20分钟写一篇综述,助力文献阅读效率提升50倍。
大模型驱动的PubMed中文搜索引擎
学术文献翻译模型,支持多种主流文档格式。
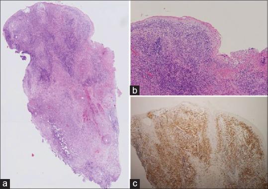
Lee Joon, Yang You Jin, Kim Jung-In, Park Ji-Hye, Kim Won-Serk
Department of Dermatology, Kangbuk Samsung Hospital, Sungkyunkwan University School of Medicine, Seoul, Korea.
Indian J Ophthalmol. 2015 Jan;63(1):81-2. doi: 10.4103/0301-4738.151496.