Suppr超能文献

毛细胞缺失后螺旋神经节退变过程中小鼠耳蜗中EFR3A的表达。

Expression of EFR3A in the mouse cochlea during degeneration of spiral ganglion following hair cell loss.

作者信息

Nie Chen, Hu Haixia, Shen Chenling, Ye Bin, Wu Hao, Xiang Mingliang

机构信息

Department of Otolaryngology & Head and Neck Surgery, Xinhua Hospital, Shanghai Jiao Tong University School of Medicine, Shanghai, China; Ear Institute, Shanghai Jiao Tong University School of Medicine, Shanghai, China.

出版信息

PLoS One. 2015 Jan 26;10(1):e0117345. doi: 10.1371/journal.pone.0117345. eCollection 2015.

Abstract

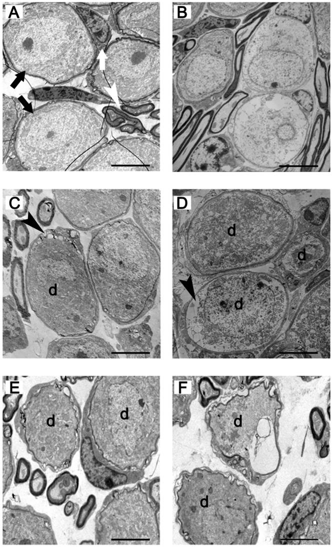
Retrograde degeneration of spiral ganglion cells in the cochlea following hair cell loss is similar to dying back in pathology. The EFR3A gene has recently been discovered to be involved in the pathogenesis of dying back. The relationship of EFR3A and spiral ganglion degeneration, however, was rarely investigated. In this study, we destroyed the hair cells of the mouse cochlea by co-administration of kanamycin and furosemide and then investigated the EFR3A expression during the induced spiral ganglion cell degeneration. Our results revealed that co-administration of kanamycin and furosemide quickly induced hair cell loss in the C57BL/6J mice and then resulted in progressive degeneration of the spiral ganglion beginning at day 5 following drug administration. The number of the spiral ganglion cells began to decrease at day 15. The expression of EFR3A increased remarkably in the spiral ganglion at day 5 and then decreased to near normal level within the next 10 days. Our study suggested that the change of EFR3A expression in the spiral ganglion was coincident with the time of the spiral ganglion degeneration, which implied that high expression of EFR3A may be important to prompt initiation of spiral ganglion degeneration following hair cell loss.

摘要

毛细胞缺失后耳蜗螺旋神经节细胞的逆行性退变在病理学上类似于轴突回返性死亡。最近发现EFR3A基因与轴突回返性死亡的发病机制有关。然而,EFR3A与螺旋神经节退变之间的关系鲜有研究。在本研究中,我们通过联合使用卡那霉素和速尿破坏小鼠耳蜗的毛细胞,然后研究诱导螺旋神经节细胞退变过程中EFR3A的表达。我们的结果显示,联合使用卡那霉素和速尿可迅速导致C57BL/6J小鼠毛细胞缺失,随后在给药后第5天开始导致螺旋神经节进行性退变。螺旋神经节细胞数量在第15天开始减少。EFR3A的表达在第5天螺旋神经节中显著增加,然后在接下来的10天内降至接近正常水平。我们的研究表明,螺旋神经节中EFR3A表达的变化与螺旋神经节退变的时间一致,这意味着EFR3A的高表达可能对促使毛细胞缺失后螺旋神经节退变的起始很重要。

https://cdn.ncbi.nlm.nih.gov/pmc/blobs/97c1/4306511/3cc8beaf725e/pone.0117345.g001.jpg

文献AI研究员

20分钟写一篇综述,助力文献阅读效率提升50倍。

立即体验

用中文搜PubMed

大模型驱动的PubMed中文搜索引擎

马上搜索

文档翻译

学术文献翻译模型,支持多种主流文档格式。

立即体验