Suppr超能文献

钝性胸部创伤后冠状动脉夹层:一例报告

Coronary artery dissection following blunt chest trauma: a case report.

作者信息

Swinkels B M, Hoedemaker G, Peters R H J

出版信息

Neth Heart J. 2005 May;13(5):190-192.

Abstract

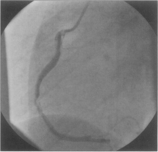
Coronary artery dissection following blunt chest trauma is rare. We report the case of a 43-year-old woman who was admitted with a subacute inferior myocardial infarction due to dissection of the right coronary artery. Ten days earlier, she had sustained a minimal chest trauma. The literature is reviewed and management is discussed.

摘要

钝性胸部创伤后冠状动脉夹层很少见。我们报告一例43岁女性患者,因右冠状动脉夹层导致亚急性下壁心肌梗死入院。10天前,她遭受了轻微的胸部创伤。本文回顾了相关文献并讨论了治疗方法。

https://cdn.ncbi.nlm.nih.gov/pmc/blobs/ca96/2497317/b93d1e44a5a6/Nheartj00091-0039-a.jpg

文献检索

告别复杂PubMed语法,用中文像聊天一样搜索,搜遍4000万医学文献。AI智能推荐,让科研检索更轻松。

立即免费搜索

文件翻译

保留排版,准确专业,支持PDF/Word/PPT等文件格式,支持 12+语言互译。

免费翻译文档

深度研究

AI帮你快速写综述,25分钟生成高质量综述,智能提取关键信息,辅助科研写作。

立即免费体验