Suppr超能文献

肝内胆管囊腺瘤合并先天性胆总管囊肿的诊治分析:1例报告并文献复习

Arrangements of hepatobiliary cystadenoma complicated with congenital choledochal cyst: a case report and literature review.

作者信息

Li En-Liang, Shi Shi-Dai, Huang Yong, Wu Lin-Quan

机构信息

From the Second Affiliated Hospital of Nanchang University, Department of Hepatobiliary Surgery, Nanchang, Jiangxi Province, China (EL,SD,XY, LW).

出版信息

Medicine (Baltimore). 2015 Jan;94(3):e400. doi: 10.1097/MD.0000000000000400.

Abstract

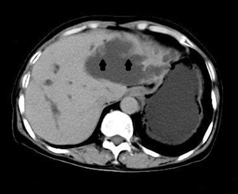
Hepatobiliary cystadenoma complication with congenital choledochal cyst is extremely rare and has never been reported in literatures so far.The aim of the study was to investigate the disease arrangements by analyzing the case and performing a systematic review of the literature.This case report documents the details and clear patterns of the patient. A 65-year-old woman with fever (39.2°C), nausea, vomiting, and chronic hepatitis B imaging demonstrated a left hepatic multilocular cystic mass and cystic dilated common bile duct.A regular left hemihepatectomy was performed with resection of the entire tumor and choledochal cyst.The surgical margins were negative and a final diagnosis of hepatobiliary cystadenoma complicated with congenital choledochal cyst was established. The patient had an uneventful postoperative recovery and liver function returned to normal levels.Main lessons learned from this case are: the awareness should be raised about the disease to avoid misdiagnosis; preoperative ultrasonography, computed tomography, magnetic resonance imaging, and magnetic resonance cholangiopancreatography play an important role in detecting the lesion; the scope and timing of the surgery should be determined, which provide the chance of cure to complete resection of the tumor.

摘要

肝内胆管囊腺瘤合并先天性胆管囊肿极为罕见,迄今为止文献中尚未见报道。本研究旨在通过分析该病例并对文献进行系统回顾来探讨疾病的情况。本病例报告记录了患者的详细情况及明确特征。一名65岁女性,伴有发热(39.2℃)、恶心、呕吐,慢性乙型肝炎影像学检查显示左肝多房囊性肿块及胆总管囊性扩张。行规则性左半肝切除术,完整切除肿瘤及胆管囊肿。手术切缘阴性,最终诊断为肝内胆管囊腺瘤合并先天性胆管囊肿。患者术后恢复顺利,肝功能恢复至正常水平。从此病例中得到的主要经验教训是:应提高对该疾病的认识以避免误诊;术前超声、计算机断层扫描、磁共振成像及磁共振胰胆管造影在检测病变方面发挥重要作用;应确定手术范围和时机,这为肿瘤的完整切除提供治愈机会。

https://cdn.ncbi.nlm.nih.gov/pmc/blobs/efb5/4602646/11846a35fc07/medi-94-e400-g002.jpg

文献AI研究员

20分钟写一篇综述,助力文献阅读效率提升50倍。

立即体验

用中文搜PubMed

大模型驱动的PubMed中文搜索引擎

马上搜索

文档翻译

学术文献翻译模型,支持多种主流文档格式。

立即体验