Suppr超能文献

鼻唇溃疡斑块揭示原发性皮肤侵袭性亲表皮性CD8+ T细胞淋巴瘤。

Nasolabial Ulcerated Placard Revealing a Primary Cutaneous Aggressive Epidermotropic CD8+ T-cell Lymphoma.

作者信息

Ntihebuwayo J B, Hali F, Kerouach A, Rachadi H, Chiheb S, Marnissi F

机构信息

Dermatology and Venereology Department, Ibn Rochd University Hospital-Casablanca, Casablanca, Morocco.

Laboratory of Pathological Anatomy, Ibn Rochd University Hospital-Casablanca, Casablanca, Morocco.

出版信息

Case Rep Dermatol Med. 2022 Aug 9;2022:5672783. doi: 10.1155/2022/5672783. eCollection 2022.

Abstract

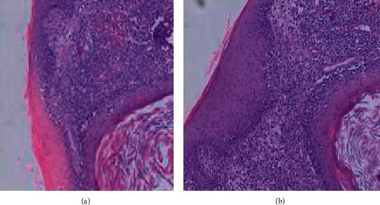
Primary cutaneous aggressive epidermotropic CD8+ T-cell lymphoma is a rare entity representing less than 1% of cutaneous lymphomas. It has an aggressive clinical manifestation with a poor prognosis. It is characterized by cytotoxic and epidermotropic CD8+ proliferation. It also expresses the TIA-1 marker. We report a new case for its display and aggressive character, diagnostic difficulty, and good therapeutic response to chemotherapy. This is a 62-year-old female patient admitted to the hospital for a nasolabial ulcerated placard evolving for two years. Clinical examination revealed submandibular lymph nodes. The specimen analysis associated with anatomoclinical manifestation was concluded for a primary cutaneous aggressive epidermotropic CD8+ T-cell lymphoma. Tumor extent assessment did not show any secondary localization. The blood tests and serology were unremarkable. The patient had benefited from a CHOEP-type multidrug therapy protocol with complete healing of the lesion after three courses of chemotherapy.

摘要

原发性皮肤侵袭性亲表皮CD8 + T细胞淋巴瘤是一种罕见的疾病,占皮肤淋巴瘤的比例不到1%。它具有侵袭性的临床表现,预后较差。其特征为细胞毒性和亲表皮的CD8 +增殖。它还表达TIA-1标志物。我们报告一例新病例,展示其侵袭性特征、诊断困难以及对化疗良好的治疗反应。这是一名62岁女性患者,因鼻唇溃疡斑块入院,病程已两年。临床检查发现下颌下淋巴结。结合解剖学临床表现的标本分析诊断为原发性皮肤侵袭性亲表皮CD8 + T细胞淋巴瘤。肿瘤范围评估未显示任何继发性定位。血液检查和血清学检查无异常。该患者接受了CHOEP方案的多药治疗,化疗三个疗程后病变完全愈合。

https://cdn.ncbi.nlm.nih.gov/pmc/blobs/798f/9381253/24c764d11a06/CRIDM2022-5672783.001.jpg

文献检索

告别复杂PubMed语法,用中文像聊天一样搜索,搜遍4000万医学文献。AI智能推荐,让科研检索更轻松。

立即免费搜索

文件翻译

保留排版,准确专业,支持PDF/Word/PPT等文件格式,支持 12+语言互译。

免费翻译文档

深度研究

AI帮你快速写综述,25分钟生成高质量综述,智能提取关键信息,辅助科研写作。

立即免费体验