Li Chen, Tu Yan, Liu Ting-Rong, Guo Zhi-Gang, Xie Di, Zhong Jian-Kai, Fan Yong-Zhen, Lai Wen-Yan
Division of Cardiology, Nanfang Hospital, Southern Medical University, Guangzhou, Guangdong 510515, P.R. China.
Division of Nephrology, Nanfang Hospital, Southern Medical University, Guangzhou, Guangdong 510515, P.R. China.
Int J Mol Med. 2015 Mar;35(3):715-23. doi: 10.3892/ijmm.2015.2072. Epub 2015 Jan 19.
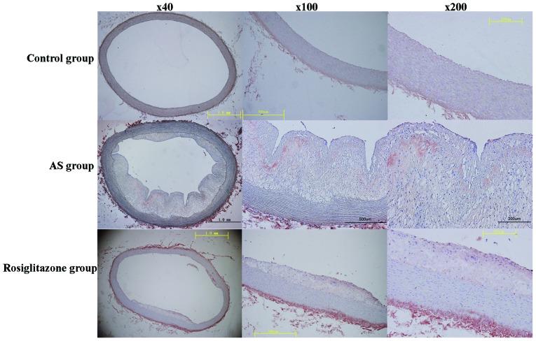
Rosiglitazone has been found to have anti-atherogenic effects and to increase serum high-density lipoprotein (HDL) cholesterol (HDL-C) levels. However, in vivo studies investigating the regulation of adenosine triphosphate-binding cassette transporter A1 (ABCA1) and scavenger receptor class B type I (SR-BI) by rosiglitazone are limited. Moreover, the effects of rosiglitazone on the function and levels of HDL are unclear. In the present study, we investigated the effects of rosiglitazone on HDL function and its mechanisms of action in atherosclerotic rabbits. Our results revealed that rosiglitazone induced a significant increase in serum HDL-C levels, paraoxonase 1 (PON1) activity, [(3)H]cholesterol efflux rates, and the expression of ABCA1 and SR-BI in hepatocytes and peritoneal macrophages. The expression of ABCA1 was also increased in aortic lesions. Rosiglitazone markedly reduced serum myeloperoxidase (MPO) activity, aortic intima-media thickness (IMT) and the percentage of plaque area in the aorta. It can thus be concluded that in atherosclerotic rabbits, rosigitazone increases the levels of HDL-C and hinders atherosclerosis. Thus, it improves HDL quality and function, as well as the HDL-induced cholesterol efflux, exerting anti-inflammatory and antioxidant effects.
罗格列酮已被发现具有抗动脉粥样硬化作用,并能提高血清高密度脂蛋白(HDL)胆固醇(HDL-C)水平。然而,关于罗格列酮对三磷酸腺苷结合盒转运体A1(ABCA1)和B类I型清道夫受体(SR-BI)调节作用的体内研究有限。此外,罗格列酮对HDL功能和水平的影响尚不清楚。在本研究中,我们调查了罗格列酮对动脉粥样硬化兔HDL功能及其作用机制的影响。我们的结果显示,罗格列酮可显著提高血清HDL-C水平、对氧磷酶1(PON1)活性、[(3)H]胆固醇流出率,以及肝细胞和腹腔巨噬细胞中ABCA1和SR-BI的表达。主动脉病变中ABCA1的表达也增加。罗格列酮显著降低血清髓过氧化物酶(MPO)活性、主动脉内膜中层厚度(IMT)和主动脉斑块面积百分比。因此可以得出结论,在动脉粥样硬化兔中,罗格列酮可提高HDL-C水平并阻碍动脉粥样硬化。因此,它改善了HDL的质量和功能,以及HDL诱导的胆固醇流出,发挥抗炎和抗氧化作用。