Ju Bensheng, Chen Wenbiao, Orr Brent A, Spitsbergen Jan M, Jia Sujuan, Eden Christopher J, Henson Hannah E, Taylor Michael R
Department of Chemical Biology & Therapeutics, St. Jude Children's Research Hospital, Memphis, TN, 38105, USA.
Department of Molecular Physiology & Biophysics, Vanderbilt University School of Medicine, Nashville, TN, 37232, USA.
Mol Cancer. 2015 Feb 3;14(1):18. doi: 10.1186/s12943-015-0288-2.
Zebrafish have been used as a vertebrate model to study human cancers such as melanoma, rhabdomyosarcoma, liver cancer, and leukemia as well as for high-throughput screening of small molecules of therapeutic value. However, they are just emerging as a model for human brain tumors, which are among the most devastating and difficult to treat. In this study, we evaluated zebrafish as a brain tumor model by overexpressing a human version of oncogenic KRAS (KRAS(G12V)).
Using zebrafish cytokeratin 5 (krt5) and glial fibrillary acidic protein (gfap) gene promoters, we activated Ras signaling in the zebrafish central nervous system (CNS) through transient and stable transgenic overexpression. Immunohistochemical analyses were performed to identify activated pathways in the resulting brain tumors. The effects of the MEK inhibitor U0126 on oncogenic KRAS were evaluated.
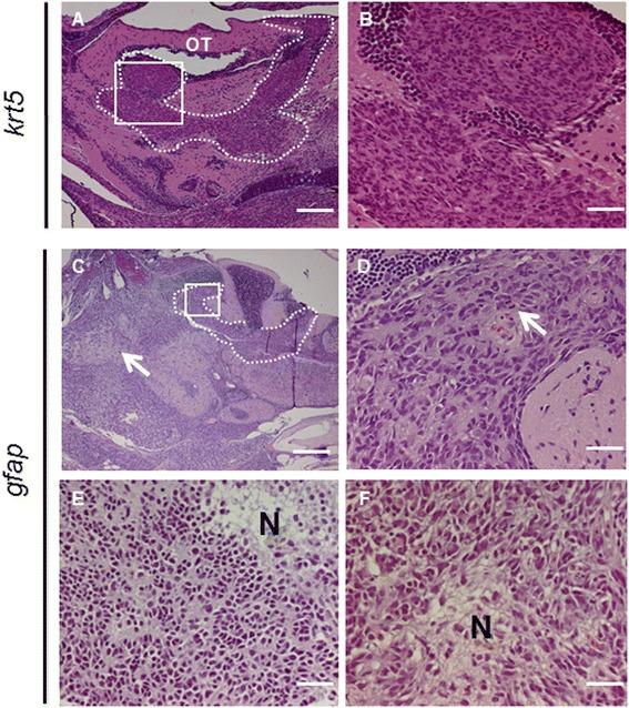
We demonstrated that transient transgenic expression of KRAS(G12V) in putative neural stem and/or progenitor cells induced brain tumorigenesis. When expressed under the control of the krt5 gene promoter, KRAS(G12V) induced brain tumors in ventricular zones (VZ) at low frequency. The majority of other tumors were composed mostly of spindle and epithelioid cells, reminiscent of malignant peripheral nerve sheath tumors (MPNSTs). In contrast, when expressed under the control of the gfap gene promoter, KRAS(G12V) induced brain tumors in both VZs and brain parenchyma at higher frequency. Immunohistochemical analyses indicated prominent activation of the canonical RAS-RAF-ERK pathway, variable activation of the mTOR pathway, but no activation of the PI3K-AKT pathway. In a krt5-derived stable and inducible transgenic line, expression of oncogenic KRAS resulted in skin hyperplasia, and the MEK inhibitor U0126 effectively suppressed this pro-proliferative effects. In a gfap-derived stable and inducible line, expression of oncogenic KRAS led to significantly increased mitotic index in the spinal cord.
Our studies demonstrate that zebrafish could be explored to study cellular origins and molecular mechanisms of brain tumorigenesis and could also be used as a platform for studying human oncogene function and for discovering oncogenic RAS inhibitors.
斑马鱼已被用作脊椎动物模型来研究人类癌症,如黑色素瘤、横纹肌肉瘤、肝癌和白血病,也用于高通量筛选具有治疗价值的小分子。然而,它们刚刚开始成为人类脑肿瘤的模型,脑肿瘤是最具破坏性且最难治疗的肿瘤之一。在本研究中,我们通过过表达人类致癌性KRAS(KRAS(G12V))来评估斑马鱼作为脑肿瘤模型的情况。
利用斑马鱼细胞角蛋白5(krt5)和胶质纤维酸性蛋白(gfap)基因启动子,通过瞬时和稳定转基因过表达在斑马鱼中枢神经系统(CNS)中激活Ras信号通路。进行免疫组织化学分析以鉴定所产生脑肿瘤中的激活途径。评估MEK抑制剂U0126对致癌性KRAS的作用。
我们证明,在假定的神经干细胞和/或祖细胞中瞬时转基因表达KRAS(G12V)可诱导脑肿瘤发生。当在krt5基因启动子的控制下表达时,KRAS(G12V)在脑室区(VZ)以低频率诱导脑肿瘤。大多数其他肿瘤主要由梭形细胞和上皮样细胞组成,让人联想到恶性周围神经鞘瘤(MPNSTs)。相比之下,当在gfap基因启动子的控制下表达时,KRAS(G12V)在VZ和脑实质中以更高频率诱导脑肿瘤。免疫组织化学分析表明经典的RAS-RAF-ERK途径显著激活,mTOR途径有可变激活,但PI3K-AKT途径未激活。在一个源自krt5的稳定且可诱导的转基因品系中,致癌性KRAS的表达导致皮肤增生,MEK抑制剂U0126有效抑制了这种促增殖作用。在一个源自gfap的稳定且可诱导的品系中,致癌性KRAS的表达导致脊髓有丝分裂指数显著增加。
我们的研究表明,斑马鱼可用于探索脑肿瘤发生的细胞起源和分子机制,也可作为研究人类癌基因功能和发现致癌性RAS抑制剂的平台。