Suppr超能文献

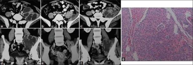
Iliopsoas abscess due to brenner tumor malignancy: a case report.

作者信息

Zou Ming-Xiang, Li Jing, Lyu Guo-Hua

机构信息

Department of Spine Surgery, The Second Xiangya Hospital, Central South University, Changsha, Hunan 410011, China.

出版信息

Chin Med J (Engl). 2015 Feb 5;128(3):423-4. doi: 10.4103/0366-6999.150126.

Abstract
摘要
https://cdn.ncbi.nlm.nih.gov/pmc/blobs/2aaf/4837883/fee9e8fa4dff/CMJ-128-423-g001.jpg

文献检索

告别复杂PubMed语法,用中文像聊天一样搜索,搜遍4000万医学文献。AI智能推荐,让科研检索更轻松。

立即免费搜索

文件翻译

保留排版,准确专业,支持PDF/Word/PPT等文件格式,支持 12+语言互译。

免费翻译文档

深度研究

AI帮你快速写综述,25分钟生成高质量综述,智能提取关键信息,辅助科研写作。

立即免费体验