Suppr超能文献

2014年台湾炎症性肠病学会(TSIBD)春季论坛(2014年5月24日)研讨会报告:克罗恩病与肠结核感染

Seminar Report From the 2014 Taiwan Society of Inflammatory Bowel Disease (TSIBD) Spring Forum (May 24th, 2014): Crohn's Disease Versus Intestinal Tuberculosis Infection.

作者信息

Weng Meng-Tzu, Wei Shu-Chen, Lin Chun-Che, Tsang Yuk-Min, Shun Chia-Tung, Wang Jann-Yuan, Shieh Ming-Jium, Wang Cheng-Yi, Wong Jau-Min

机构信息

Department of Internal Medicine, Far-Eastern Memorial Hospital, New Taipei, Taiwan. ; Department of Internal Medicine, National Taiwan University Hospital and College of Medicine, Taiwan.

Department of Internal Medicine, National Taiwan University Hospital and College of Medicine, Taiwan.

出版信息

Intest Res. 2015 Jan;13(1):6-10. doi: 10.5217/ir.2015.13.1.6. Epub 2015 Jan 29.

Abstract

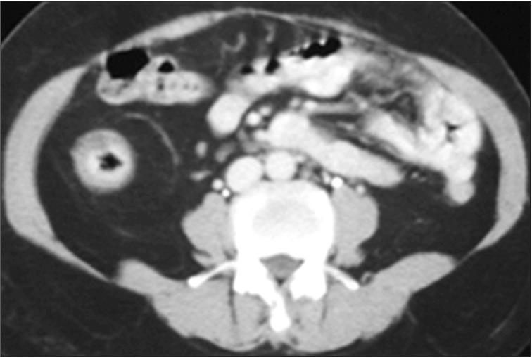
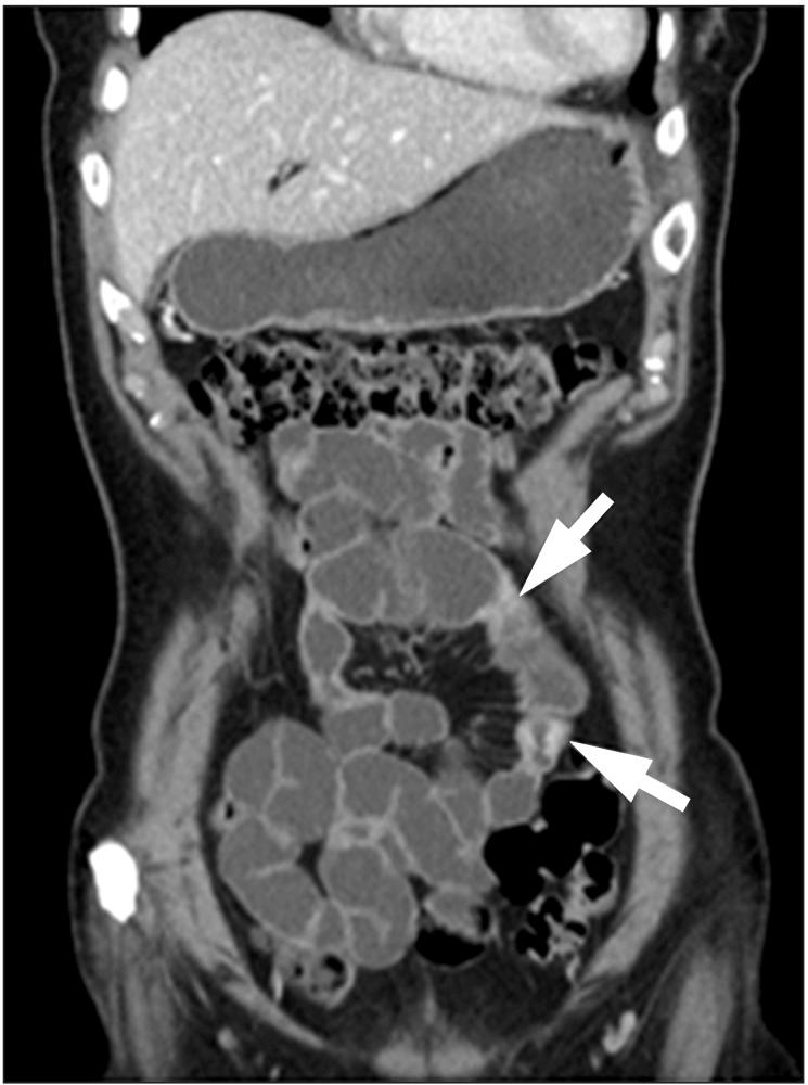
Since Taiwan is an endemic area for tuberculosis (TB), differential diagnosis between the intestinal TB and Crohn's disease is an important issue. The steering committee of Taiwan Society of Inflammatory Bowel Disease (TSIBD) has arranged a seminar accordingly on May 24th, 2014 and the different point of views by gastroenterologist, radiologist, pathologist and infectious disease specialist were suggested to help the proper diagnosis and management of these two diseases.

摘要

由于台湾是结核病的流行地区,肠结核与克罗恩病的鉴别诊断是一个重要问题。台湾炎症性肠病学会(TSIBD)指导委员会于2014年5月24日相应地安排了一次研讨会,并提出了胃肠病学家、放射科医生、病理学家和传染病专家的不同观点,以帮助对这两种疾病进行正确的诊断和管理。

https://cdn.ncbi.nlm.nih.gov/pmc/blobs/7db7/4316223/afa2eea43610/ir-13-6-g001.jpg

文献AI研究员

20分钟写一篇综述,助力文献阅读效率提升50倍。

立即体验

用中文搜PubMed

大模型驱动的PubMed中文搜索引擎

马上搜索

文档翻译

学术文献翻译模型,支持多种主流文档格式。

立即体验