Szende B, Zalatnai A, Schally A V
Endocrine, Polypeptide and Cancer Institute, Veterans Administration Medical Center, New Orleans, LA 70146.
Proc Natl Acad Sci U S A. 1989 Mar;86(5):1643-7. doi: 10.1073/pnas.86.5.1643.
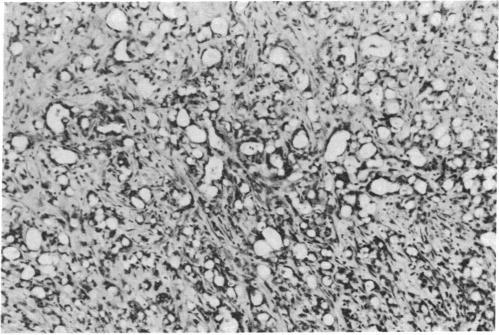
Female Syrian golden hamsters with N-nitrosobis(2-oxopropyl)amine (BOP)-induced ductal pancreatic cancers were treated with long-acting microcapsular preparations of the 6-D-tryptophan analog of luteinizing hormone-releasing hormone [( D-Trp6]LH-RH), releasing 25 micrograms/day; the somatostatin analog D-Phe-Cys-Tyr-D-Trp-Lys-Val-Cys-Trp-NH2 (RC-160), liberating 15 micrograms/day; and the combination of these two peptides. Therapy with analogs was initiated 24 weeks after initial administration of BOP. These treatments resulted in significantly better survival of all animals as compared to BOP controls; body weights of surviving peptide-treated animals were significantly higher than those of the BOP controls. All 15 BOP-control animals had pancreatic cancers. In the group treated with RC-160 four hamsters were free of tumors, whereas therapy with [D-Trp6]LH-RH resulted in seven tumor-free animals, and combination of RC-160 and [D-Trp6]LH-RH resulted in eight tumor-free animals from groups of 15. Only preblastomatous lesions were found in these animals. Average tumor weight of animals in all peptide-treated groups, sacrificed 60 days after beginning the peptide treatment, was significantly lower than that of BOP controls. No significant differences were seen between the various peptide-treated groups. Histologically, analog-treated tumors of hamsters showed striking regressive changes characteristic of programmed cell death (apoptosis). This apoptosis presumably resulted from hormonal effects on tumor cells from prolonged treatment with these analogs of hypothalamic hormones. Our present data confirm the beneficial effect of long-acting microcapsules of [D-Trp6]LH-RH and RC-160 on pancreatic carcinoma and suggest a mode of action for these peptides. The feasibility of applying this treatment with analogs of hypothalamic hormones to human pancreatic carcinoma can be envisioned from these studies.
用N-亚硝基双(2-氧代丙基)胺(BOP)诱导产生导管胰腺癌的雌性叙利亚金黄地鼠,接受了促黄体生成素释放激素的6-D-色氨酸类似物([D-Trp6]LH-RH)长效微囊制剂治疗,每天释放25微克;生长抑素类似物D-Phe-Cys-Tyr-D-Trp-Lys-Val-Cys-Trp-NH2(RC-160),每天释放15微克;以及这两种肽的组合。在首次给予BOP 24周后开始用类似物进行治疗。与BOP对照组相比,这些治疗使所有动物的存活率显著提高;存活的接受肽治疗的动物体重明显高于BOP对照组。所有15只BOP对照动物都患有胰腺癌。在接受RC-160治疗的组中,4只仓鼠没有肿瘤,而用[D-Trp6]LH-RH治疗导致7只动物无肿瘤,RC-160和[D-Trp6]LH-RH联合治疗在15只动物的组中产生了8只无肿瘤动物。在这些动物中仅发现了瘤前病变。在开始肽治疗60天后处死的所有肽治疗组动物的平均肿瘤重量明显低于BOP对照组。不同肽治疗组之间未观察到显著差异。组织学上,仓鼠经类似物治疗的肿瘤显示出程序性细胞死亡(凋亡)特有的显著退行性变化。这种凋亡可能是由于用这些下丘脑激素类似物长期治疗对肿瘤细胞产生的激素作用所致。我们目前的数据证实了[D-Trp6]LH-RH和RC-160长效微囊对胰腺癌具有有益作用,并提示了这些肽的作用方式。从这些研究中可以设想将这种下丘脑激素类似物治疗应用于人类胰腺癌的可行性。