Suppr超能文献

单侧肺发育不全:一种罕见病症。

Unilateral agenesis of the lung: a rare entity.

作者信息

Singh Urvinderpal, Jhim Daksh, Kumar Sunil, Mittal Vidhu, Singh Navdeep, Gour Hitesh, Ramaraj Muralidharan

机构信息

Department of Pulmonary Medicine, Government Medical College, Patiala, Punjab, India.

出版信息

Am J Case Rep. 2015 Feb 8;16:69-72. doi: 10.12659/AJCR.892385.

Abstract

BACKGROUND

Agenesis of the lung, a rare congenital anomaly, arises or develops when there is disruption of evolution of the primitive lung bud, leading to complete absence of the lung, bronchi, and the main pulmonary artery. With right-sided agenesis, a variety of cardiac and other congenital malformations are more commonly seen, leading to a poor prognosis.

CASE REPORT

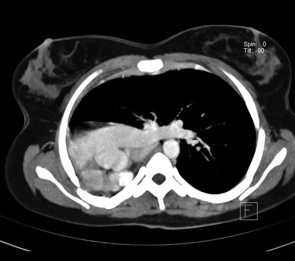
A young female, aged 15 years, presented with complaints of sore throat and cough. Her x-ray of the chest showed a homogeneous opacity in the middle and lower zones on the right side with marked shift of the mediastinum to the right side. Upon investigation, she was diagnosed with agenesis of the right lung with scoliosis, without any other congenital anomaly.

CONCLUSIONS

Especially in adults, it requires a high level of good clinical judgement to identify and diagnose this congenital aberration, as they are often wrongly diagnosed as more common diseases associated with unilateral opaque hemithorax on x-ray. Hence, when confronted with an opaque hemithorax with shift of the mediastinum to the affected side in a young person, "agenesis of the lung" should be an important differential diagnosis while investigating the case.

摘要

背景

肺不发育是一种罕见的先天性异常,当原始肺芽的发育过程受到干扰时就会出现或发生,导致肺、支气管和主肺动脉完全缺失。右侧肺不发育时,更常出现各种心脏及其他先天性畸形,预后较差。

病例报告

一名15岁年轻女性,主诉咽痛和咳嗽。她的胸部X光显示右侧中下部区域有均匀的不透光区,纵隔明显向右侧移位。经检查,她被诊断为右肺不发育伴脊柱侧弯,无其他先天性异常。

结论

尤其是在成年人中,识别和诊断这种先天性畸形需要高水平的良好临床判断力,因为在X光检查中,它们常常被误诊为与单侧不透光半胸相关的更常见疾病。因此,当遇到年轻人出现不透光半胸且纵隔向患侧移位时,在调查病例时,“肺不发育”应作为重要的鉴别诊断。

https://cdn.ncbi.nlm.nih.gov/pmc/blobs/bf75/4324577/8993482b540c/amjcaserep-16-69-g001.jpg

相似文献

1
Unilateral agenesis of the lung: a rare entity.
Am J Case Rep. 2015 Feb 8;16:69-72. doi: 10.12659/AJCR.892385.
3
CT features of lung agenesis - a case series (6 cases).
BMC Med Imaging. 2018 Oct 30;18(1):37. doi: 10.1186/s12880-018-0281-5.
4
Adult presentation of asymptomatic right lung agenesis: a rare anatomical variation.
Surg Radiol Anat. 2019 Feb;41(2):247-249. doi: 10.1007/s00276-018-2130-1. Epub 2018 Nov 7.
5
An adult patient presenting with right unilateral pulmonary agenesis: a case report and literature review.
Surg Radiol Anat. 2020 Nov;42(11):1299-1301. doi: 10.1007/s00276-020-02467-x. Epub 2020 Apr 7.
6
[Right upper lobe pulmonary agenesis].
Rev Mal Respir. 2013 May;30(5):420-3. doi: 10.1016/j.rmr.2013.01.012. Epub 2013 Mar 15.
7
Unilateral pulmonary agenesis: an uncommon cause of lower zone lung opacity.
Indian J Chest Dis Allied Sci. 2005 Jan-Mar;47(1):53-6.
8
Adult male with non-resolving opacity in the right hemithorax.
Pan Afr Med J. 2014 Dec 1;19:339. doi: 10.11604/pamj.2014.19.339.5290. eCollection 2014.
9
Pulmonary Agenesis.
Indian J Chest Dis Allied Sci. 2015 Oct-Dec;57(4):251-3.
10
Left Pulmonary Agenesis with Right Lung Bronchiectasis in an Adult.
J Clin Diagn Res. 2016 Sep;10(9):OD15-OD17. doi: 10.7860/JCDR/2016/21623.8547. Epub 2016 Sep 1.

本文引用的文献

1
A Case of Absence of the Left Lung.
Ind Med Gaz. 1923 Jun;58(6):262.
2
Unilateral pulmonary agenesis presenting in adulthood.
Respir Med Case Rep. 2012;5:81-3. doi: 10.1016/j.rmedc.2011.05.003. Epub 2011 Aug 10.
3
Agenesis of the lung.
Ann Card Anaesth. 2013 Apr-Jun;16(2):151-2. doi: 10.4103/0971-9784.109775.
4
Developmental anomalies of the lungs.
Am J Surg. 1955 Jan;89(1):79-89. doi: 10.1016/0002-9610(55)90510-9.
6
Pulmonary agenesis: a predictor of ipsilateral malformations.
Am J Med Genet. 1997 Jun 27;70(4):391-8. doi: 10.1002/(sici)1096-8628(19970627)70:4<391::aid-ajmg11>3.0.co;2-c.
7
Agenesis of the lung associated with a chromosome abnormality (46,XX,2p+).
J Med Genet. 1980 Dec;17(6):477-8. doi: 10.1136/jmg.17.6.477.
8
Congenital developmental arrest of the lung.
Ann Thorac Surg. 1970 Oct;10(4):317-26. doi: 10.1016/s0003-4975(10)65608-1.
9
Unilateral pulmonary agenesis.
Arch Dis Child. 1967 Aug;42(224):361-74. doi: 10.1136/adc.42.224.361.
10
Pulmonary agenesis as part of the VACTERL sequence.
Arch Dis Child. 1988 Jul;63(7 Spec No):723-6. doi: 10.1136/adc.63.7_spec_no.723.

文献AI研究员

20分钟写一篇综述,助力文献阅读效率提升50倍。

立即体验

用中文搜PubMed

大模型驱动的PubMed中文搜索引擎

马上搜索

文档翻译

学术文献翻译模型,支持多种主流文档格式。

立即体验