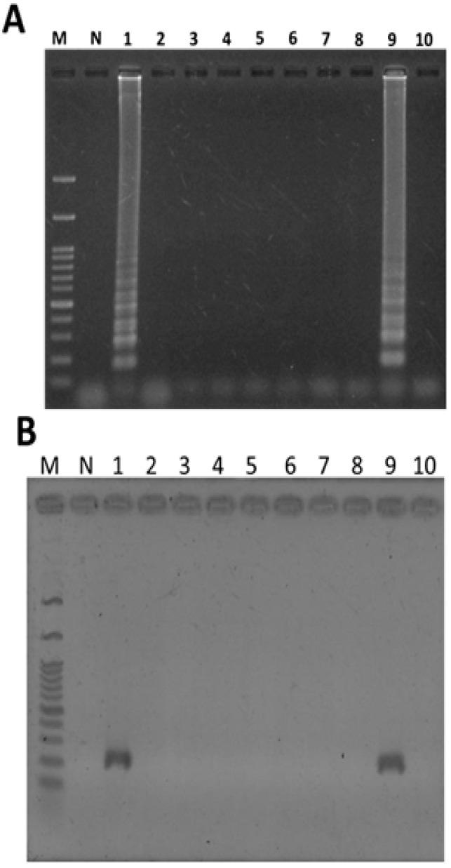
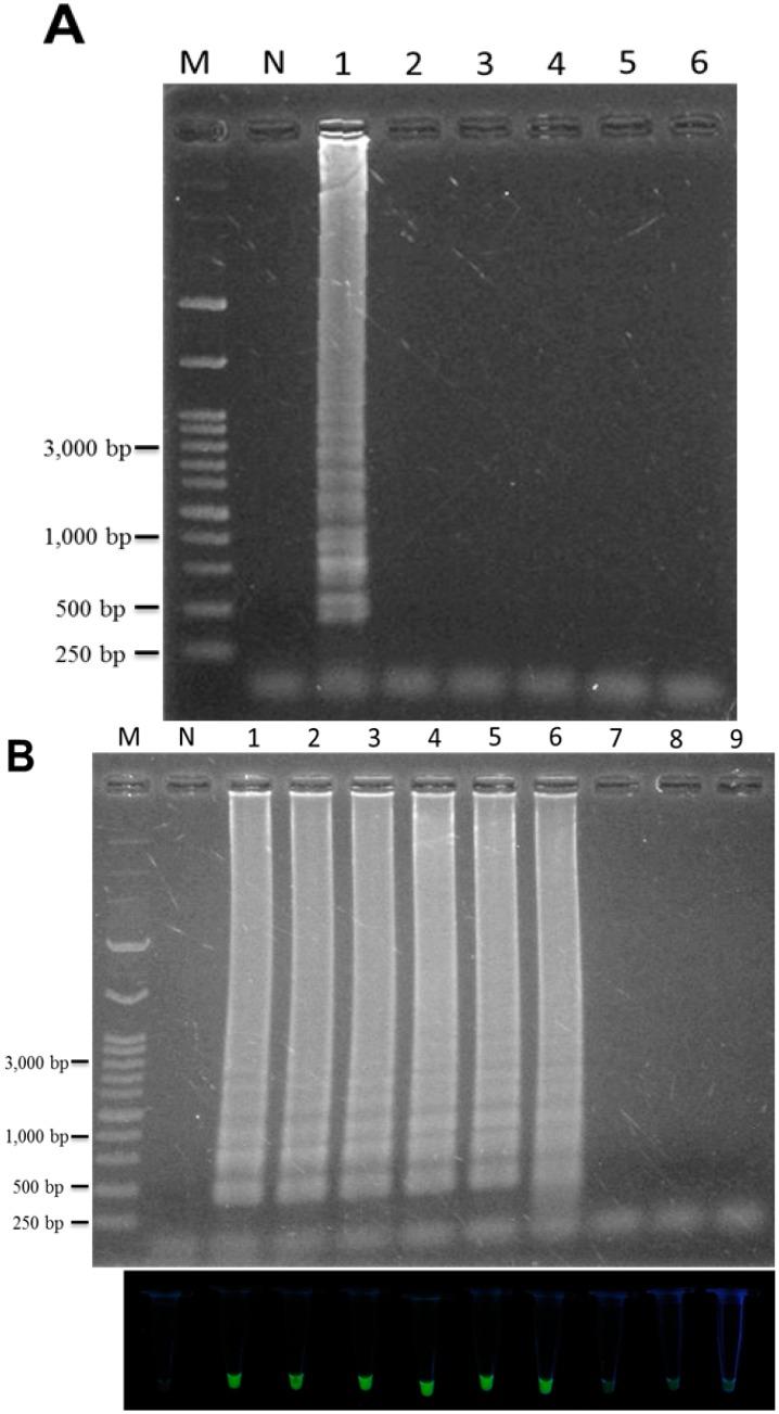
Taraxacum formosanum (TF) is a medicinal plant used as an important component of health drinks in Taiwan. In this study, a rapid, sensitive and specific loop-mediated isothermal amplification (LAMP) assay for authenticating TF was established. A set of four specific LAMP primers was designed based on the nucleotide sequence of the internal transcribed spacer 2 (ITS2) nuclear ribosomal DNA (nrDNA) of TF. LAMP amplicons were successfully amplified and detected when purified genomic DNA of TF was added in the LAMP reaction under isothermal condition (65 °C) within 45 min. These specific LAMP primers have high specificity and can accurately discriminate Taraxacum formosanum from other adulterant plants; 1 pg of genomic DNA was determined to be the detection limit of the LAMP assay. In conclusion, using this novel approach, TF and its misused plant samples obtained from herbal tea markets were easily identified and discriminated by LAMP assay for quality control.
台湾蒲公英(TF)是一种药用植物,在台湾被用作健康饮品的重要成分。在本研究中,建立了一种用于鉴定TF的快速、灵敏且特异的环介导等温扩增(LAMP)检测方法。基于台湾蒲公英核糖体DNA(nrDNA)的内转录间隔区2(ITS2)的核苷酸序列设计了一组四条特异性LAMP引物。当在等温条件(65°C)下于45分钟内在LAMP反应中加入台湾蒲公英的纯化基因组DNA时,成功扩增并检测到LAMP扩增产物。这些特异性LAMP引物具有高特异性,能够准确地区分台湾蒲公英与其他掺假植物;确定1 pg基因组DNA为LAMP检测的检测限。总之,使用这种新方法,通过LAMP检测可轻松鉴定和区分从凉茶市场获得的台湾蒲公英及其误用的植物样本,以进行质量控制。