• 文献检索
  • 文档翻译
  • 深度研究
  • 学术资讯
  • Suppr Zotero 插件Zotero 插件
  • 邀请有礼
  • 套餐&价格
  • 历史记录
应用&插件
Suppr Zotero 插件Zotero 插件浏览器插件Mac 客户端Windows 客户端微信小程序
定价
高级版会员购买积分包购买API积分包
服务
文献检索文档翻译深度研究API 文档MCP 服务
关于我们
关于 Suppr公司介绍联系我们用户协议隐私条款
关注我们

Suppr 超能文献

核心技术专利:CN118964589B侵权必究
粤ICP备2023148730 号-1Suppr @ 2026

文献检索

告别复杂PubMed语法,用中文像聊天一样搜索,搜遍4000万医学文献。AI智能推荐,让科研检索更轻松。

立即免费搜索

文件翻译

保留排版,准确专业,支持PDF/Word/PPT等文件格式,支持 12+语言互译。

免费翻译文档

深度研究

AI帮你快速写综述,25分钟生成高质量综述,智能提取关键信息,辅助科研写作。

立即免费体验

Birt-Hogg-Dubé综合征患者肾肿瘤中糖蛋白非转移性B和卵泡抑素的独特表达模式。

Distinctive expression patterns of glycoprotein non-metastatic B and folliculin in renal tumors in patients with Birt-Hogg-Dubé syndrome.

作者信息

Furuya Mitsuko, Hong Seung-Beom, Tanaka Reiko, Kuroda Naoto, Nagashima Yoji, Nagahama Kiyotaka, Suyama Takahito, Yao Masahiro, Nakatani Yukio

机构信息

Department of Molecular Pathology, Yokohama City University Graduate School of Medicine, Yokohama, Japan.

出版信息

Cancer Sci. 2015 Mar;106(3):315-23. doi: 10.1111/cas.12601. Epub 2015 Feb 17.

DOI:10.1111/cas.12601
PMID:25594584
原文链接:https://pmc.ncbi.nlm.nih.gov/articles/PMC4376441/
Abstract

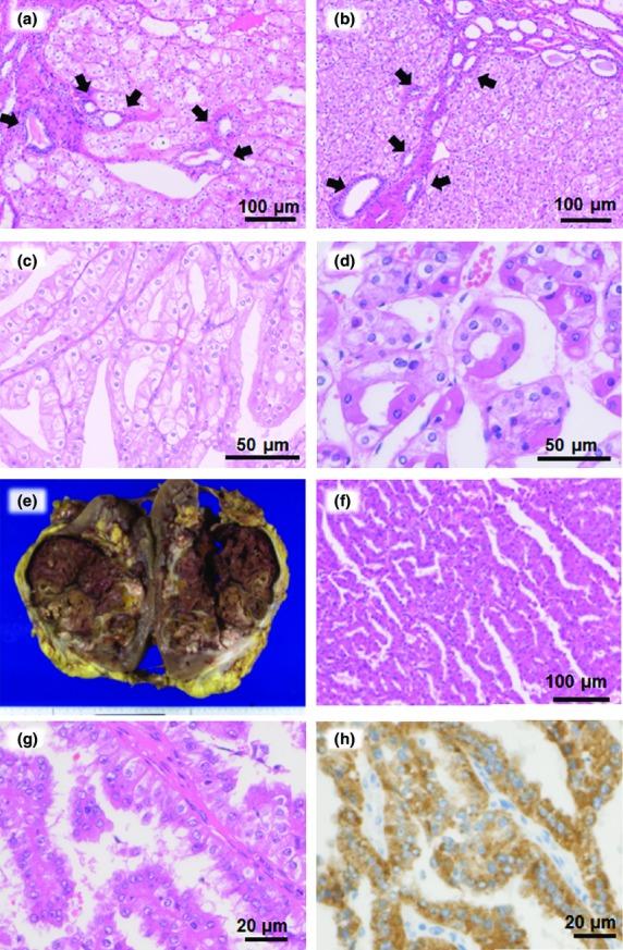
Birt-Hogg-Dubé syndrome (BHD) is an inherited disorder associated with a germline mutation of the folliculin gene (FLCN). The affected families have a high risk for developing multiple renal cell carcinomas (RCC). Diagnostic markers that distinguish between FLCN-related RCC and sporadic RCC have not been investigated, and many patients with undiagnosed BHD fail to receive proper medical care. We investigated the histopathology of 27 RCCs obtained from 18 BHD patients who were diagnosed by genetic testing. Possible somatic mutations of RCC lesions were investigated by DNA sequencing. Western blotting and immunohistochemical staining were used to compare the expression levels of FLCN and glycoprotein non-metastatic B (GPNMB) between FLCN-related RCCs and sporadic renal tumors (n = 62). The expression of GPNMB was also evaluated by quantitative RT-PCR. Histopathological analysis revealed that the most frequent histological type was chromophobe RCC (n = 12), followed by hybrid oncocytic/chromophobe tumor (n = 6). Somatic mutation analysis revealed small intragenic mutations in six cases and loss of heterozygosity in two cases. Western blot and immunostaining analyses revealed that FLCN-related RCCs showed overexpression of GPNMB and underexpression of FLCN, whereas sporadic tumors showed inverted patterns. GPNMB mRNA in FLCN-related RCCs was 23-fold more abundant than in sporadic tumors. The distinctive expression patterns of GPNMB and FLCN might identify patients with RCCs who need further work-up for BHD.

摘要

Birt-Hogg-Dubé综合征(BHD)是一种与卵泡抑素基因(FLCN)种系突变相关的遗传性疾病。患病家族患多发性肾细胞癌(RCC)的风险很高。尚未对区分FLCN相关RCC和散发性RCC的诊断标志物进行研究,许多未确诊BHD的患者未能得到适当的医疗护理。我们对18例经基因检测确诊的BHD患者的27例RCC进行了组织病理学研究。通过DNA测序研究了RCC病变可能的体细胞突变。采用蛋白质免疫印迹法和免疫组织化学染色法比较FLCN相关RCC与散发性肾肿瘤(n = 62)之间FLCN和糖蛋白非转移性B(GPNMB)的表达水平。还通过定量逆转录聚合酶链反应评估GPNMB的表达。组织病理学分析显示,最常见的组织学类型是嫌色细胞性RCC(n = 12),其次是嗜酸细胞/嫌色细胞混合性肿瘤(n = 6)。体细胞突变分析显示6例存在小的基因内突变,2例存在杂合性缺失。蛋白质免疫印迹法和免疫染色分析显示,FLCN相关RCC表现为GPNMB过表达和FLCN低表达,而散发性肿瘤则呈现相反的模式。FLCN相关RCC中的GPNMB mRNA比散发性肿瘤丰富23倍。GPNMB和FLCN独特的表达模式可能有助于识别需要进一步检查是否患有BHD的RCC患者。

https://cdn.ncbi.nlm.nih.gov/pmc/blobs/b206/4376441/99e5d210f014/cas0106-0315-f6.jpg
https://cdn.ncbi.nlm.nih.gov/pmc/blobs/b206/4376441/12f3b25aa53a/cas0106-0315-f1.jpg
https://cdn.ncbi.nlm.nih.gov/pmc/blobs/b206/4376441/203882a2e6a5/cas0106-0315-f2.jpg
https://cdn.ncbi.nlm.nih.gov/pmc/blobs/b206/4376441/3f66b2e25a29/cas0106-0315-f3.jpg
https://cdn.ncbi.nlm.nih.gov/pmc/blobs/b206/4376441/f571adf5b69c/cas0106-0315-f4.jpg
https://cdn.ncbi.nlm.nih.gov/pmc/blobs/b206/4376441/ae47982d261a/cas0106-0315-f5.jpg
https://cdn.ncbi.nlm.nih.gov/pmc/blobs/b206/4376441/99e5d210f014/cas0106-0315-f6.jpg
https://cdn.ncbi.nlm.nih.gov/pmc/blobs/b206/4376441/12f3b25aa53a/cas0106-0315-f1.jpg
https://cdn.ncbi.nlm.nih.gov/pmc/blobs/b206/4376441/203882a2e6a5/cas0106-0315-f2.jpg
https://cdn.ncbi.nlm.nih.gov/pmc/blobs/b206/4376441/3f66b2e25a29/cas0106-0315-f3.jpg
https://cdn.ncbi.nlm.nih.gov/pmc/blobs/b206/4376441/f571adf5b69c/cas0106-0315-f4.jpg
https://cdn.ncbi.nlm.nih.gov/pmc/blobs/b206/4376441/ae47982d261a/cas0106-0315-f5.jpg
https://cdn.ncbi.nlm.nih.gov/pmc/blobs/b206/4376441/99e5d210f014/cas0106-0315-f6.jpg

相似文献

1
Distinctive expression patterns of glycoprotein non-metastatic B and folliculin in renal tumors in patients with Birt-Hogg-Dubé syndrome.Birt-Hogg-Dubé综合征患者肾肿瘤中糖蛋白非转移性B和卵泡抑素的独特表达模式。
Cancer Sci. 2015 Mar;106(3):315-23. doi: 10.1111/cas.12601. Epub 2015 Feb 17.
2
Immunohistochemical characterization of renal tumors in patients with Birt-Hogg-Dubé syndrome.Birt-Hogg-Dubé综合征患者肾肿瘤的免疫组织化学特征
Pathol Int. 2015 Mar;65(3):126-32. doi: 10.1111/pin.12254. Epub 2015 Jan 19.
3
Fluorescent and chromogenic in situ hybridization of CEN17q as a potent useful diagnostic marker for Birt-Hogg-Dubé syndrome-associated chromophobe renal cell carcinomas.作为Birt-Hogg-Dubé综合征相关嫌色性肾细胞癌的有效诊断标志物,17号染色体长臂着丝粒区域的荧光原位杂交和显色原位杂交技术
Hum Pathol. 2016 Jun;52:74-82. doi: 10.1016/j.humpath.2016.01.004. Epub 2016 Feb 4.
4
Genome-Wide Uniparental Disomy and Copy Number Variations in Renal Cell Carcinomas Associated with Birt-Hogg-Dubé Syndrome.与Birt-Hogg-Dubé综合征相关的肾细胞癌中的全基因组单亲二体性和拷贝数变异
Am J Pathol. 2016 Feb;186(2):337-46. doi: 10.1016/j.ajpath.2015.10.013.
5
Establishment and characterization of BHD-F59RSVT, an immortalized cell line derived from a renal cell carcinoma in a patient with Birt-Hogg-Dubé syndrome.BHD-F59RSVT的建立与鉴定,这是一种源自Birt-Hogg-Dubé综合征患者肾细胞癌的永生化细胞系。
Lab Invest. 2017 Mar;97(3):343-351. doi: 10.1038/labinvest.2016.137. Epub 2016 Dec 19.
6
Genetic, epidemiologic and clinicopathologic studies of Japanese Asian patients with Birt-Hogg-Dubé syndrome.日本亚洲Birt-Hogg-Dubé综合征患者的遗传学、流行病学及临床病理学研究。
Clin Genet. 2016 Nov;90(5):403-412. doi: 10.1111/cge.12807. Epub 2016 Jun 30.
7
Birt-Hogg-Dubé syndrome: Clinical and molecular aspects of recently identified kidney cancer syndrome.Birt-Hogg-Dubé综合征:新发现的肾癌综合征的临床和分子学特征
Int J Urol. 2016 Mar;23(3):204-10. doi: 10.1111/iju.13015. Epub 2015 Nov 25.
8
Birt-Hogg-Dubé syndrome: novel FLCN frameshift deletion in daughter and father with renal cell carcinomas.Birt-Hogg-Dubé综合征:父女患肾细胞癌中的新型卵泡抑素样蛋白(FLCN)移码缺失
Fam Cancer. 2016 Jan;15(1):127-32. doi: 10.1007/s10689-015-9837-5.
9
Are lung cysts in renal cell cancer (RCC) patients an indication for FLCN mutation analysis?肾细胞癌(RCC)患者的肺囊肿是否是进行卵泡抑素(FLCN)突变分析的指征?
Fam Cancer. 2016 Apr;15(2):297-300. doi: 10.1007/s10689-015-9853-5.
10
Heterozygous germline FLCN mutation in Birt-Hogg-Dubé syndrome with bilateral renal hybrid oncocytic/chromophobe tumor and unilateral renal chromophobe cell carcinoma: a case report.Birt-Hogg-Dubé 综合征伴双侧肾混合性嗜酸细胞瘤/嫌色细胞肿瘤和单侧肾嫌色细胞癌的杂合性胚系 FLCN 突变:病例报告。
J Cancer Res Clin Oncol. 2023 Jun;149(6):2319-2325. doi: 10.1007/s00432-022-04417-z. Epub 2022 Oct 18.

引用本文的文献

1
Glycoprotein nonmetastatic melanoma protein b immunohistochemistry can be a useful ancillary tool to diagnose subependymal giant cell astrocytoma.糖蛋白非转移性黑色素瘤蛋白b免疫组化可作为诊断室管膜下巨细胞星形细胞瘤的有用辅助工具。
Virchows Arch. 2025 May 27. doi: 10.1007/s00428-025-04110-9.
2
PRDM10 RCC: A Birt-Hogg-Dubé-like Syndrome Associated With Lipoma and Highly Penetrant, Aggressive Renal Tumors Morphologically Resembling Type 2 Papillary Renal Cell Carcinoma.PRDM10 RCC:一种与脂肪瘤相关的 Birt-Hogg-Dubé 样综合征,以及具有高度侵袭性、形态上类似于 2 型乳头状肾细胞癌的肾肿瘤。
Urology. 2023 Sep;179:58-70. doi: 10.1016/j.urology.2023.04.035. Epub 2023 Jun 16.
3

本文引用的文献

1
Intratumoral peripheral small papillary tufts: a diagnostic clue of renal tumors associated with Birt-Hogg-Dubé syndrome.肿瘤内外周小乳头状簇:与 Birt-Hogg-Dubé 综合征相关的肾肿瘤的诊断线索。
Ann Diagn Pathol. 2014 Jun;18(3):171-6. doi: 10.1016/j.anndiagpath.2014.03.002. Epub 2014 Mar 29.
2
The International Society of Urological Pathology (ISUP) Vancouver Classification of Renal Neoplasia.国际泌尿病理学会(ISUP)温哥华肾脏肿瘤分类。
Am J Surg Pathol. 2013 Oct;37(10):1469-89. doi: 10.1097/PAS.0b013e318299f2d1.
3
Renal hybrid oncocytic/chromophobe tumors - a review.
TFEB and TFE3 drive kidney cystogenesis and tumorigenesis.
TFEB 和 TFE3 驱动肾囊肿发生和肿瘤发生。
EMBO Mol Med. 2023 May 8;15(5):e16877. doi: 10.15252/emmm.202216877. Epub 2023 Mar 29.
4
Germline- and Somatic-Inactivating FLCN Variants in Parathyroid Cancer and Atypical Parathyroid Tumors.胚系和体细胞失活的 FLCN 变异在甲状旁腺癌和非典型甲状旁腺肿瘤中的作用。
J Clin Endocrinol Metab. 2023 Sep 18;108(10):2686-2698. doi: 10.1210/clinem/dgad136.
5
GPNMB expression identifies TSC1/2/mTOR-associated and MiT family translocation-driven renal neoplasms.GPNMB 表达可识别 TSC1/2/mTOR 相关和 MiT 家族易位驱动的肾脏肿瘤。
J Pathol. 2022 Jun;257(2):158-171. doi: 10.1002/path.5875. Epub 2022 Mar 29.
6
A systematic review assessing the existence of pneumothorax-only variants of FLCN. Implications for lifelong surveillance of renal tumours.系统评价评估有无仅存在气胸的常染色体显性遗传多囊肾病(FLCN)变异型。对肾肿瘤终身监测的影响。
Eur J Hum Genet. 2021 Nov;29(11):1595-1600. doi: 10.1038/s41431-021-00921-x. Epub 2021 Jul 15.
7
Lymphoplasmacytic lymphoma in a patient with Birt-Hogg-Dubé syndrome.Birt-Hogg-Dubé 综合征患者的淋巴浆细胞淋巴瘤。
Int J Hematol. 2020 Dec;112(6):864-870. doi: 10.1007/s12185-020-02970-2. Epub 2020 Aug 12.
8
FLCN alteration drives metabolic reprogramming towards nucleotide synthesis and cyst formation in salivary gland.FLCN 改变驱动唾液腺核苷酸合成和囊泡形成的代谢重编程。
Biochem Biophys Res Commun. 2020 Feb 19;522(4):931-938. doi: 10.1016/j.bbrc.2019.11.184. Epub 2019 Dec 2.
9
Birt-Hogg-Dubé syndrome-associated renal cell carcinoma: Histopathological features and diagnostic conundrum.Birt-Hogg-Dubé 综合征相关性肾细胞癌:组织病理学特征与诊断难题。
Cancer Sci. 2020 Jan;111(1):15-22. doi: 10.1111/cas.14255. Epub 2019 Dec 17.
10
Loss of FLCN inhibits canonical WNT signaling via TFE3.FLCN 的缺失通过 TFE3 抑制经典 WNT 信号通路。
Hum Mol Genet. 2019 Oct 1;28(19):3270-3281. doi: 10.1093/hmg/ddz158.
肾细胞杂交嗜酸细胞/嫌色细胞肿瘤——综述。
Histol Histopathol. 2013 Oct;28(10):1257-64. doi: 10.14670/HH-28.1257. Epub 2013 Jun 6.
4
A de novo FLCN mutation in a patient with spontaneous pneumothorax and renal cancer; a clinical and molecular evaluation.患者自发性气胸和肾癌中一个新的 FLCN 突变;临床和分子评估。
Fam Cancer. 2013 Sep;12(3):373-9. doi: 10.1007/s10689-012-9593-8.
5
Review of renal oncocytosis (multiple oncocytic lesions) with focus on clinical and pathobiological aspects.肾嗜酸细胞瘤(多灶性嗜酸细胞瘤)的综述:重点介绍临床和病理生物学方面。
Histol Histopathol. 2012 Nov;27(11):1407-12. doi: 10.14670/HH-27.1407.
6
Silencing of GPNMB by siRNA inhibits the formation of melanosomes in melanocytes in a MITF-independent fashion.siRNA 沉默 GPNMB 可通过一种 MITF 非依赖的方式抑制黑素细胞中黑素小体的形成。
PLoS One. 2012;7(8):e42955. doi: 10.1371/journal.pone.0042955. Epub 2012 Aug 13.
7
Immunoexpression status and prognostic value of mammalian target of rapamycin and hypoxia-induced pathway members in papillary cell renal cell carcinomas.哺乳动物雷帕霉素靶蛋白和缺氧诱导通路成员在乳头状肾细胞癌中的免疫表达状态和预后价值。
Hum Pathol. 2012 Dec;43(12):2129-37. doi: 10.1016/j.humpath.2012.01.009. Epub 2012 Apr 26.
8
Pulmonary cysts of Birt-Hogg-Dubé syndrome: a clinicopathologic and immunohistochemical study of 9 families.Birt-Hogg-Dubé 综合征的肺囊肿:9 个家系的临床病理和免疫组织化学研究。
Am J Surg Pathol. 2012 Apr;36(4):589-600. doi: 10.1097/PAS.0b013e3182475240.
9
FLCN gene-mutated renal cell neoplasms: mother and daughter cases with a novel germline mutation.FLCN 基因突变型肾细胞肿瘤:母女 2 例伴新的种系突变
Int J Urol. 2012 May;19(5):468-70. doi: 10.1111/j.1442-2042.2011.02945.x. Epub 2011 Dec 29.
10
Renal cancer and pneumothorax risk in Birt-Hogg-Dubé syndrome; an analysis of 115 FLCN mutation carriers from 35 BHD families.Birt-Hogg-Dubé 综合征中肾癌和气胸的风险:35 个 BHD 家族 115 名 FLCN 突变携带者的分析。
Br J Cancer. 2011 Dec 6;105(12):1912-9. doi: 10.1038/bjc.2011.463.