• 文献检索
  • 文档翻译
  • 深度研究
  • 学术资讯
  • Suppr Zotero 插件Zotero 插件
  • 邀请有礼
  • 套餐&价格
  • 历史记录
应用&插件
Suppr Zotero 插件Zotero 插件浏览器插件Mac 客户端Windows 客户端微信小程序
定价
高级版会员购买积分包购买API积分包
服务
文献检索文档翻译深度研究API 文档MCP 服务
关于我们
关于 Suppr公司介绍联系我们用户协议隐私条款
关注我们

Suppr 超能文献

核心技术专利:CN118964589B侵权必究
粤ICP备2023148730 号-1Suppr @ 2026

文献检索

告别复杂PubMed语法,用中文像聊天一样搜索,搜遍4000万医学文献。AI智能推荐,让科研检索更轻松。

立即免费搜索

文件翻译

保留排版,准确专业,支持PDF/Word/PPT等文件格式,支持 12+语言互译。

免费翻译文档

深度研究

AI帮你快速写综述,25分钟生成高质量综述,智能提取关键信息,辅助科研写作。

立即免费体验

经颅直接穿刺脑膜中动脉用于累及上矢状窦的硬脑膜动静脉瘘的Onyx栓塞术

Transcranial direct middle meningeal artery puncture for the onyx embolization of dural arteriovenous fistula involving the superior sagittal sinus.

作者信息

Oh Jae-Sang, Yoon Seok-Mann, Shim Jai-Joon, Bae Hack-Gun

机构信息

Department of Neurosurgery, Soonchunhyang University Cheonan Hospital, Cheonan, Korea.

出版信息

J Korean Neurosurg Soc. 2015 Jan;57(1):54-7. doi: 10.3340/jkns.2015.57.1.54. Epub 2015 Jan 31.

DOI:10.3340/jkns.2015.57.1.54
PMID:25674345
原文链接:https://pmc.ncbi.nlm.nih.gov/articles/PMC4323506/
Abstract

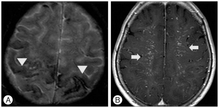
A 66-year-old woman presented with intermittent paraparesis and generalized tonic-clonic seizure. Cerebral angiography demonstrated dural arteriovenous fistula (AVF) involving superior sagittal sinus (SSS), which was associated with SSS occlusion on the posterior one third. The dural AVF was fed by bilateral middle meningeal arteries (MMAs), superficial temporal arteries (STAs) and occipital arteries with marked retrograde cortical venous reflux. Transfemoral arterial Onyx embolization was performed through right MMA and STA, but it was not successful, which resulted in partial obliteration of dural AVF because of tortuous MMA preventing the microcatheter from reaching the fistula closely enough. Second procedure was performed through left MMA accessed by direct MMA puncture following small decortications of cranium overlying the MMA using diamond drill one week later. Microcatheter could be located far distally to the fistula through 5 F sheath placed into the MMA and complete obliteration of dural AVF was achieved using 3.9 cc of Onyx.

摘要

一名66岁女性出现间歇性双下肢轻瘫和全身性强直阵挛发作。脑血管造影显示硬脑膜动静脉瘘(AVF)累及上矢状窦(SSS),且与后三分之一的上矢状窦闭塞有关。该硬脑膜AVF由双侧脑膜中动脉(MMA)、颞浅动脉(STA)和枕动脉供血,伴有明显的皮质静脉逆行回流。通过右侧MMA和STA进行了经股动脉Onyx栓塞,但未成功,由于MMA迂曲,微导管无法足够接近瘘口,导致硬脑膜AVF部分闭塞。一周后,使用金刚石钻头在覆盖MMA的颅骨上进行小范围去骨皮质后,通过直接穿刺MMA进入左侧MMA进行了第二次手术。通过置于MMA的5F鞘管,微导管能够置于瘘口远端,使用3.9 cc Onyx实现了硬脑膜AVF的完全闭塞。

https://cdn.ncbi.nlm.nih.gov/pmc/blobs/eda6/4323506/fd526aa491ae/jkns-57-54-g006.jpg
https://cdn.ncbi.nlm.nih.gov/pmc/blobs/eda6/4323506/a0f1dda846c1/jkns-57-54-g001.jpg
https://cdn.ncbi.nlm.nih.gov/pmc/blobs/eda6/4323506/a571902855aa/jkns-57-54-g002.jpg
https://cdn.ncbi.nlm.nih.gov/pmc/blobs/eda6/4323506/d04705a87a91/jkns-57-54-g003.jpg
https://cdn.ncbi.nlm.nih.gov/pmc/blobs/eda6/4323506/ee3212beaf76/jkns-57-54-g004.jpg
https://cdn.ncbi.nlm.nih.gov/pmc/blobs/eda6/4323506/562a1a5fd560/jkns-57-54-g005.jpg
https://cdn.ncbi.nlm.nih.gov/pmc/blobs/eda6/4323506/fd526aa491ae/jkns-57-54-g006.jpg
https://cdn.ncbi.nlm.nih.gov/pmc/blobs/eda6/4323506/a0f1dda846c1/jkns-57-54-g001.jpg
https://cdn.ncbi.nlm.nih.gov/pmc/blobs/eda6/4323506/a571902855aa/jkns-57-54-g002.jpg
https://cdn.ncbi.nlm.nih.gov/pmc/blobs/eda6/4323506/d04705a87a91/jkns-57-54-g003.jpg
https://cdn.ncbi.nlm.nih.gov/pmc/blobs/eda6/4323506/ee3212beaf76/jkns-57-54-g004.jpg
https://cdn.ncbi.nlm.nih.gov/pmc/blobs/eda6/4323506/562a1a5fd560/jkns-57-54-g005.jpg
https://cdn.ncbi.nlm.nih.gov/pmc/blobs/eda6/4323506/fd526aa491ae/jkns-57-54-g006.jpg

相似文献

1
Transcranial direct middle meningeal artery puncture for the onyx embolization of dural arteriovenous fistula involving the superior sagittal sinus.经颅直接穿刺脑膜中动脉用于累及上矢状窦的硬脑膜动静脉瘘的Onyx栓塞术
J Korean Neurosurg Soc. 2015 Jan;57(1):54-7. doi: 10.3340/jkns.2015.57.1.54. Epub 2015 Jan 31.
2
Onyx removal after embolization of a superior sagittal sinus dural arteriovenous fistula involving scalp artery.涉及头皮动脉的上矢状窦硬脑膜动静脉瘘栓塞术后的Onyx移除。
Surg Neurol Int. 2016 Jun 3;7(Suppl 14):S410-4. doi: 10.4103/2152-7806.183518. eCollection 2016.
3
A Comprehensive Analysis of Dural Arteriovenous Fistula Involving the Superior Sagittal Sinus: A Systematic Review.累及上矢状窦的硬脑膜动静脉瘘的综合分析:一项系统评价
J Neuroendovasc Ther. 2021;15(1):1-7. doi: 10.5797/jnet.ra.2020-0085. Epub 2020 Sep 8.
4
Feasibility and Effectiveness of Direct Puncture and Onyx Embolization for Transverse Sinus Dural Arteriovenous Fistula.经皮直接穿刺和 Onyx 栓塞治疗横窦硬脑膜动静脉瘘的可行性和有效性。
Yonsei Med J. 2019 Nov;60(11):1112-1115. doi: 10.3349/ymj.2019.60.11.1112.
5
Transarterial Embolization of Dural Arteriovenous Fistula in Superior Sagittal Sinus Under Bilateral External Carotid Artery Flow Control: Technical Note.经双侧颈外动脉血流控制下行上矢状窦硬脑膜动静脉瘘的动脉栓塞治疗:技术说明。
World Neurosurg. 2019 Oct;130:227-230. doi: 10.1016/j.wneu.2019.07.012. Epub 2019 Jul 8.
6
Torcular dural AVF: Transvenous onyx embolisation with sinus reconstruction.硬脑膜动静脉瘘 Torcular:经静脉栓塞并用窦重建术。
Clin Neurol Neurosurg. 2023 Aug;231:107795. doi: 10.1016/j.clineuro.2023.107795. Epub 2023 May 22.
7
Onyx Embolization of Dural Arteriovenous Fistula, using Scepter C Balloon Catheter: a Case Report.使用Scepter C球囊导管对硬脑膜动静脉瘘进行Onyx栓塞:病例报告
Neurointervention. 2013 Sep;8(2):110-4. doi: 10.5469/neuroint.2013.8.2.110. Epub 2013 Aug 29.
8
Embolization of a Dural Arteriovenous Fistula Using Transcranial Middle Meningeal Artery Access: 2-Dimensional Operative Video.经颅中脑膜动脉入路栓塞硬脑膜动静脉瘘:二维手术视频。
World Neurosurg. 2022 Nov;167:4. doi: 10.1016/j.wneu.2022.08.004. Epub 2022 Aug 9.
9
Middle meningeal artery: Gateway for effective transarterial Onyx embolization of dural arteriovenous fistulas.脑膜中动脉:硬脑膜动静脉瘘有效经动脉使用奥尼克斯栓塞术的通道。
Clin Anat. 2016 Sep;29(6):718-28. doi: 10.1002/ca.22733. Epub 2016 Jun 7.
10
Treatment of a superior sagittal sinus dural arteriovenous fistula with Onyx: technical case report.使用Onyx治疗上矢状窦硬脑膜动静脉瘘:技术病例报告
Neurosurgery. 2006 Jul;59(1 Suppl 1):ONSE169-70; discussion ONSE169-70. doi: 10.1227/01.NEU.0000220113.34075.40.

引用本文的文献

1
The many faces of middle meningeal artery: A comprehensive review of anomalous variations and endovascular implications.脑膜中动脉的多样形态:对异常变异及血管内介入意义的全面综述
Neuroradiol J. 2025 Jun 4:19714009251347828. doi: 10.1177/19714009251347828.
2
An In Situ Curing, Shear-Responsive Biomaterial Designed for Durable Embolization of Microvasculature.一种用于微血管持久栓塞的原位固化、剪切响应生物材料。
Adv Healthc Mater. 2025 Jun;14(15):e2404011. doi: 10.1002/adhm.202404011. Epub 2025 Mar 11.
3
Retrograde Middle Meningeal Artery Embolization through Mini Craniotomy for Subdural Hematoma Evacuation: A Technical Note.

本文引用的文献

1
Dural arteriovenous fistula involving an isolated sinus treated using transarterial onyx embolization.采用经动脉Onyx栓塞术治疗累及孤立静脉窦的硬脑膜动静脉瘘。
J Korean Neurosurg Soc. 2012 Nov;52(5):480-3. doi: 10.3340/jkns.2012.52.5.480. Epub 2012 Nov 30.
2
Intracranial dural arteriovenous fistulas: clinical characteristics and management based on location and hemodynamics.颅内硬脑膜动静脉瘘:基于位置和血流动力学的临床特征与治疗
J Cerebrovasc Endovasc Neurosurg. 2012 Sep;14(3):192-202. doi: 10.7461/jcen.2012.14.3.192. Epub 2012 Sep 28.
3
Superior sagittal sinus dural arteriovenous fistulas treated by stent placement for an occluded sinus and transarterial embolization. A case report.
经微创开颅术行逆行性脑膜中动脉栓塞术用于硬膜下血肿清除:技术说明
Neurointervention. 2024 Nov;19(3):174-179. doi: 10.5469/neuroint.2024.00297. Epub 2024 Oct 18.
4
Alternative hybrid access in endovascular neurosurgery: Scoping review and technical considerations.血管内神经外科手术中的替代混合入路:范围综述与技术考量
Interv Neuroradiol. 2024 Sep 16:15910199241282352. doi: 10.1177/15910199241282352.
5
Anomalous branching of the middle meningeal artery from the basilar artery: a systematic review.脑膜中动脉自基底动脉异常分支:一项系统综述
Front Neurol. 2024 Jan 23;14:1301426. doi: 10.3389/fneur.2023.1301426. eCollection 2023.
6
Direct superficial temporal artery access for middle meningeal artery embolization.颞浅动脉直接入路用于脑膜中动脉栓塞术。
Interv Neuroradiol. 2024 Jan 9:15910199231225832. doi: 10.1177/15910199231225832.
7
A Comprehensive Analysis of Dural Arteriovenous Fistula Involving the Superior Sagittal Sinus: A Systematic Review.累及上矢状窦的硬脑膜动静脉瘘的综合分析:一项系统评价
J Neuroendovasc Ther. 2021;15(1):1-7. doi: 10.5797/jnet.ra.2020-0085. Epub 2020 Sep 8.
8
Usefulness of an Electromagnetic Navigation System for Direct Percutaneous Puncture of the Superior Ophthalmic Vein.电磁导航系统在经皮直接穿刺眼上静脉中的应用价值
J Neuroendovasc Ther. 2021;15(1):64-70. doi: 10.5797/jnet.tn.2020-0067. Epub 2020 Sep 1.
9
Direct Puncture of the Superficial Temporal Artery in Embolization of a Scalp Arteriovenous Fistula: A Case Report.头皮动静脉瘘栓塞术中颞浅动脉直接穿刺:一例报告
Neurointervention. 2023 Mar;18(1):67-71. doi: 10.5469/neuroint.2022.00465. Epub 2023 Jan 31.
10
Role of surgery in management of intracranial dural arteriovenous fistulas.手术在颅内硬脑膜动静脉瘘治疗中的作用。
J Cerebrovasc Endovasc Neurosurg. 2023 Jun;25(2):117-131. doi: 10.7461/jcen.2023.E2022.10.006. Epub 2023 Jan 4.
经支架置入治疗闭塞性上矢状窦硬脑膜动静脉瘘及经动脉栓塞:一例报告
Interv Neuroradiol. 2012 Sep;18(3):333-40. doi: 10.1177/159101991201800314. Epub 2012 Sep 10.
4
Stereotactic radiosurgery for cerebral dural arteriovenous fistulas.立体定向放射外科治疗颅内硬脑膜动静脉瘘。
Neurosurg Focus. 2012 May;32(5):E18. doi: 10.3171/2012.1.FOCUS11354.
5
Complete Cure of Superior Sagittal Sinus Dural Arteriovenous Fistulas by Transvenous Embolization through the Thrombosed Sinus in a Single Therapeutic Session. A Case Report.经血栓形成的上矢状窦单次经静脉栓塞完全治愈上矢状窦硬脑膜动静脉瘘。病例报告
Interv Neuroradiol. 2008 Sep 30;14(3):319-24. doi: 10.1177/159101990801400313. Epub 2008 Oct 8.
6
Surgical treatment of high-risk intracranial dural arteriovenous fistulae: clinical outcomes and avoidance of complications.高危颅内硬脑膜动静脉瘘的外科治疗:临床结果及并发症的避免
Neurosurgery. 2007 Sep;61(3):447-57; discussion 457-9. doi: 10.1227/01.NEU.0000290889.62201.7F.
7
Transcranial embolization of a transverse-sigmoid sinus dural arteriovenous fistula carried out through a decompressive craniectomy.经减压颅骨切除术对横窦-乙状窦硬脑膜动静脉瘘进行经颅栓塞术。
Acta Neurochir (Wien). 2007 Feb;149(2):197-200; discussion 200. doi: 10.1007/s00701-006-0910-6. Epub 2006 Nov 13.
8
Treatment of intracranial dural arteriovenous fistulas: current strategies based on location and hemodynamics, and alternative techniques of transcatheter embolization.颅内硬脑膜动静脉瘘的治疗:基于位置和血流动力学的当前策略及经导管栓塞的替代技术
Radiographics. 2004 Nov-Dec;24(6):1637-53. doi: 10.1148/rg.246045026.
9
Transcranial approach for venous embolization of dural arteriovenous fistulas.经颅途径用于硬脑膜动静脉瘘的静脉栓塞术
J Neurosurg. 2002 Aug;97(2):280-6. doi: 10.3171/jns.2002.97.2.0280.
10
Transarterial intravenous coil embolization of dural arteriovenous fistula involving the superior sagittal sinus.经动脉静脉弹簧圈栓塞累及上矢状窦的硬脑膜动静脉瘘
Surg Neurol. 2001 Jun;55(6):353-8. doi: 10.1016/s0090-3019(01)00469-4.